ISO 9001:2015 Certified
Live Customer Support
4.5/5 on Trustpilot
100% Quality Guarantee

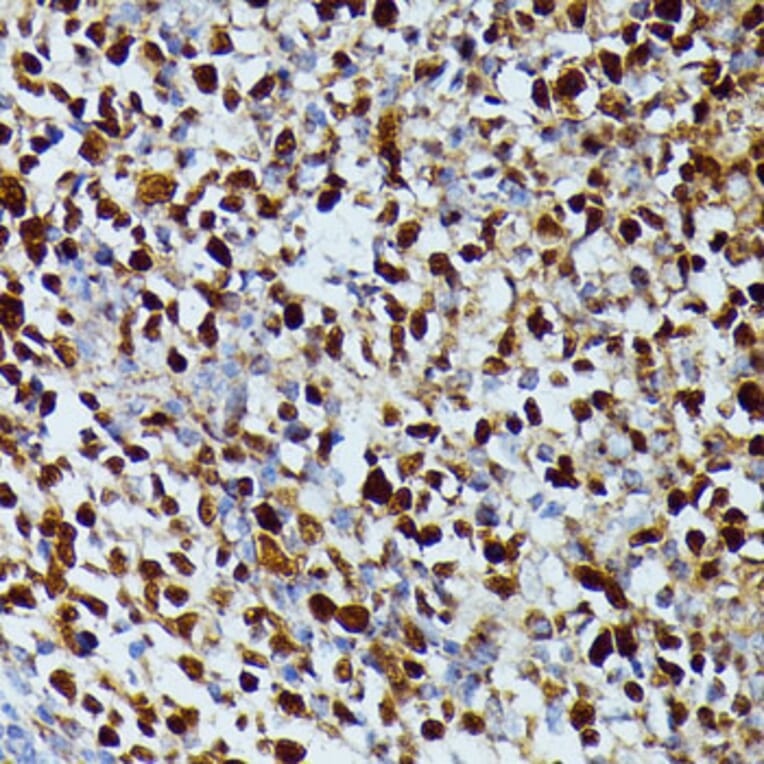
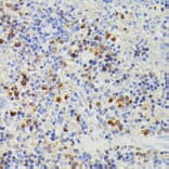
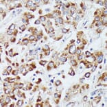
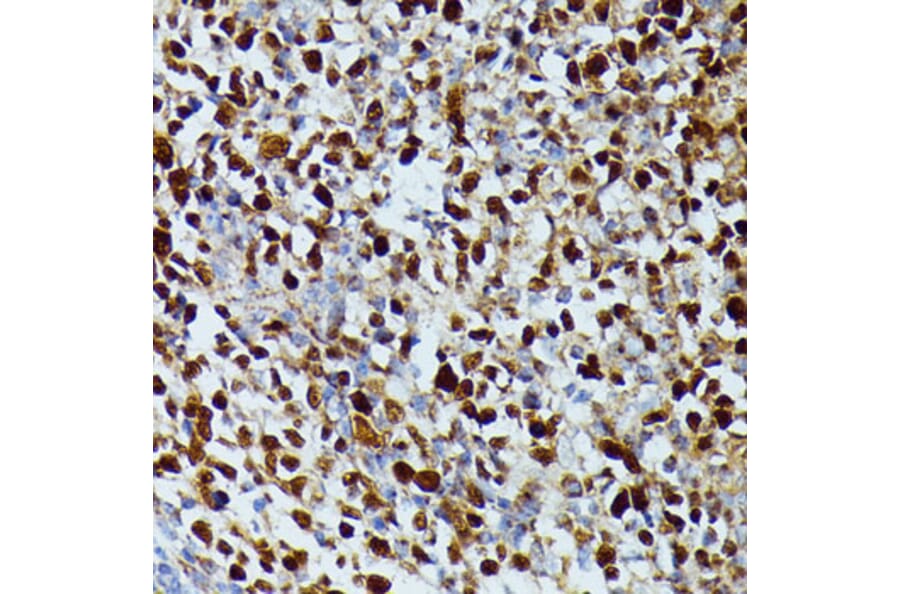
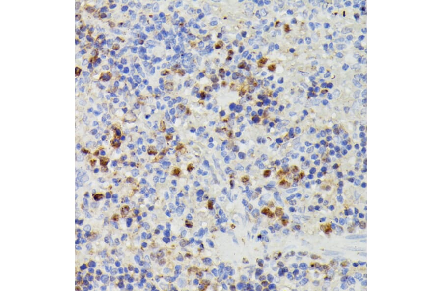
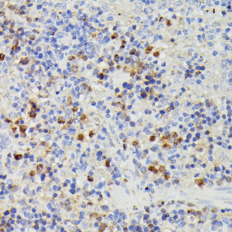
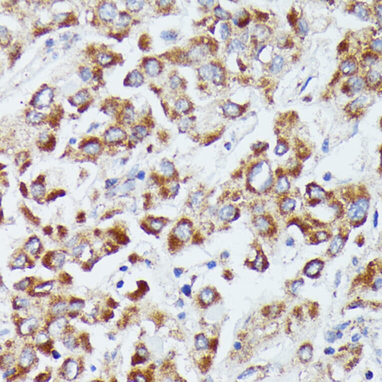
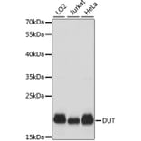
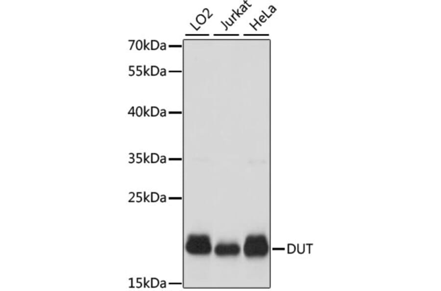
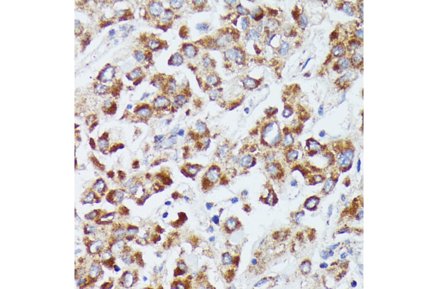
Anti-dUTPase Antibody (A14245)

Rabbit polyclonal antibody to dUTPase for WB, IHC and ICC/IF.

Shipping Information

$40
Dispatched from St. Louis, MO.
Lead Time: 7-10 business days.
Name
Anti-dUTPase Antibody
Description
Rabbit polyclonal antibody to dUTPase.
Applications
WB, IHC, ICC/IF
Dilutions
WB: 1:500-1:1,000, IHC: 1:50-1:200, ICC/IF: 1:100-1:200
Reactivity
Human, Mouse, Rat
Immunogen
Recombinant fusion protein containing a sequence corresponding to amino acids 89-252 of human DUT (NP_001020419.1).
Sequence
PAPGPETPAISPSKRARPAEVGGMQLRFARLSEHATAPTRGSARAAGYDLYSAYDYTIPPMEKAVVKTDIQIALPSGCYGRVAPRSGLAAKHFIDVGAGVIDEDYRGNVGVVLFNFGKEKFEVKKGDRIAQLICERIFYPEIEEVQALDDTERGSGGFGSTGKN
Host
Rabbit
Clonality
Polyclonal
Isotype
IgG
Conjugate

Unconjugated

Purification
Affinity purification.
Concentration
Lot Specific
Molecular Weight
24 kDa
Product Form
Liquid
Formulation
Supplied in Phosphate Buffered Saline, pH 7.3, with 50% Glycerol and 0.01% Thiomersal.
Storage
Shipped at 4°C. Upon delivery aliquot and store at -20°C. Avoid freeze/thaw cycles.
Synonyms
Deoxyuridine 5'-triphosphate nucleotidohydrolase, mitochondrial, dUTP pyrophosphatase
Disclaimer
This product is for research use only. It is not intended for diagnostic or therapeutic use.
Publishing research using Anti-dUTPase Antibody (A14245)? Please let us know so that we can list the citation on this page.

Alternative products to Anti-dUTPase Antibody (A14245)

Proteins predicted to interact with DUT

Predicted protein interactions based upon String database. Revelancy score correlates with probability of interaction.
99.4% Relevancy Score
98.1% Relevancy Score
95.9% Relevancy Score
94.8% Relevancy Score
94.5% Relevancy Score
93.7% Relevancy Score
93.6% Relevancy Score
93.3% Relevancy Score