Primary Antibodies
Secondary Antibodies
Proteins & Peptides
ELISA Kits
About Us
Contact Us
Sign In/Register
0
ISO 9001:2015 Certified
Live Customer Support
4.5/5 on Trustpilot
100% Quality Guarantee
Home
Primary Antibodies
ICAD Antibodies
Anti-DFF45 (cleaved Asp224) Antibody (A95517)
Anti-DFF45 (cleaved Asp224) Antibody (A95517)
Overview
Specifications
Images
Enlarge Image
Enlarge Image
$200
Product Datasheet
Rabbit polyclonal antibody to DFF45 (cleaved Asp224) for WB, IHC, IF and ELISA.
100% Guarantee
Price Match Guarantee
Product Size:
10µg
100µg
Quantity:
1
2
3
4
5
6
7
8
9
10
Add To Cart
Request a Quotation
Custom or Bulk Request
Shipping Information
Freight/Packing Charges:
$40
Dispatched from St. Louis, MO.
Lead Time: 6-8 business days.
Specifications
Name
Anti-DFF45 (cleaved Asp224) Antibody
Description
Rabbit polyclonal antibody to DFF45 (cleaved Asp224).
Specificity
This antibody detects endogenous levels of fragment of activated DFF45 protein resulting from cleavage adjacent to Asp224.
Applications
WB
,
IHC
,
IF
,
ELISA
Dilutions
WB: 1:500~1:1000, IHC: 1:50~1:100, IF: 1:100~1:500, ELISA: 1:5000
Reactivity
Human, Rat, Mouse
Cross Reactivity
No reported cross-reactivity.
Immunogen
Synthetic peptide derived from human DFFA (amino acids 175-224).
Host
Rabbit
Clonality
Polyclonal
Isotype
IgG
Conjugate
Unconjugated
Purification
Purified from rabbit serum by antigen affinity chromatography using the immunizing phospho peptide.
Molecular Weight
36kDa
Product Form
Liquid
Formulation
Supplied in Phosphate Buffered Saline (without Mg2+ and Ca2+), pH 7.4, with 150mM NaCl, 0.02% Sodium Azide, and 50% Glycerol.
Storage
Shipped at 4°C. Upon delivery aliquot and store at -20°C. Avoid freeze / thaw cycles.
Synonyms
DFF-45, DFF1, DFF45, DFFA, DNA fragmentation factor 45 kDa subunit, DNA fragmentation factor subunit alpha, Inhibitor of CAD
Isotype Controls
Rabbit IgG (A82272)
Rabbit IgG (A17360)
Suitable Secondaries
Goat Anti-Rabbit IgG H&L Antibody (AP) (A294874)
Goat Anti-Rabbit IgG H&L Antibody (Biotin) (A294795)
Goat Anti-Rabbit IgG H&L Antibody (FITC) (A294887)
Goat Anti-Rabbit IgG H&L Antibody (HRP) (A294888)
See all Anti-Rabbit IgG Secondaries →
Disclaimer
This product is for research use only. It is not intended for diagnostic or therapeutic use.
Scientific Validation Data
Validation Data
(2)
Enlarge Image
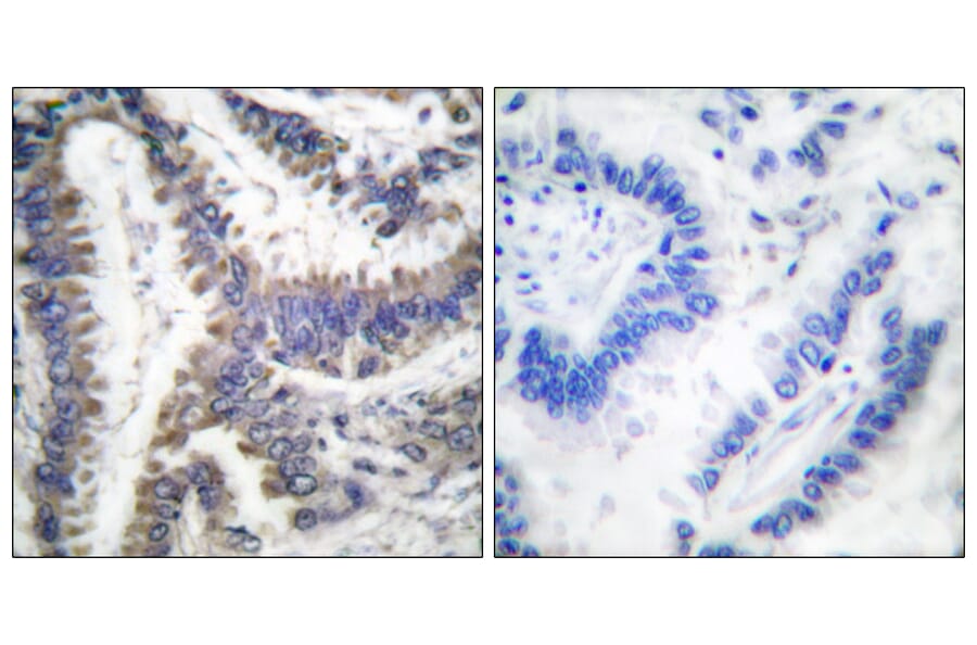
Immunohistochemistry - Anti-DFF45 (cleaved Asp224) Antibody (A95517)
Immunohistochemical analysis of paraffin-embedded human lung carcinoma using Anti-DFF45 (cleaved Asp224) Antibody. The right hand panel represents a negative control, where the antibody was pre-incubated with the immunising peptide.
Enlarge Image
Western Blot - Anti-DFF45 (cleaved Asp224) Antibody (A95517)
Western blot analysis of various cells using Anti-DFF45 (cleaved Asp224) Antibody.
Publishing research using Anti-DFF45 (cleaved Asp224) Antibody (A95517)? Please
let us know
so that we can list the citation on this page.
Alternative products to Anti-DFF45 (cleaved Asp224) Antibody (A95517)
(4)
A96215
Anti-DFFA Antibody
Rabbit polyclonal antibody to DFFA for WB, IHC, IF and ELISA.
(2)
A26128
Anti-ICAD (Q177) Antibody
Rabbit polyclonal antibody to ICAD (Q177) for WB, IHC and IF.
(3)
A12892
Anti-ICAD Antibody
Rabbit polyclonal antibody to ICAD for WB and ICC/IF.
(2)
A48766
Anti-DFF45 Antibody
Rabbit polyclonal antibody to DFF45 for ELISA, WB and ICC/IF.
(2)
A48294
Anti-ICAD Antibody
Rabbit polyclonal antibody to ICAD for ELISA, WB and IHC.
A346678
Anti-ICAD Antibody [25GB3635]
Recombinant rabbit monoclonal [25GB3635] antibody to ICAD for WB and Flow Cytometry.
A346677
Anti-ICAD Antibody [24GB5410]
Recombinant rabbit monoclonal [24GB5410] antibody to ICAD for WB and Flow Cytometry.
A283465
Anti-ICAD Antibody
Rabbit polyclonal antibody to ICAD for WB and IHC-P.
A49637
Anti-ICAD Antibody
Rabbit polyclonal antibody to ICAD for ELISA and WB.
(2)
A46707
Anti-DFFA Antibody
Rabbit polyclonal antibody to DFFA for IHC.
A346679
Anti-ICAD Antibody [24GB4810]
Recombinant rabbit monoclonal [24GB4810] antibody to ICAD for WB, Flow Cytometry and ICC/IF.
A87645
Anti-ICAD Antibody
Rabbit polyclonal antibody to ICAD for WB.
(4)
A96215
Anti-DFFA Antibody
Rabbit polyclonal antibody to DFFA for WB, IHC, IF and ELISA.
(2)
A26128
Anti-ICAD (Q177) Antibody
Rabbit polyclonal antibody to ICAD (Q177) for WB, IHC and IF.
(3)
A12892
Anti-ICAD Antibody
Rabbit polyclonal antibody to ICAD for WB and ICC/IF.
(2)
A48766
Anti-DFF45 Antibody
Rabbit polyclonal antibody to DFF45 for ELISA, WB and ICC/IF.
(2)
A48294
Anti-ICAD Antibody
Rabbit polyclonal antibody to ICAD for ELISA, WB and IHC.
A346678
Anti-ICAD Antibody [25GB3635]
Recombinant rabbit monoclonal [25GB3635] antibody to ICAD for WB and Flow Cytometry.
A346677
Anti-ICAD Antibody [24GB5410]
Recombinant rabbit monoclonal [24GB5410] antibody to ICAD for WB and Flow Cytometry.
A283465
Anti-ICAD Antibody
Rabbit polyclonal antibody to ICAD for WB and IHC-P.
A49637
Anti-ICAD Antibody
Rabbit polyclonal antibody to ICAD for ELISA and WB.
(2)
A46707
Anti-DFFA Antibody
Rabbit polyclonal antibody to DFFA for IHC.
A346679
Anti-ICAD Antibody [24GB4810]
Recombinant rabbit monoclonal [24GB4810] antibody to ICAD for WB, Flow Cytometry and ICC/IF.
A87645
Anti-ICAD Antibody
Rabbit polyclonal antibody to ICAD for WB.
See all ICAD Antibodies
Proteins predicted to interact with ICAD
Predicted protein interactions based upon String database. Revelancy score correlates with probability of interaction.
DFFB Antibodies
99.9% Relevancy Score
Caspase-3 Antibodies
99.2% Relevancy Score
Granzyme B Antibodies
96.6% Relevancy Score
CIDE B Antibodies
95.3% Relevancy Score
CIDEC Antibodies
91.6% Relevancy Score
DNASE2 Antibodies
79.9% Relevancy Score
Endo G Antibodies
77.3% Relevancy Score
Caspase-7 Antibodies
71.6% Relevancy Score
Caspase-6 Antibodies
70.9% Relevancy Score
Top