Western Blot - Anti-Cyclin D1 Antibody [ARC0300] (A306339)
Western blot analysis of extracts from wild type (WT) and Cyclin D1 knockout (KO) HeLa cells, using Anti-Cyclin D1 Antibody [ARC0300] (A306339) at 1:1,000 dilution. The secondary antibody was Goat Anti-Rabbit IgG H&L Antibody (HRP) at 1:10,000 dilution. Lysates/proteins were present at 25µg per lane. The blocking buffer used was 3% non-fat dry milk in TBST. Detection was with a ECL Basic Kit. Exposure time: 1min.
Western Blot - Anti-Cyclin D1 Antibody [ARC0300] (A306339)
Western blot analysis of extracts of various cell lines, using Anti-Cyclin D1 Antibody [ARC0300] (A306339) at 1:1,000 dilution. The secondary antibody was Goat Anti-Rabbit IgG H&L Antibody (HRP) at 1:10,000 dilution. Lysates/proteins were present at 25µg per lane. The blocking buffer used was 3% non-fat dry milk in TBST. Detection was with a ECL Basic Kit. Exposure time: 1min.
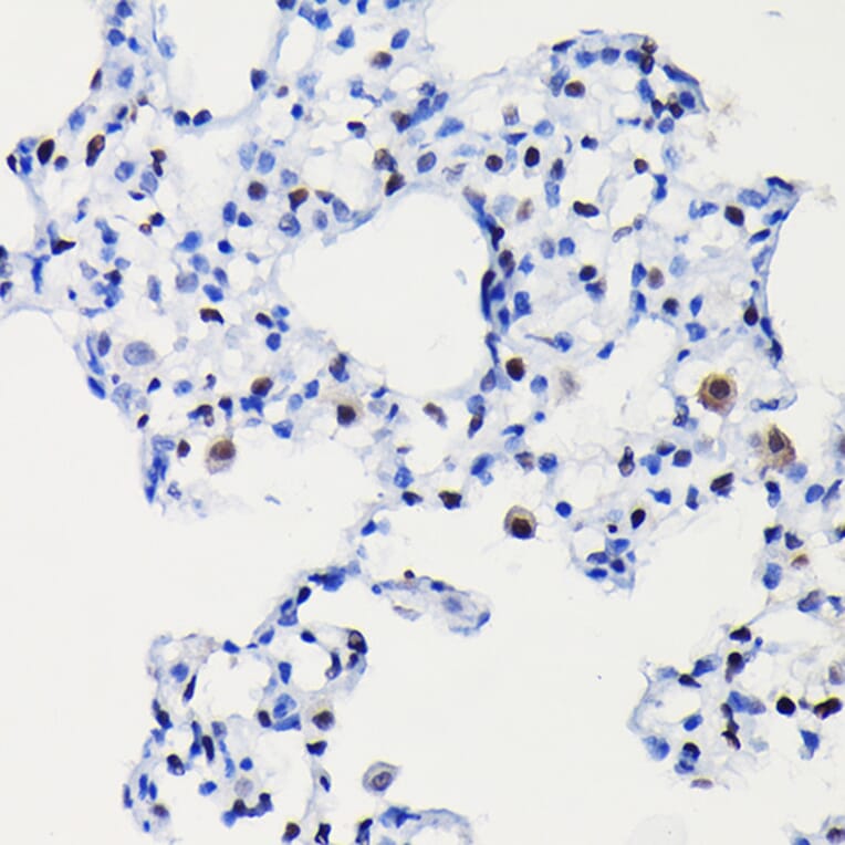
Immunohistochemistry analysis of paraffin-embedded rat lung using Anti-Cyclin D1 Antibody [ARC0300] (A306339) at a dilution of 1:100 (40x lens). Perform high pressure antigen retrieval with 10 mM citrate buffer pH 6.0 before commencing with IHC staining protocol.
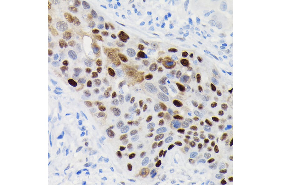
Immunohistochemistry analysis of paraffin-embedded human thyroid cancer using Anti-Cyclin D1 Antibody [ARC0300] (A306339) at a dilution of 1:100 (40x lens). Perform high pressure antigen retrieval with 10 mM citrate buffer pH 6.0 before commencing with IHC staining protocol.
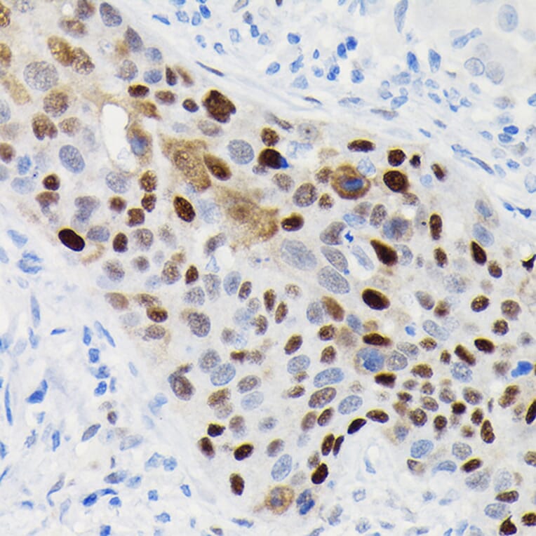
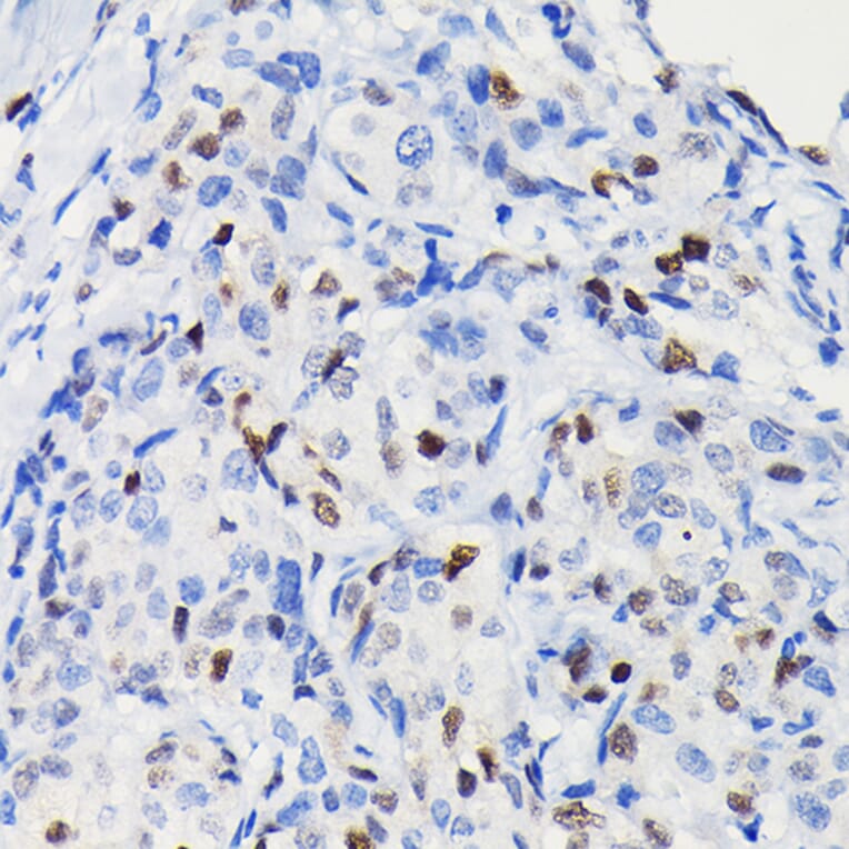
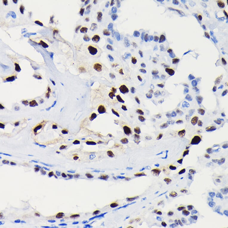
Immunohistochemistry analysis of paraffin-embedded human breast cancer tissue using Anti-Cyclin D1 Antibody [ARC0300] (A306339) at a dilution of 1:100 (40x lens). Perform high pressure antigen retrieval with 10 mM citrate buffer pH 6.0 before commencing with IHC staining protocol.
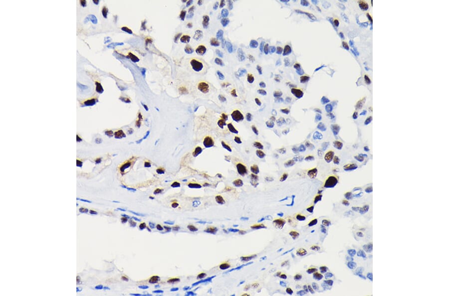
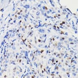
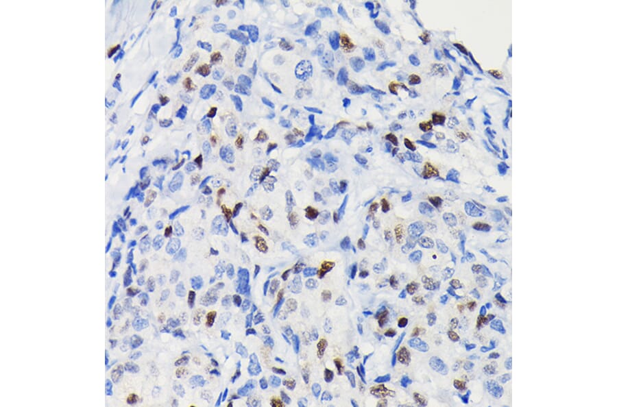
Immunohistochemistry analysis of paraffin-embedded human esophageal cancer using Anti-Cyclin D1 Antibody [ARC0300] (A306339) at a dilution of 1:100 (40x lens). Perform high pressure antigen retrieval with 10 mM citrate buffer pH 6.0 before commencing with IHC staining protocol.
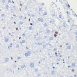
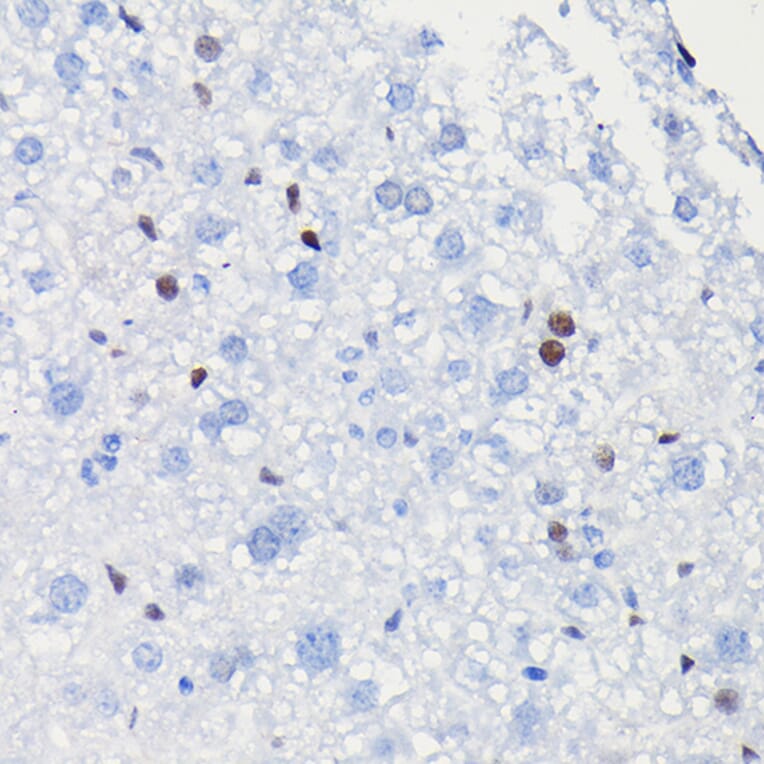
Immunohistochemistry analysis of paraffin-embedded mouse liver using Anti-Cyclin D1 Antibody [ARC0300] (A306339) at a dilution of 1:100 (40x lens). Perform high pressure antigen retrieval with 10 mM citrate buffer pH 6.0 before commencing with IHC staining protocol.
Immunofluorescence analysis of C6 cells using Anti-Cyclin D1 Antibody [ARC0300] (A306339) at a dilution of 1:100 (40x lens). DAPI was used to stain the cell nuclei (blue).
Immunofluorescence analysis of NIH-3T3 cells using Anti-Cyclin D1 Antibody [ARC0300] (A306339) at a dilution of 1:100 (40x lens). DAPI was used to stain the cell nuclei (blue).
Western Blot - Anti-Cyclin D1 Antibody [ARC0300] (A306339)
Immunoprecipitation analysis of 300µg extracts of MCF7 cells using 3µg of Anti-Cyclin D1 Antibody [ARC0300] (A306339). This Western blot was performed on the immunoprecipitate using Anti-Cyclin D1 Antibody [ARC0300] (A306339) at a dilution of 1:1000.