Primary Antibodies
Secondary Antibodies
Proteins & Peptides
ELISA Kits
About Us
Contact Us
Sign In/Register
0
ISO 9001:2015 Certified
Live Customer Support
4.5/5 on Trustpilot
100% Quality Guarantee
Home
Primary Antibodies
DUSP6 Antibodies
Anti-DUSP6 Antibody (A32301)
Anti-DUSP6 Antibody (A32301)
Overview
Specifications
Images
Enlarge Image
Enlarge Image
Enlarge Image
Enlarge Image
Enlarge Image
Enlarge Image
Enlarge Image
Enlarge Image
Enlarge Image
+2
$455
Rabbit monoclonal antibody to DUSP6 for WB, ICC/IF, IHC and FC.
100% Guarantee
Price Match Guarantee
Product Size:
50µl
100µl
Quantity:
1
2
3
4
5
6
7
8
9
10
Add To Cart
Request a Quotation
Custom or Bulk Request
Shipping Information
Freight/Packing Charges:
$40
Dispatched from St. Louis, MO.
Lead Time: 7-10 business days.
Specifications
Name
Anti-DUSP6 Antibody
Description
Rabbit monoclonal antibody to DUSP6
Specificity
This antibody detects endogenous levels of DUSP6 and does not cross-react with related proteins.
Applications
WB
,
ICC/IF
,
IHC
, FC
Reactivity
Human, Mouse, Rat
Immunogen
Recombinant antibody.
Host
Rabbit
Clonality
Monoclonal
Conjugate
Unconjugated
Molecular Weight
~ 42 kDa
Purity
Protein A affinity purified
Product Form
Recombinant Rabbit Monoclonal Antibody. 1*TBS (pH7.4), 1%BSA, 40%Glycerol. Preservative: 0.05% Sodium Azide.
Synonyms
Dual specificity protein phosphatase 6, Dual specificity protein phosphatase PYST1, MAP kinase phosphatase 3, Mitogen-activated protein kinase phosphatase 3, MKP-3, MKP3, PYST1
Suitable Secondaries
Goat Anti-Rabbit IgG H&L Antibody (AP) (A294874)
Goat Anti-Rabbit IgG H&L Antibody (Biotin) (A294795)
Goat Anti-Rabbit IgG H&L Antibody (FITC) (A294887)
Goat Anti-Rabbit IgG H&L Antibody (HRP) (A294888)
See all Anti-Rabbit IgG Secondaries →
Disclaimer
This product is for research use only. It is not intended for diagnostic or therapeutic use.
Scientific Validation Data
Validation Data
(9)
Enlarge Image
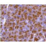
Anti-DUSP6 Antibody (A32301)
For details please refer to datasheet.
Enlarge Image
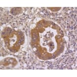
Anti-DUSP6 Antibody (A32301)
For details please refer to datasheet.
Enlarge Image
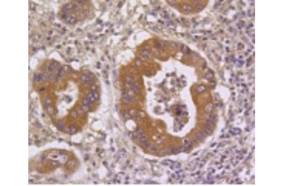
Anti-DUSP6 Antibody (A32301)
For details please refer to datasheet.
Enlarge Image
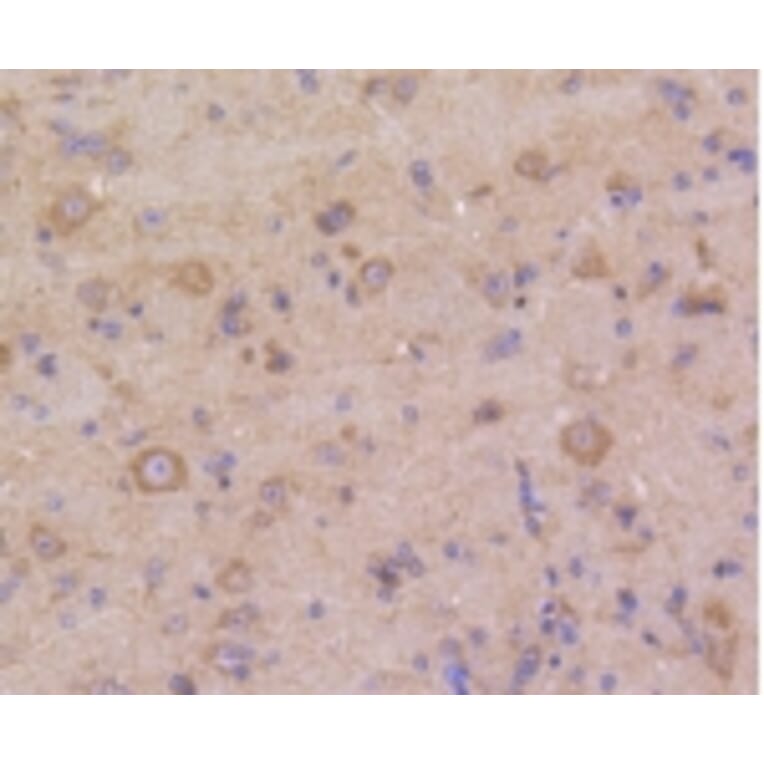
Anti-DUSP6 Antibody (A32301)
For details please refer to datasheet.
Enlarge Image
Anti-DUSP6 Antibody (A32301)
For details please refer to datasheet.
Enlarge Image
Anti-DUSP6 Antibody (A32301)
For details please refer to datasheet.
Enlarge Image
Anti-DUSP6 Antibody (A32301)
For details please refer to datasheet.
Enlarge Image
Anti-DUSP6 Antibody (A32301)
For details please refer to datasheet.
Enlarge Image
Anti-DUSP6 Antibody (A32301)
For details please refer to datasheet.
Show more images
Publishing research using Anti-DUSP6 Antibody (A32301)? Please
let us know
so that we can list the citation on this page.
Alternative products to Anti-DUSP6 Antibody (A32301)
(3)
A95891
Anti-DUSP6 Antibody
Rabbit polyclonal antibody to DUSP6 for IHC, IF and ELISA.
(3)
A14387
Anti-DUSP6 Antibody
Rabbit polyclonal antibody to DUSP6 for WB, IHC and ICC/IF.
A34447
Anti-MKP-3 Antibody
Rabbit polyclonal antibody to MKP-3 for WB, IHC, IF and ELISA.
(3)
A35016
Anti-DUSP6 Antibody
Rabbit polyclonal antibody to DUSP6 for WB, IHC and IF.
(2)
A82913
Anti-DUSP6 Antibody
Goat polyclonal antibody to DUSP6 for ELISA and WB.
(2)
A32180
Anti-DUSP6 (L76) Antibody
Rabbit polyclonal antibody to DUSP6 (L76) for WB and IHC.
(2)
A38152
Anti-DUSP6 Antibody
Rabbit polyclonal antibody to DUSP6 for WB and IHC.
(2)
A305412
Anti-DUSP6 Antibody [ARC0237]
Rabbit monoclonal [ARC0237] antibody to DUSP6 for WB and IHC.
(2)
A48098
Anti-DUSP6 Antibody
Rabbit polyclonal antibody to DUSP6 for E, WB and IHC.
A51066
Anti-MKP-3 (Phospho-Ser197) Antibody
Rabbit Polycolonal antibody to MKP-3 (Phospho-Ser197) for WB.
A43282
Anti-DUSP6 Antibody
Rabbit polyclonal antibody to DUSP6 for WB.
A8444
Anti-DUSP6 Antibody
Rabbit polyclonal antibody to DUSP6 for WB and ICC/IF.
(3)
A95891
Anti-DUSP6 Antibody
Rabbit polyclonal antibody to DUSP6 for IHC, IF and ELISA.
(3)
A14387
Anti-DUSP6 Antibody
Rabbit polyclonal antibody to DUSP6 for WB, IHC and ICC/IF.
A34447
Anti-MKP-3 Antibody
Rabbit polyclonal antibody to MKP-3 for WB, IHC, IF and ELISA.
(3)
A35016
Anti-DUSP6 Antibody
Rabbit polyclonal antibody to DUSP6 for WB, IHC and IF.
(2)
A82913
Anti-DUSP6 Antibody
Goat polyclonal antibody to DUSP6 for ELISA and WB.
(2)
A32180
Anti-DUSP6 (L76) Antibody
Rabbit polyclonal antibody to DUSP6 (L76) for WB and IHC.
(2)
A38152
Anti-DUSP6 Antibody
Rabbit polyclonal antibody to DUSP6 for WB and IHC.
(2)
A305412
Anti-DUSP6 Antibody [ARC0237]
Rabbit monoclonal [ARC0237] antibody to DUSP6 for WB and IHC.
(2)
A48098
Anti-DUSP6 Antibody
Rabbit polyclonal antibody to DUSP6 for E, WB and IHC.
A51066
Anti-MKP-3 (Phospho-Ser197) Antibody
Rabbit Polycolonal antibody to MKP-3 (Phospho-Ser197) for WB.
A43282
Anti-DUSP6 Antibody
Rabbit polyclonal antibody to DUSP6 for WB.
A8444
Anti-DUSP6 Antibody
Rabbit polyclonal antibody to DUSP6 for WB and ICC/IF.
See all DUSP6 Antibodies
Proteins predicted to interact with DUSP6
Predicted protein interactions based upon String database. Revelancy score correlates with probability of interaction.
ERK2 Antibodies
99.6% Relevancy Score
ERK1 Antibodies
98.5% Relevancy Score
SPRY2 Antibodies
82.9% Relevancy Score
SPRY4 Antibodies
75.2% Relevancy Score
c-Fos Antibodies
74.3% Relevancy Score
EGR1 Antibodies
72.9% Relevancy Score
ERK5 Antibodies
70.9% Relevancy Score
c-Jun Antibodies
67.6% Relevancy Score
NRARP Antibodies
64.4% Relevancy Score
Top