ISO 9001:2015 Certified
Live Customer Support
4.5/5 on Trustpilot
100% Quality Guarantee

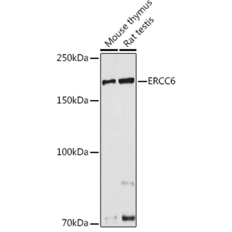
Anti-CSB Antibody (A306681)

Rabbit polyclonal antibody to CSB for WB and IHC.

Shipping Information

$40
Dispatched from St. Louis, MO.
Lead Time: 7-10 business days.
Name
Anti-CSB Antibody
Description
Rabbit polyclonal antibody to CSB.
Applications
WB, IHC
Dilutions
WB: 1:500-1:1,000, IHC: 1:50-1:200
Reactivity
Human, Mouse, Rat
Immunogen
A synthetic peptide corresponding to a sequence within amino acids 700-800 of human ERCC6 (NP_000115.1).
Sequence
LPVFMEQFSVPITMGGYSNASPVQVKTAYKCACVLRDTINPYLLRRMKSDVKMSLSLPDKNEQVLFCRLTDEQHKVYQNFVDSKEVYRILNGEMQIFSGLI
Host
Rabbit
Clonality
Polyclonal
Isotype
IgG
Conjugate

Unconjugated

Purification
Affinity purification.
Concentration
Lot Specific
Molecular Weight
168 kDa
Product Form
Liquid
Formulation
Supplied in Phosphate Buffered Saline, pH 7.3, with 50% Glycerol and 0.05% Proclin 300.
Storage
Shipped at 4°C. Upon delivery aliquot and store at -20°C. Avoid freeze/thaw cycles.
Synonyms
ATP-dependent helicase ERCC6, Cockayne syndrome protein CSB, DNA excision repair protein ERCC-6, ERCC6
Disclaimer
This product is for research use only. It is not intended for diagnostic or therapeutic use.
Publishing research using Anti-CSB Antibody (A306681)? Please let us know so that we can list the citation on this page.

Alternative products to Anti-CSB Antibody (A306681)

Proteins predicted to interact with CSB

Predicted protein interactions based upon String database. Revelancy score correlates with probability of interaction.
99.9% Relevancy Score
99.9% Relevancy Score
99.9% Relevancy Score
99.7% Relevancy Score
99.5% Relevancy Score
99% Relevancy Score
98.8% Relevancy Score
98.5% Relevancy Score
98.3% Relevancy Score