ISO 9001:2015 Certified
Live Customer Support
4.5/5 on Trustpilot
100% Quality Guarantee

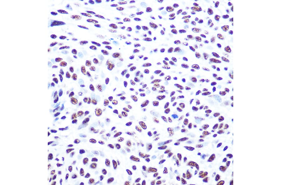
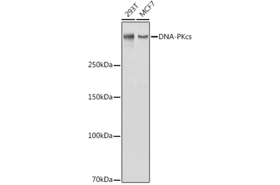
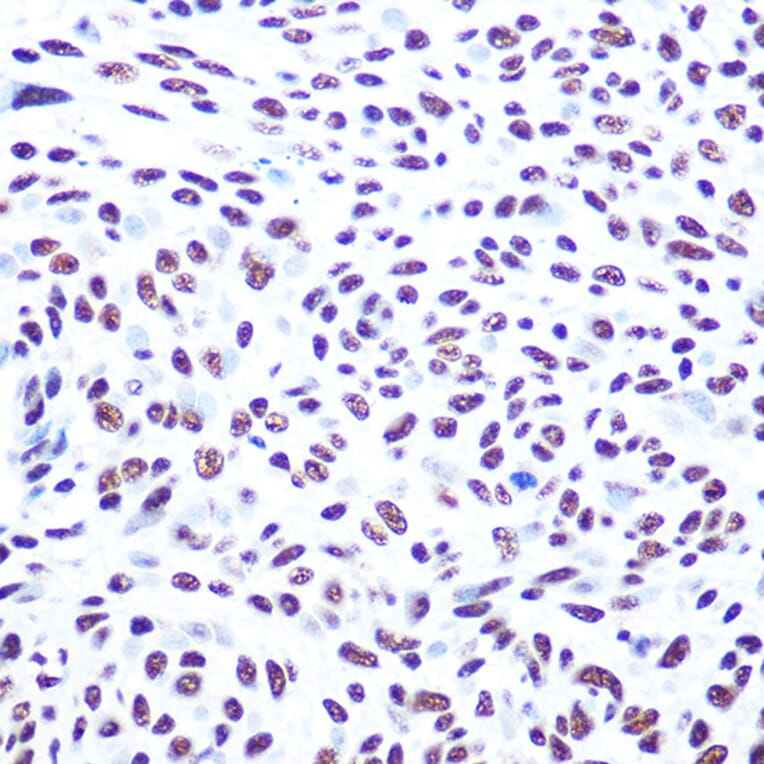
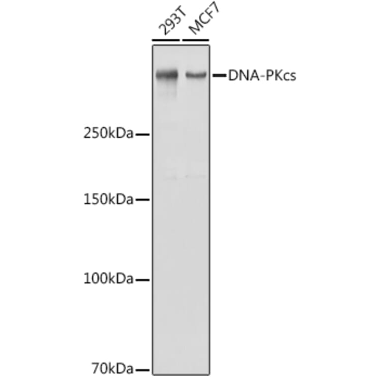
Anti-DNA PKcs Antibody (A11446)

Rabbit polyclonal antibody to DNA PKcs for WB and IHC.

Shipping Information

$40
Dispatched from St. Louis, MO.
Lead Time: 7-10 business days.
Name
Anti-DNA PKcs Antibody
Description
Rabbit polyclonal antibody to DNA PKcs.
Applications
WB, IHC
Dilutions
WB: 1:500-1:1,000, IHC: 1:50-1:200
Reactivity
Human
Immunogen
Recombinant fusion protein containing a sequence corresponding to amino acids 3993-4128 of human DNA-PKcs (NP_008835.5).
Sequence
SDPGLLTNTMDVFVKEPSFDWKNFEQKMLKKGGSWIQEINVAEKNWYPRQKICYAKRKLAGANPAVITCDELLLGHEKAPAFRDYVAVARGSKDHNIRAQEPESGLSEETQVKCLMDQATDPNILGRTWEGWEPWM
Host
Rabbit
Clonality
Polyclonal
Isotype
IgG
Conjugate

Unconjugated

Purification
Affinity purification.
Concentration
Lot Specific
Molecular Weight
450 kDa
Product Form
Liquid
Formulation
Supplied in Phosphate Buffered Saline, pH 7.3, with 50% Glycerol and 0.01% Thiomersal.
Storage
Shipped at 4°C. Upon delivery aliquot and store at -20°C. Avoid freeze/thaw cycles.
Synonyms
DNA-dependent protein kinase catalytic subunit, DNA-PK catalytic subunit, DNA-PKcs, DNPK1, HYRC, HYRC1, p460, PRKDC
Disclaimer
This product is for research use only. It is not intended for diagnostic or therapeutic use.
Publishing research using Anti-DNA PKcs Antibody (A11446)? Please let us know so that we can list the citation on this page.

Alternative products to Anti-DNA PKcs Antibody (A11446)

Proteins predicted to interact with DNA PKcs

Predicted protein interactions based upon String database. Revelancy score correlates with probability of interaction.
99.9% Relevancy Score
99.9% Relevancy Score
99.9% Relevancy Score
99.9% Relevancy Score
99.9% Relevancy Score
99.9% Relevancy Score
99.7% Relevancy Score
99.3% Relevancy Score
98.3% Relevancy Score