ISO 9001:2015 Certified
Live Customer Support
4.5/5 on Trustpilot
100% Quality Guarantee

Recombinant Anti-Cytokeratin 8 Antibody [rKRT8/6471] - BSA and Azide free (A278485)

Recombinant mouse monoclonal [rKRT8/6471] antibody to Cytokeratin 8 for WB and IHC-P.

Alternative Formats and ConjugatesAlternative Formats

Shipping Information

$40
Dispatched from St. Louis, MO.
Lead Time: 5-8 business days.
Name
Anti-Cytokeratin 8 Antibody [rKRT8/6471] - BSA and Azide free
Description
Recombinant mouse monoclonal [rKRT8/6471] antibody to Cytokeratin 8.
Specificity
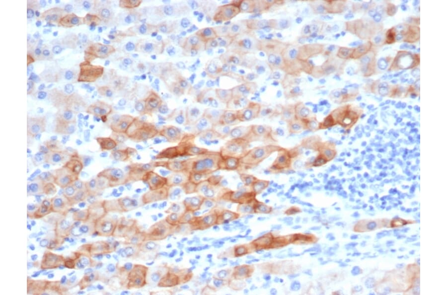
Cytokeratin 8 (CK8) belongs to the type II (or B or basic) subfamily of high molecular weight cytokeratins and exists in combination with cytokeratin 18 (CK18). CK8 is primarily found in the non-squamous epithelia and is present in majority of adenocarcinomas and ductal carcinomas. It is absent in squamous cell carcinomas. Hepatocellular carcinomas are defined by the use of antibodies that recognize only cytokeratin 8 and 18. CK8 exists on several types of normal and neoplastic epithelia, including many ductal and glandular epithelia such as colon, stomach, small intestine, trachea, and esophagus as well as in transitional epithelium. Anti-CK8 does not react with skeletal muscle or nerve cells. Epithelioid sarcoma, chordoma, and adamantinoma show strong positivity corresponding to that of simple epithelia (with antibodies against CK8, CK18 and CK19). Anti-CK8 is useful for the differentiation of lobular ( ring-like, perinuclear ) from ductal ( peripheral-predominant ) carcinoma of the breast.
Applications
WB, IHC-P
Dilutions
WB: 1-2 µg/ml, IHC-P: 1-2 µg/ml
Reactivity
Human
Immunogen
Recombinant full-length human Cytokeratin 8.
Host
Mouse
Clonality
Monoclonal
Clone ID
rKRT8/6471
Isotype
IgG2a
Light Chains
kappa
Conjugate

Unconjugated

Purification
Protein A/G chromatography.
Concentration
1 mg/ml
Molecular Weight
52.5 kDa
Product Form
Liquid
Formulation
Supplied in 10mM Phosphate Buffered Saline; without Sodium Azide and carrier free.
Storage
Shipped at 4°C. Upon delivery aliquot and store at -20°C. Avoid freeze / thaw cycles.
General Notes
This monoclonal antibody is also available in a different formulation with BSA and Sodium Azide - Anti-Cytokeratin 8 Antibody [rKRT8/6471] (A277897).
Synonyms
CK-8, CYK8, Cytokeratin-8, K8, Keratin, type II cytoskeletal 8, Keratin-8, KRT8, Type-II keratin Kb8
Disclaimer
This product is for research use only. It is not intended for diagnostic or therapeutic use.
Publishing research using Recombinant Anti-Cytokeratin 8 Antibody [rKRT8/6471] - BSA and Azide free (A278485)? Please let us know so that we can list the citation on this page.

Alternative products to Anti-Cytokeratin 8 Antibody [rKRT8/6471] - BSA and Azide free (A278485)

Proteins predicted to interact with Cytokeratin 8

Predicted protein interactions based upon String database. Revelancy score correlates with probability of interaction.
99.9% Relevancy Score
86.9% Relevancy Score
84.5% Relevancy Score
82.6% Relevancy Score
79.8% Relevancy Score
79.6% Relevancy Score
79.1% Relevancy Score
78.3% Relevancy Score
76.3% Relevancy Score