Reconstitute with 100µl of sterile double-distilled water to bring antibody to 1mg/ml concentration. Gently shake to solubilize completely. Do not vortex!
Formulation
Lyophilized from 25mM Histadine, pH 6.2, with 8% Sucrose and 0.01% Tween80.
Storage
Shipped at 4°C. Lyophilized: Store at -20°C to -80°C. Reconstituted: Aliquot and store at -80°C. Product is stable for one year. Avoid freeze/thaw cycles.
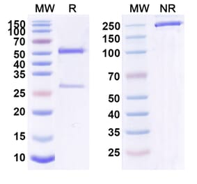
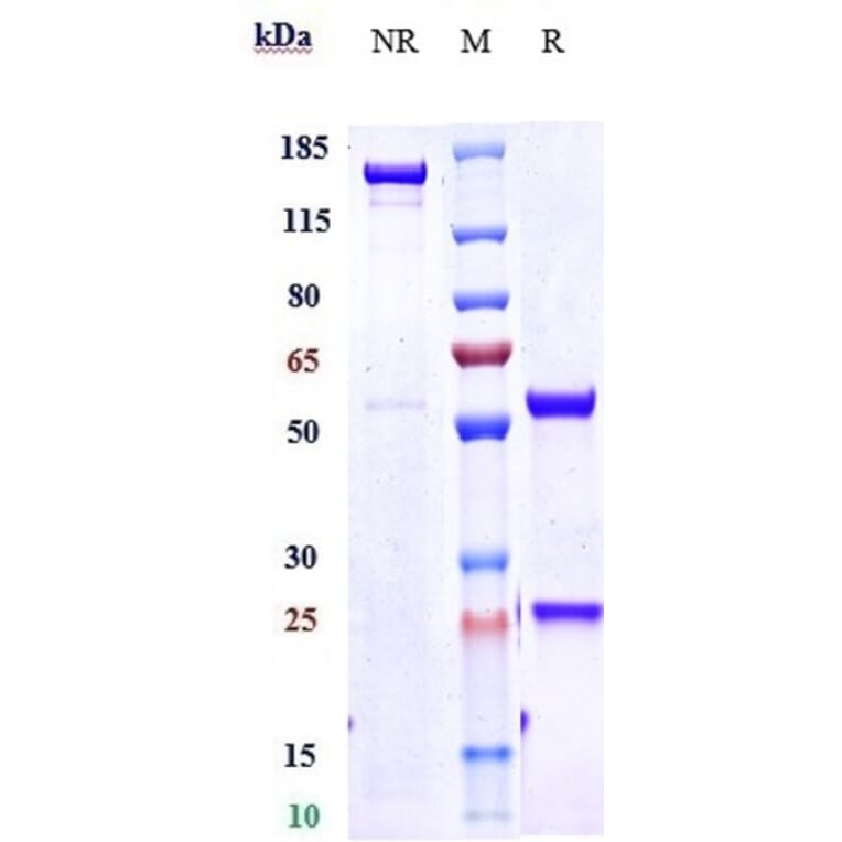
SDS-PAGE analysis of Dupilumab Biosimilar - Anti-IL-4R Antibody - Low endotoxin, Azide free (A323403) under reducing (R) conditions confirms that the purity of this antibody is greater than 95%.
SEC-HPLC analysis of Dupilumab Biosimilar - Anti-IL-4R Antibody - Low endotoxin, Azide free (A323403) confirms that the purity of this antibody is 96.86%.
Immobilized recombinant human IL4RA protein (His tag) at 2 µg/ml is bound by Dupilumab Biosimilar - Anti-IL-4R Antibody - Low endotoxin, Azide free (A323403). EC50 = 0.004327 µg/ml.
Publishing research using Dupilumab Biosimilar - Anti-IL-4R Antibody - Low endotoxin, Azide free (A323403)? Please let us know so that we can list the citation on this page.
Alternative products to Dupilumab Biosimilar - Anti-IL-4R Antibody - Low endotoxin, Azide free (A323403)
Recombinant human monoclonal antibody to IL-4R for use as a research grade Dupilumab biosimilar for ELISA, Flow Cytometry, Functional Studies and in vivo Research.
Recombinant human monoclonal antibody to IL-4R for use as a research grade Rademikibart biosimilar for ELISA, Flow Cytometry, Functional Studies and in vivo Research.
Recombinant human monoclonal antibody to IL-4R for use as a research grade Stapokibart biosimilar for ELISA, Flow Cytometry, Functional Studies and in vivo Research.
Recombinant humanized monoclonal antibody to IL-4R for use as a research grade Manfidokimab biosimil for ELISA, Flow Cytometry, Functional Studies and in vivo Research.
Recombinant humanized monoclonal antibody to IL-4R for use as a research grade Comekibart biosimilar for ELISA, Flow Cytometry, Functional Studies and in vivo Research.
Recombinant human monoclonal antibody to IL-4R for use as a research grade drotokibart biosimilar for ELISA, Flow Cytometry, Functional Studies and in vivo Research.
Recombinant human monoclonal antibody to IL-4R for use as a research grade telikibart biosimilar for ELISA, Flow Cytometry, Functional Studies and in vivo Research.
Recombinant human monoclonal antibody to IL-4R for use as a research grade oturkibart biosimilar for ELISA, Flow Cytometry, Functional Studies and in vivo Research.
Recombinant human monoclonal antibody to IL-4R for use as a research grade Dupilumab biosimilar for ELISA, Flow Cytometry, Functional Studies and in vivo Research.
Recombinant human monoclonal antibody to IL-4R for use as a research grade Rademikibart biosimilar for ELISA, Flow Cytometry, Functional Studies and in vivo Research.
Recombinant human monoclonal antibody to IL-4R for use as a research grade Stapokibart biosimilar for ELISA, Flow Cytometry, Functional Studies and in vivo Research.
Recombinant humanized monoclonal antibody to IL-4R for use as a research grade Manfidokimab biosimil for ELISA, Flow Cytometry, Functional Studies and in vivo Research.
Recombinant humanized monoclonal antibody to IL-4R for use as a research grade Comekibart biosimilar for ELISA, Flow Cytometry, Functional Studies and in vivo Research.
Recombinant human monoclonal antibody to IL-4R for use as a research grade drotokibart biosimilar for ELISA, Flow Cytometry, Functional Studies and in vivo Research.
Recombinant human monoclonal antibody to IL-4R for use as a research grade telikibart biosimilar for ELISA, Flow Cytometry, Functional Studies and in vivo Research.
Recombinant human monoclonal antibody to IL-4R for use as a research grade oturkibart biosimilar for ELISA, Flow Cytometry, Functional Studies and in vivo Research.