Western blot analysis of extracts of various cell lines, using Anti-EGFR Antibody (A80534) at 1:1,000 dilution. The secondary antibody was Goat Anti-Rabbit IgG H&L Antibody (HRP) at 1:10,000 dilution. Lysates/proteins were present at 25µg per lane. The blocking buffer used was 3% non-fat dry milk in TBST. Detection was with a ECL Basic Kit. Exposure time: 60s.
Immunohistochemistry analysis of paraffin-embedded rat liver using Anti-EGFR Antibody (A80534) at a dilution of 1:200 (40x lens). Perform microwave antigen retrieval with 10 mM PBS buffer pH 7.2 before commencing with IHC staining protocol.
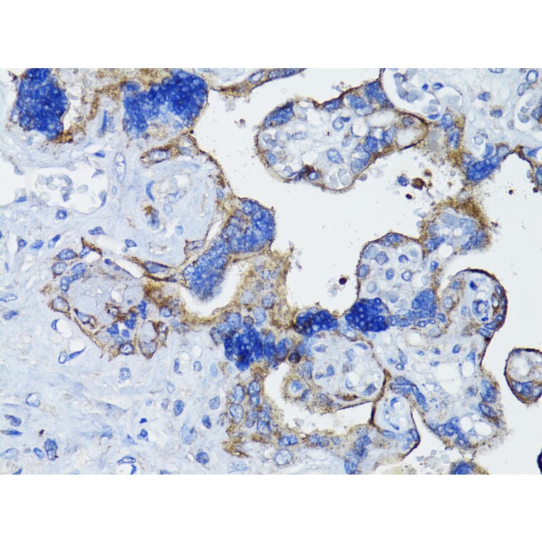
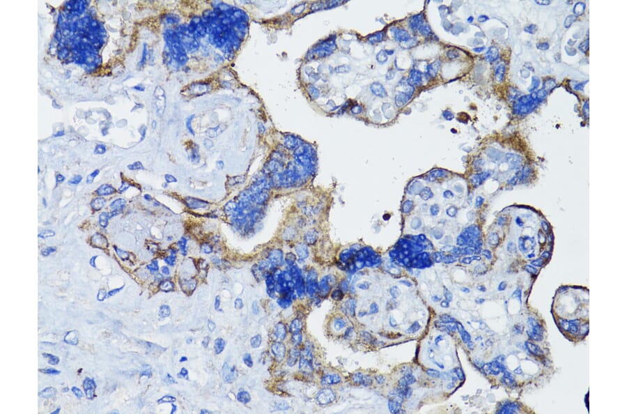
Immunohistochemistry analysis of paraffin-embedded human placenta using Anti-EGFR Antibody (A80534) at a dilution of 1:200 (40x lens). Perform microwave antigen retrieval with 10 mM PBS buffer pH 7.2 before commencing with IHC staining protocol.
Immunohistochemistry analysis of paraffin-embedded mouse heart using Anti-EGFR Antibody (A80534) at a dilution of 1:200 (40x lens). Perform microwave antigen retrieval with 10 mM PBS buffer pH 7.2 before commencing with IHC staining protocol.
Immunoprecipitation analysis of 200µg extracts of HeLa cells using 3µg of Anti-EGFR Antibody (A80534). This Western blot was performed on the immunoprecipitate using Anti-EGFR Antibody (A80534) at a dilution of 1:1000.
Recombinant human monoclonal antibody to EGFR for use as a research grade Panitumumab biosimilar for ELISA, Flow Cytometry, Functional Studies and in vivo Research.
Recombinant chimeric monoclonal antibody to EGFR for use as a research grade Modotuximab biosimilar for ELISA, Flow Cytometry, Functional Studies and in vivo Research.
Recombinant human monoclonal antibody to EGFR for use as a research grade Panitumumab biosimilar for ELISA, Flow Cytometry, Functional Studies and in vivo Research.
Recombinant chimeric monoclonal antibody to EGFR for use as a research grade Modotuximab biosimilar for ELISA, Flow Cytometry, Functional Studies and in vivo Research.