ISO 9001:2015 Certified
Live Customer Support
4.5/5 on Trustpilot
100% Quality Guarantee

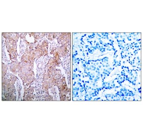
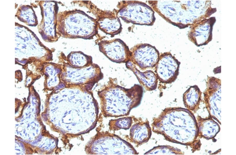
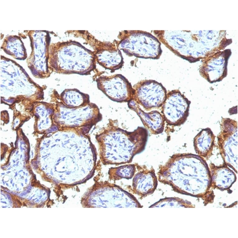
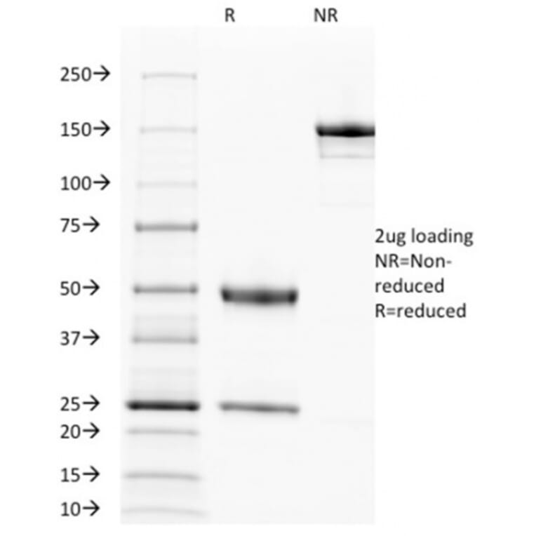
Anti-EGFR Antibody [31G7] - BSA and Azide free (A251585)

Mouse monoclonal [31G7] antibody to EGFR for Flow Cytometry, IF and IHC-P.

Alternative Formats and ConjugatesAlternative Formats

Shipping Information

$40
Dispatched from St. Louis, MO.
Lead Time: 5-8 business days.
Name
Anti-EGFR Antibody [31G7] - BSA and Azide free
Description
Mouse monoclonal [31G7] antibody to EGFR.
Specificity
This antibody recognizes a protein of 170kDa, identified as EGFR. EGFR is type I receptor tyrosine kinase with sequence homology to erbB-1, -2, -3 -4 or HER-1, -2, -3 -4. It binds to Epidermal Growth Factor (EGF), Transforming Growth Factor-a (TGF-a), Heparin-binding EGF (HB-EGF), amphiregulin, betacellulin and epiregulin. EGFR is overexpressed in tumors of breast, brain, bladder, lung, gastric, head neck, esophagus, cervix, vulva, ovary, and endometrium. It is predominantly present in squamous cell carcinomas.
Applications
Flow Cytometry, IF, IHC-P
Dilutions
Flow Cytometry: 1-2 µg/million cells, IF: 1-2 µg/ml, IHC-P: 2-4 µg/ml
Reactivity
Human
Immunogen
Native human EGFR purified from A431 cells.
Host
Mouse
Clonality
Monoclonal
Clone ID
31G7
Isotype
IgG2a
Light Chains
kappa
Conjugate

Unconjugated

Purification
Protein A/G chromatography.
Concentration
1 mg/ml
Molecular Weight
~170 kDa (wild type) / ~145 kDa (vIII variant)
Product Form
Liquid
Formulation
Supplied in 10mM Phosphate Buffered Saline; without Sodium Azide and carrier free.
Storage
Shipped at 4°C. Upon delivery aliquot and store at -20°C. Avoid freeze / thaw cycles.
General Notes
This monoclonal antibody is also available in a different formulation with BSA and Sodium Azide - Anti-EGFR Antibody [31G7] (A248403).
Synonyms
Epidermal growth factor receptor, ERBB, ERBB1, HER1, Proto-oncogene c-ErbB-1, Receptor tyrosine-protein kinase erbB-1
Disclaimer
This product is for research use only. It is not intended for diagnostic or therapeutic use.
Publishing research using Anti-EGFR Antibody [31G7] - BSA and Azide free (A251585)? Please let us know so that we can list the citation on this page.

Alternative products to Anti-EGFR Antibody [31G7] - BSA and Azide free (A251585)

Proteins predicted to interact with EGFR

Predicted protein interactions based upon String database. Revelancy score correlates with probability of interaction.
99.9% Relevancy Score
99.9% Relevancy Score
99.9% Relevancy Score
99.9% Relevancy Score
99.9% Relevancy Score
99.9% Relevancy Score
99.9% Relevancy Score
99.9% Relevancy Score
99.9% Relevancy Score