ISO 9001:2015 Certified
Live Customer Support
4.5/5 on Trustpilot
100% Quality Guarantee

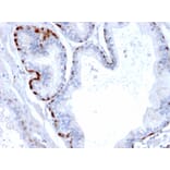
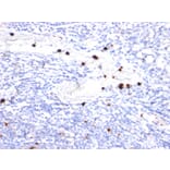
Anti-Cystatin A Antibody [CPTC-CSTA-1] (A248281)

Mouse monoclonal [CPTC-CSTA-1] antibody to Cystatin A for WB and IHC-P.

Alternative Formats and ConjugatesAlternative Formats

Shipping Information

$40
Dispatched from St. Louis, MO.
Lead Time: 5-8 business days.
Name
Anti-Cystatin A Antibody [CPTC-CSTA-1]
Description
Mouse monoclonal [CPTC-CSTA-1] antibody to Cystatin A.
Specificity
The cystatin superfamily encompasses proteins that contain multiple cystatin-like sequences. Some of the members are active cysteine protease inhibitors, while others have lost or perhaps never acquired this inhibitory activity. There are three inhibitory families in the superfamily, including the type 1 cystatins (stefins), type 2 cystatins, and kininogens. This gene encodes a stefin that functions as a cysteine protease inhibitor, forming tight complexes with papain and the cathepsins B, H, and L. The protein is one of the precursor proteins of cornified cell envelope in keratinocytes and plays a role in epidermal development and maintenance. Stefins have been proposed as prognostic and diagnostic tools for cancer.
Applications
WB, IHC-P
Dilutions
WB: 2-4 µg/ml, IHC-P: 1-2 µg/ml
Reactivity
Human
Immunogen
Recombinant full-length human CSTA protein.
Host
Mouse
Clonality
Monoclonal
Clone ID
CPTC-CSTA-1
Isotype
IgG2c
Light Chains
kappa
Conjugate

Unconjugated

Purification
Protein A/G chromatography.
Concentration
200 µg/ml
Molecular Weight
11 kDa
Product Form
Liquid
Formulation
Supplied in 10mM Phosphate Buffered Saline with 0.05% BSA and 0.05% Sodium Azide.
Storage
Shipped at 4°C. Upon delivery aliquot and store at -20°C. Avoid freeze / thaw cycles.
General Notes
This monoclonal antibody is also available in a different formulation without BSA and Sodium Azide - Anti-Cystatin A Antibody [CPTC-CSTA-1] - BSA and Azide free (A251463).
Synonyms
CSTA, Cystatin-A, Cystatin-AS, Stefin-A, STF1, STFA
Disclaimer
This product is for research use only. It is not intended for diagnostic or therapeutic use.
Publishing research using Anti-Cystatin A Antibody [CPTC-CSTA-1] (A248281)? Please let us know so that we can list the citation on this page.

Alternative products to Anti-Cystatin A Antibody [CPTC-CSTA-1] (A248281)

Proteins predicted to interact with Cystatin A

Predicted protein interactions based upon String database. Revelancy score correlates with probability of interaction.
99.8% Relevancy Score
99.2% Relevancy Score
96.4% Relevancy Score
96% Relevancy Score
92.1% Relevancy Score
88.8% Relevancy Score
78.5% Relevancy Score
77.7% Relevancy Score
73.7% Relevancy Score