ISO 9001:2015 Certified
Live Customer Support
4.5/5 on Trustpilot
100% Quality Guarantee

Anti-CREB (Ab-142) Antibody (A44900)

$290

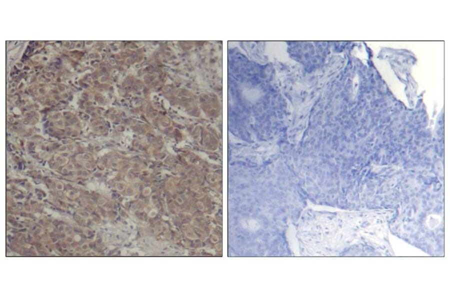
Rabbit polyclonal antibody to CREB (Ab-142) for IHC.

Shipping Information

$40
Dispatched from St. Louis, MO.
Lead Time: 6-9 business days.
Name
Anti-CREB (Ab-142) Antibody
Description
Rabbit polyclonal antibody to CREB (Ab-142)
Specificity
The antibody detects endogenous level of total CREB protein.
Applications
IHC
Reactivity
Human, Mouse, Rat
Immunogen
Peptide sequence around aa.140~144 (D-L-S-S-D) derived from Human CREB.
Host
Rabbit
Clonality
Polyclonal
Conjugate

Unconjugated

Purification
Antibodies were produced by immunizing rabbits with synthetic peptide and KLH conjugates. Antibodies were purified by affinity-chromatography using epitope-specific peptide.
Concentration
1 mg/ml
Formulation
Supplied at 1.0mg / mL in phosphate buffered saline (without Mg2+ and Ca2+), pH 7.4, 150mM NaCl, 0.02% sodium azide and 50% glycerol.
Storage
Store at -20°C for long term preservation (recommended). Store at 4°C for short term use.
Synonyms
cAMP-responsive element-binding protein 1, CREB-1, CREB1, Cyclic AMP-responsive element-binding protein 1
Disclaimer
This product is for research use only. It is not intended for diagnostic or therapeutic use.
Publishing research using Anti-CREB (Ab-142) Antibody (A44900)? Please let us know so that we can list the citation on this page.

Alternative products to Anti-CREB (Ab-142) Antibody (A44900)

Proteins predicted to interact with CREB

Predicted protein interactions based upon String database. Revelancy score correlates with probability of interaction.
99.9% Relevancy Score
99.9% Relevancy Score
99.9% Relevancy Score
99.8% Relevancy Score
99.8% Relevancy Score
99.8% Relevancy Score
99.8% Relevancy Score
99.6% Relevancy Score
99.6% Relevancy Score