Western Blot - Anti-CoREST Antibody [ARC2044] (A307585)
Western blot analysis of extracts of various cell lines, using Anti-CoREST Antibody [ARC2044] (A307585) at 1:1,000 dilution. The secondary antibody was Goat Anti-Rabbit IgG H&L Antibody (HRP) at 1:10,000 dilution. Lysates/proteins were present at 25µg per lane. The blocking buffer used was 3% non-fat dry milk in TBST. Detection was with a ECL Basic Kit. Exposure time: 3min.
Western Blot - Anti-CoREST Antibody [ARC2044] (A307585)
Western blot analysis of extracts of C2C12 cells, using Anti-CoREST Antibody [ARC2044] (A307585) at 1:500 dilution. The secondary antibody was Goat Anti-Rabbit IgG H&L Antibody (HRP) at 1:10,000 dilution. Lysates/proteins were present at 25µg per lane. The blocking buffer used was 3% non-fat dry milk in TBST. Detection was with a ECL Enhanced Kit (RM00021). Exposure time: 3min.
Immunohistochemistry analysis of paraffin-embedded rat lung using Anti-CoREST Antibody [ARC2044] (A307585) at a dilution of 1:100 (40x lens). Perform microwave antigen retrieval with 10 mM Tris/EDTA buffer pH 9.0 before commencing with IHC staining protocol.
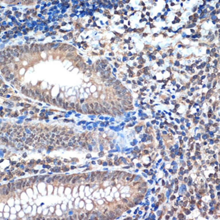
Immunohistochemistry analysis of paraffin-embedded human appendix tissue using Anti-CoREST Antibody [ARC2044] (A307585) at a dilution of 1:100 (40x lens). Perform microwave antigen retrieval with 10 mM Tris/EDTA buffer pH 9.0 before commencing with IHC staining protocol.
Immunohistochemistry analysis of paraffin-embedded mouse brain using Anti-CoREST Antibody [ARC2044] (A307585) at a dilution of 1:100 (40x lens). Perform microwave antigen retrieval with 10 mM Tris/EDTA buffer pH 9.0 before commencing with IHC staining protocol.
Western Blot - Anti-CoREST Antibody [ARC2044] (A307585)
Immunoprecipitation analysis of 300µg extracts of THP-1 cells using 3µg of Anti-CoREST Antibody [ARC2044] (A307585). This Western blot was performed on the immunoprecipitate using Anti-CoREST Antibody [ARC2044] (A307585) at a dilution of 1:1000.
Chromatin immunoprecipitation (ChIP) analysis of extracts of HepG2 cells, using Anti-CoREST Antibody [ARC2044] (A307585) and Rabbit IgG. The amount of immunoprecipitated DNA was checked by quantitative PCR. Histogram was constructed by the ratios of the immunoprecipitated DNA to the input.