ISO 9001:2015 Certified
Live Customer Support
4.5/5 on Trustpilot
100% Quality Guarantee

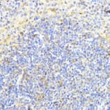
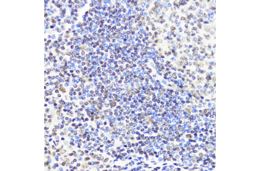
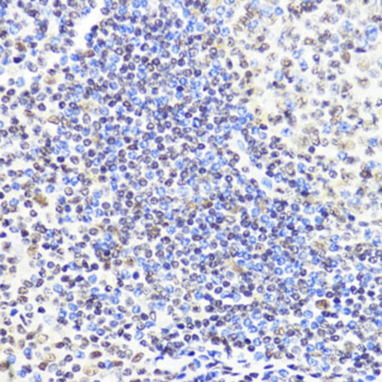
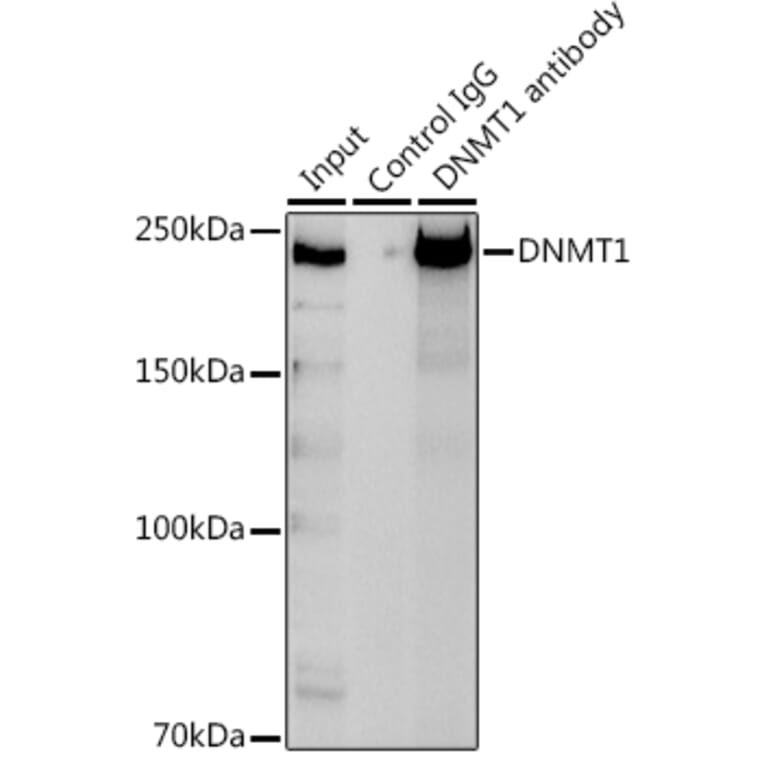
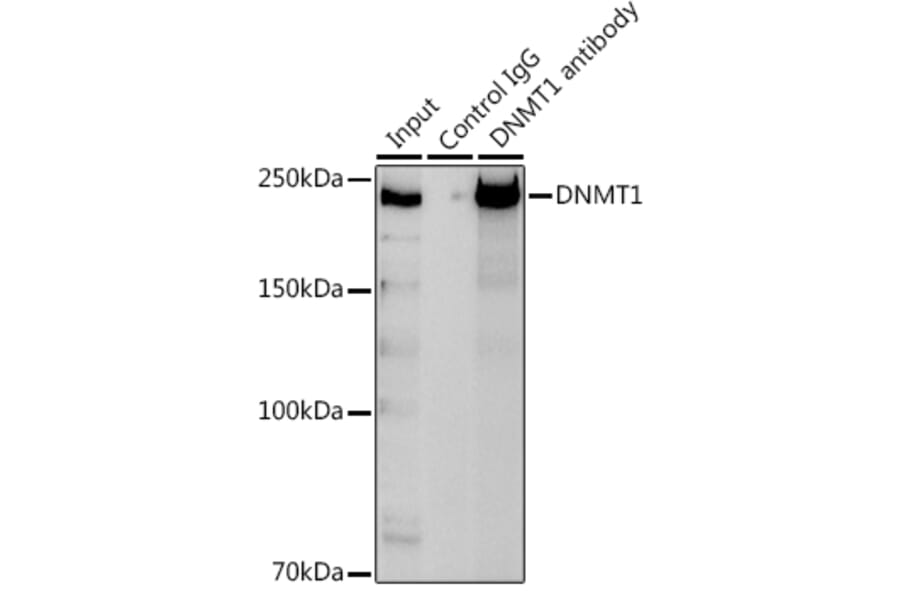
Anti-Dnmt1 Antibody (A92854)

This product is discontinued

Anti-Dnmt1 Antibody (A92854) has been discontinued and is no longer available.

View all Dnmt1 Antibodies.

Name
Anti-Dnmt1 Antibody
Description
Rabbit polyclonal antibody to Dnmt1.
Applications
WB, IHC, ICC/IF, IP, ChIP
Dilutions
WB: 1:500-1:1,000, IHC: 1:50-1:200, ICC/IF: 1:50-1:200, IP: 1:500-1:1,000, ChIP: 1:500-1:1,000
Reactivity
Human, Mouse, Rat
Immunogen
Recombinant fusion protein containing a sequence corresponding to amino acids 760-1109 of DNMT1 (NP_001370.1).
Sequence
GDCVSVIPDDSSKPLYLARVTALWEDSSNGQMFHAHWFCAGTDTVLGATSDPLELFLVDECEDMQLSYIHSKVKVIYKAPSENWAMEGGMDPESLLEGDDGKTYFYQLWYDQDYARFESPPKTQPTEDNKFKFCVSCARLAEMRQKEIPRVLEQLEDLDSRVLYYSATKNGILYRVGDGVYLPPEAFTFNIKLSSPVKRPRKEPVDEDLYPEHYRKYSDYIKGSNLDAPEPYRIGRIKEIFCPKKSNGRPNETDIKIRVNKFYRPENTHKSTPASYHADINLLYWSDEEAVVDFKAVQGRCTVEYGEDLPECVQVYSMGGPNRFYFLEAYNAKSKSFEDPPNHARSPGNK
Host
Rabbit
Clonality
Polyclonal
Isotype
IgG
Conjugate

Unconjugated

Purification
Affinity purification.
Molecular Weight
200 kDa
Product Form
Liquid
Formulation
Supplied in Phosphate Buffered Saline, pH 7.3, with 50% Glycerol and 0.01% Thiomersal.
Storage
Shipped at 4°C. Upon delivery aliquot and store at -20°C. Avoid freeze / thaw cycles.
Synonyms
AIM, CXXC-type zinc finger protein 9, CXXC9, DNA (cytosine-5)-methyltransferase 1, DNA methyltransferase HsaI, DNA MTase HsaI, DNMT, M.HsaI, MCMT
Disclaimer
This product is for research use only. It is not intended for diagnostic or therapeutic use.

Alternative products to Anti-Dnmt1 Antibody (A92854)

Proteins predicted to interact with DNMT1

Predicted protein interactions based upon String database. Revelancy score correlates with probability of interaction.
99.9% Relevancy Score
99.9% Relevancy Score
99.9% Relevancy Score
99.9% Relevancy Score
99.9% Relevancy Score
99.9% Relevancy Score
99.9% Relevancy Score
99.8% Relevancy Score
99.8% Relevancy Score