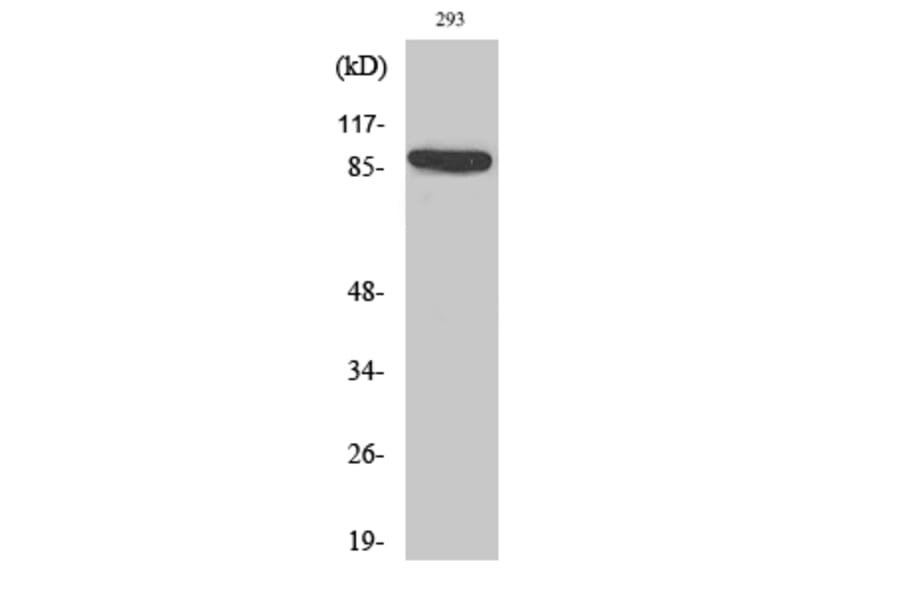
Western blot analysis of lysates from 293 cells using Anti-IL-4RAntibody. The right hand lane represents a negative control, where the antibody is blocked by the immunising peptide.
Immunofluorescence analysis of A549 cells using Anti-IL-4RAntibody. The right hand panel represents a negative control, where the antibody was pre-incubated with the immunising peptide.
Recombinant human monoclonal antibody to IL-4R for use as a research grade Dupilumab biosimilar for ELISA, Flow Cytometry, Functional Studies and in vivo Research.
Recombinant human monoclonal antibody to IL-4R for use as a research grade Rademikibart biosimilar for ELISA, Flow Cytometry, Functional Studies and in vivo Research.
Recombinant human monoclonal antibody to IL-4R for use as a research grade Stapokibart biosimilar for ELISA, Flow Cytometry, Functional Studies and in vivo Research.
Recombinant humanized monoclonal antibody to IL-4R for use as a research grade Manfidokimab biosimil for ELISA, Flow Cytometry, Functional Studies and in vivo Research.
Recombinant humanized monoclonal antibody to IL-4R for use as a research grade Comekibart biosimilar for ELISA, Flow Cytometry, Functional Studies and in vivo Research.
Recombinant human monoclonal antibody to IL-4R for use as a research grade BC 005 biosimilar for ELISA, Flow Cytometry, Functional Studies and in vivo Research.
Recombinant human monoclonal antibody to IL-4R for use as a research grade CM310 biosimilar for ELISA, Flow Cytometry, Functional Studies and in vivo Research.
Recombinant human monoclonal antibody to IL-4R for use as a research grade MEDI2045 biosimilar for ELISA, Flow Cytometry, Functional Studies and in vivo Research.
Recombinant human monoclonal antibody to IL-4R for use as a research grade Dupilumab biosimilar for ELISA, Flow Cytometry, Functional Studies and in vivo Research.
Recombinant human monoclonal antibody to IL-4R for use as a research grade Rademikibart biosimilar for ELISA, Flow Cytometry, Functional Studies and in vivo Research.
Recombinant human monoclonal antibody to IL-4R for use as a research grade Stapokibart biosimilar for ELISA, Flow Cytometry, Functional Studies and in vivo Research.
Recombinant humanized monoclonal antibody to IL-4R for use as a research grade Manfidokimab biosimil for ELISA, Flow Cytometry, Functional Studies and in vivo Research.
Recombinant humanized monoclonal antibody to IL-4R for use as a research grade Comekibart biosimilar for ELISA, Flow Cytometry, Functional Studies and in vivo Research.
Recombinant human monoclonal antibody to IL-4R for use as a research grade BC 005 biosimilar for ELISA, Flow Cytometry, Functional Studies and in vivo Research.
Recombinant human monoclonal antibody to IL-4R for use as a research grade CM310 biosimilar for ELISA, Flow Cytometry, Functional Studies and in vivo Research.
Recombinant human monoclonal antibody to IL-4R for use as a research grade MEDI2045 biosimilar for ELISA, Flow Cytometry, Functional Studies and in vivo Research.