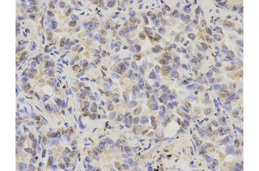
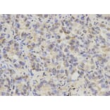
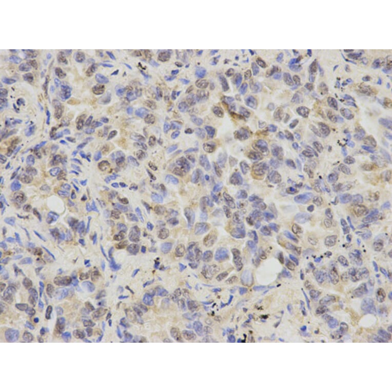
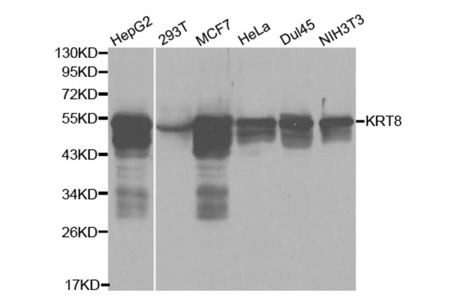
Cytokeratin 8 pAb detects endogenous levels of Cytokeratin 8 protein.
Applications
WB, IHC, ICC, IF
Reactivity
Human, Mouse, Rat
Immunogen
Recombinant full length Human Cytokeratin 8.
Host
Rabbit
Clonality
Polyclonal
Conjugate
Unconjugated
Molecular Weight
~ 55 kDa
Purity
The antibody was affinity-purified from rabbit antiserum by affinity-chromatography using epitope-specific immunogen and the purity is > 95% (by SDS-PAGE).
Product Form
1mg/ml in PBSwith0.1%SodiumAzide,50%Glycerol.
Synonyms
CK-8, CYK8, Cytokeratin-8, K8, Keratin, type II cytoskeletal 8, Keratin-8, KRT8, Type-II keratin Kb8