Primary Antibodies
Secondary Antibodies
Proteins & Peptides
ELISA Kits
About Us
Contact Us
Sign In/Register
0
ISO 9001:2015 Certified
Live Customer Support
4.5/5 on Trustpilot
100% Quality Guarantee
Home
Primary Antibodies
DUT Antibodies
Anti-DUT Antibody (A30933)
Anti-DUT Antibody (A30933)
Overview
Specifications
Images
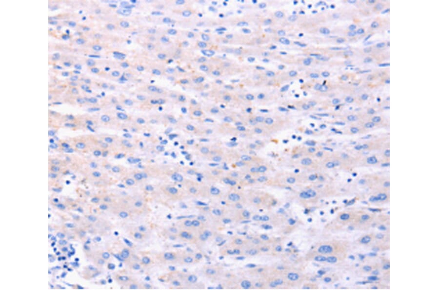
Enlarge Image
Enlarge Image
$460
Product Datasheet
Rabbit polyclonal antibody to DUT for WB and IHC.
100% Guarantee
Price Match Guarantee
Product Size:
50µl
100µl
Quantity:
1
2
3
4
5
6
7
8
9
10
Add To Cart
Request a Quotation
Custom or Bulk Request
Shipping Information
Freight/Packing Charges:
$40
Dispatched from St. Louis, MO.
Lead Time: 7-10 business days.
Specifications
Name
Anti-DUT Antibody
Description
Rabbit polyclonal antibody to DUT
Specificity
DUT pAb detects endogenous levels of DUT protein.
Applications
WB
,
IHC
Reactivity
Human, Mouse, Rat
Immunogen
Recombinant full length Human DUT.
Host
Rabbit
Clonality
Polyclonal
Conjugate
Unconjugated
Molecular Weight
~ 18, 26 kDa
Purity
The antibody was affinity-purified from rabbit antiserum by affinity-chromatography using epitope-specific immunogen and the purity is > 95% (by SDS-PAGE).
Product Form
1mg/ml in PBS with 0.1% Sodium Azide, 50% Glycerol.
Synonyms
Deoxyuridine 5'-triphosphate nucleotidohydrolase, mitochondrial, dUTP pyrophosphatase, dUTPase
Suitable Secondaries
Goat Anti-Rabbit IgG H&L Antibody (AP) (A294874)
Goat Anti-Rabbit IgG H&L Antibody (Biotin) (A294795)
Goat Anti-Rabbit IgG H&L Antibody (FITC) (A294887)
Goat Anti-Rabbit IgG H&L Antibody (HRP) (A294888)
See all Anti-Rabbit IgG Secondaries →
Disclaimer
This product is for research use only. It is not intended for diagnostic or therapeutic use.
Scientific Validation Data
Validation Data
(2)
Enlarge Image
Anti-DUT Antibody (A30933)
For details please refer to datasheet.
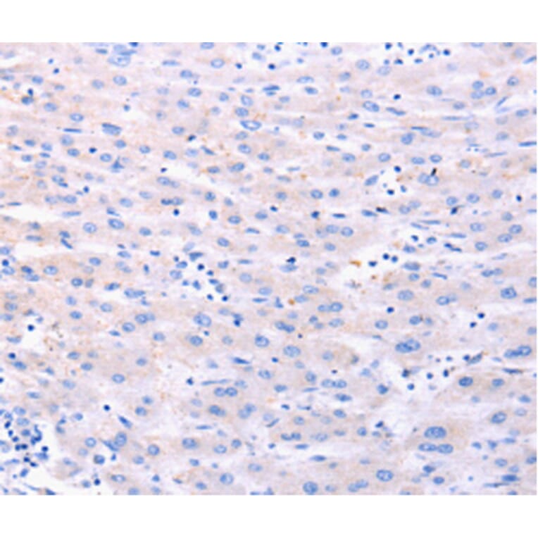
Enlarge Image
Anti-DUT Antibody (A30933)
For details please refer to datasheet.
Publishing research using Anti-DUT Antibody (A30933)? Please
let us know
so that we can list the citation on this page.
Alternative products to Anti-DUT Antibody (A30933)
(5)
A14245
Anti-dUTPase Antibody
Rabbit polyclonal antibody to dUTPase for WB, IHC and ICC/IF.
(2)
A39161
Anti-DUT Antibody
Rabbit polyclonal antibody to DUT for WB, ICC/IF and IHC.
(3)
A83124
Anti-dUTPase Antibody
Goat polyclonal antibody to dUTPase for ELISA, WB and IHC.
A345725
Anti-DUT Antibody [23GB5240]
Recombinant rabbit monoclonal [23GB5240] antibody to DUT for WB, Flow Cytometry, ICC/IF and IHC-P.
A329326
Anti-dUTPase Antibody [ARC3127]
Rabbit monoclonal [ARC3127] antibody to dUTPase for WB and ELISA.
A345724
Anti-DUT Antibody [24GB11305]
Recombinant rabbit monoclonal [24GB11305] antibody to DUT for WB, Flow Cytometry and ICC/IF.
A44332
Anti-DUT Antibody
Rabbit polyclonal antibody to DUT for WB.
(5)
A14245
Anti-dUTPase Antibody
Rabbit polyclonal antibody to dUTPase for WB, IHC and ICC/IF.
(2)
A39161
Anti-DUT Antibody
Rabbit polyclonal antibody to DUT for WB, ICC/IF and IHC.
(3)
A83124
Anti-dUTPase Antibody
Goat polyclonal antibody to dUTPase for ELISA, WB and IHC.
A345725
Anti-DUT Antibody [23GB5240]
Recombinant rabbit monoclonal [23GB5240] antibody to DUT for WB, Flow Cytometry, ICC/IF and IHC-P.
A329326
Anti-dUTPase Antibody [ARC3127]
Rabbit monoclonal [ARC3127] antibody to dUTPase for WB and ELISA.
A345724
Anti-DUT Antibody [24GB11305]
Recombinant rabbit monoclonal [24GB11305] antibody to DUT for WB, Flow Cytometry and ICC/IF.
A44332
Anti-DUT Antibody
Rabbit polyclonal antibody to DUT for WB.
See all DUT Antibodies
Proteins predicted to interact with DUT
Predicted protein interactions based upon String database. Revelancy score correlates with probability of interaction.
Thymidylate Synthase Antibodies
99.4% Relevancy Score
DTYMK Antibodies
98.1% Relevancy Score
ITPA Antibodies
95.9% Relevancy Score
NME6 Antibodies
94.8% Relevancy Score
NME1 Antibodies
94.5% Relevancy Score
NME2 Antibodies
93.7% Relevancy Score
Nucleoside Diphosphate Kinase 7 Antibodies
93.6% Relevancy Score
NME3 Antibodies
93.6% Relevancy Score
NME4 Antibodies
93.3% Relevancy Score
Top