ISO 9001:2015 Certified
Live Customer Support
4.5/5 on Trustpilot
100% Quality Guarantee

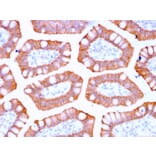
Recombinant Anti-Cytokeratin 20 Antibody [KRT20/3129R] - BSA and Azide free (A252855)

Recombinant rabbit monoclonal [KRT20/3129R] antibody to Cytokeratin 20 for WB and IHC-P.

Alternative Formats and ConjugatesAlternative Formats

Shipping Information

$40
Dispatched from St. Louis, MO.
Lead Time: 5-8 business days.
Name
Anti-Cytokeratin 20 Antibody [KRT20/3129R] - BSA and Azide free
Description
Recombinant rabbit monoclonal [KRT20/3129R] antibody to Cytokeratin 20.
Specificity
This antibody recognizes an intermediate filament protein of 46kDa, identified as cytokeratin 20 (KRT20). KRT20 is abundantly expressed in goblet cells and enterocytes of the gastrointestinal tract. It is a useful marker of pancreatic and colorectal cancer. KRT20 is expressed under normal, hyperplastic and neoplastic conditions.It has been detected in adenocarcinomas of the colon, stomachand biliary tract. Breast carcinomas are generally non-reactive.
Applications
WB, IHC-P
Dilutions
WB: 1-2 µg/ml, IHC-P: 1-2 µg/ml
Reactivity
Human
Immunogen
Recombinant fragment, around amino acids 196-323, of human KRT20 protein. The exact sequence is proprietary.
Host
Rabbit
Clonality
Monoclonal
Clone ID
KRT20/3129R
Isotype
IgG
Conjugate

Unconjugated

Purification
Protein A/G chromatography.
Concentration
1 mg/ml
Molecular Weight
46 kDa
Product Form
Liquid
Formulation
Supplied in 10mM Phosphate Buffered Saline; without Sodium Azide and carrier free.
Storage
Shipped at 4°C. Upon delivery aliquot and store at -20°C. Avoid freeze / thaw cycles.
General Notes
This monoclonal antibody is also available in a different formulation with BSA and Sodium Azide - Anti-Cytokeratin 20 Antibody [KRT20/3129R] (A249675).
Synonyms
CK-20, Cytokeratin-20, K20, Keratin, type I cytoskeletal 20, Keratin-20, KRT20, Protein IT
Disclaimer
This product is for research use only. It is not intended for diagnostic or therapeutic use.
Publishing research using Recombinant Anti-Cytokeratin 20 Antibody [KRT20/3129R] - BSA and Azide free (A252855)? Please let us know so that we can list the citation on this page.

Alternative products to Anti-Cytokeratin 20 Antibody [KRT20/3129R] - BSA and Azide free (A252855)

Proteins predicted to interact with Cytokeratin 20

Predicted protein interactions based upon String database. Revelancy score correlates with probability of interaction.
92.4% Relevancy Score
87% Relevancy Score
86.9% Relevancy Score
84.1% Relevancy Score
84% Relevancy Score
82.1% Relevancy Score
81.1% Relevancy Score
79.8% Relevancy Score
77.6% Relevancy Score