Primary Antibodies
Secondary Antibodies
Proteins & Peptides
ELISA Kits
About Us
Contact Us
Sign In/Register
0
ISO 9001:2015 Certified
Live Customer Support
4.5/5 on Trustpilot
100% Quality Guarantee
Home
Primary Antibodies
beta 2 Defensin Antibodies
Anti-DEFB4A Antibody (A45723)
Anti-DEFB4A Antibody (A45723)
Overview
Specifications
Images
Enlarge Image
Enlarge Image
$405
Rabbit polyclonal antibody to DEFB4A for IHC.
100% Guarantee
Price Match Guarantee
Product Size:
100µl
Quantity:
1
2
3
4
5
6
7
8
9
10
Add To Cart
Request a Quotation
Custom or Bulk Request
Shipping Information
Freight/Packing Charges:
$40
Dispatched from St. Louis, MO.
Lead Time: 6-9 business days.
Specifications
Name
Anti-DEFB4A Antibody
Description
Rabbit polyclonal antibody to DEFB4A
Specificity
The antibody detects endogenous levels of total DEFB4A protein.
Applications
IHC
Reactivity
Human
Immunogen
Synthetic peptide of human DEFB4A
Host
Rabbit
Clonality
Polyclonal
Conjugate
Unconjugated
Purification
Antigen affinity purification.
Concentration
1.5mg / ml
Formulation
Rabbit IgG in pH7.4 PBS, 0.05% NaN3, 40% Glycerol.
Storage
Store at -20˚C
Synonyms
BD-2, Beta-defensin 2, DEFB102, DEFB2, DEFB4, Defensin beta 4A, Defensin, beta 2, hBD-2, SAP1, Skin-antimicrobial peptide 1
Suitable Secondaries
Goat Anti-Rabbit IgG H&L Antibody (AP) (A294874)
Goat Anti-Rabbit IgG H&L Antibody (Biotin) (A294795)
Goat Anti-Rabbit IgG H&L Antibody (FITC) (A294887)
Goat Anti-Rabbit IgG H&L Antibody (HRP) (A294888)
See all Anti-Rabbit IgG Secondaries →
Disclaimer
This product is for research use only. It is not intended for diagnostic or therapeutic use.
Scientific Validation Data
Validation Data
(2)
Enlarge Image
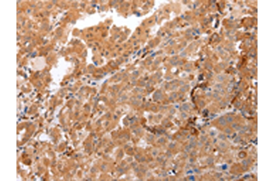
Immunohistochemistry - Anti-DEFB4A Antibody (A45723)
Immunohistochemical analysis of paraffin-embedded Human ovarian cancer tissue using #43259 at dilution 1/25.
Enlarge Image
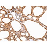
Immunohistochemistry - Anti-DEFB4A Antibody (A45723)
Immunohistochemical analysis of paraffin-embedded Human thyroid cancer tissue using #43259 at dilution 1/25.
Publishing research using Anti-DEFB4A Antibody (A45723)? Please
let us know
so that we can list the citation on this page.
Alternative products to Anti-DEFB4A Antibody (A45723)
(2)
A329151
Anti-beta 2 Defensin Antibody
Rabbit polyclonal antibody to beta 2 Defensin for WB, ICC/IF and ELISA.
A98561
Anti-Defensin beta2 Antibody
Rabbit polyclonal antibody to Defensin beta2 for WB and ELISA.
(2)
A329151
Anti-beta 2 Defensin Antibody
Rabbit polyclonal antibody to beta 2 Defensin for WB, ICC/IF and ELISA.
A98561
Anti-Defensin beta2 Antibody
Rabbit polyclonal antibody to Defensin beta2 for WB and ELISA.
Top