ISO 9001:2015 Certified
Live Customer Support
4.5/5 on Trustpilot
100% Quality Guarantee

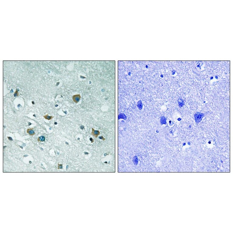
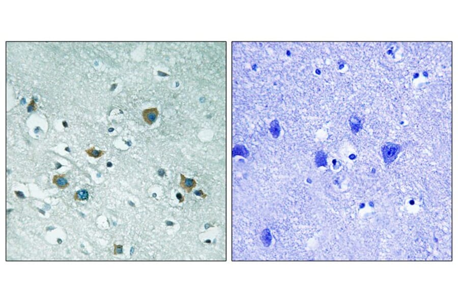
Anti-CRMP-2 (Phospho-Thr509) Antibody (A50408)

Rabbit polyclonal antibody to CRMP-2 (Phospho-Thr509) for WB and IHC.

Shipping Information

$40
Dispatched from St. Louis, MO.
Lead Time: 6-9 business days.
Name
Anti-CRMP-2 (Phospho-Thr509) Antibody
Description
Rabbit polyclonal antibody to CRMP-2 (Phospho-Thr509)
Specificity
The antibody detects endogenous levels of CRMP-2 only when phosphorylated at threonine 509.
Applications
WB, IHC
Dilutions
Western blotting: 1:500~1:1000Immunohistochemistry: 1:50~1:100
Reactivity
Human, Mouse, Rat
Immunogen
Peptide sequence around phosphorylation site of threonine 509 (S-V-T(p)-P-K) derived from Human CRMP-2.
Host
Rabbit
Clonality
Polyclonal
Conjugate

Unconjugated

Purification
Antibodies were produced by immunizing rabbits with synthetic phosphopeptide and KLH conjugates. Antibodies were purified by affinity-chromatography using epitope-specific phosphopeptide. Non-phospho specific antibodies were removed by chromatogramphy using non-phosphopeptide.
Concentration
1.0 mg/mL
Formulation
Supplied in phosphate-buffered saline (without Mg²? and Ca²?), pH 7.4, containing 150 mM NaCl, 0.02% sodium azide, and 50% glycerol.
Storage
Shipped at 4°C. Upon delivery aliquot and store at -20°C. Avoid freeze/thaw cycles.
Synonyms
Collapsin response mediator protein 2, Dihydropyrimidinase-related protein 2, DPYSL2, DRP-2, N2A3, ULIP-2, ULIP2, Unc-33-like phosphoprotein 2
Disclaimer
This product is for research use only. It is not intended for diagnostic or therapeutic use.
Publishing research using Anti-CRMP-2 (Phospho-Thr509) Antibody (A50408)? Please let us know so that we can list the citation on this page.

Alternative products to Anti-CRMP-2 (Phospho-Thr509) Antibody (A50408)

Proteins predicted to interact with CRMP2

Predicted protein interactions based upon String database. Revelancy score correlates with probability of interaction.
99.2% Relevancy Score
99% Relevancy Score
98.9% Relevancy Score
98% Relevancy Score
97.6% Relevancy Score
94.8% Relevancy Score
92.6% Relevancy Score
92.4% Relevancy Score
86.2% Relevancy Score