ISO 9001:2015 Certified
Live Customer Support
4.5/5 on Trustpilot
100% Quality Guarantee

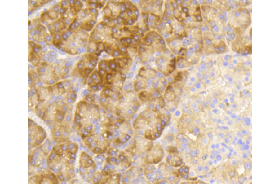
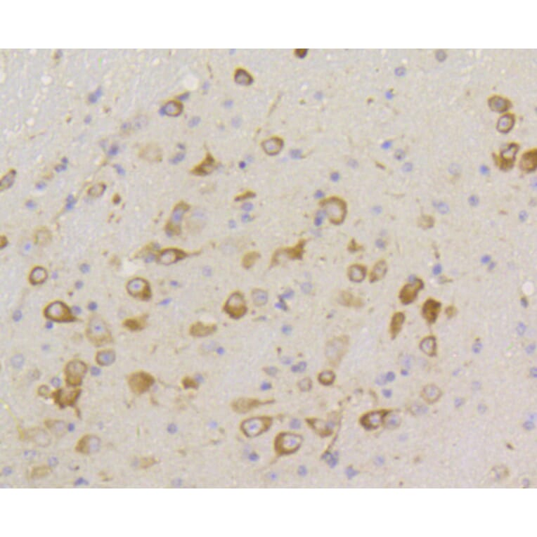
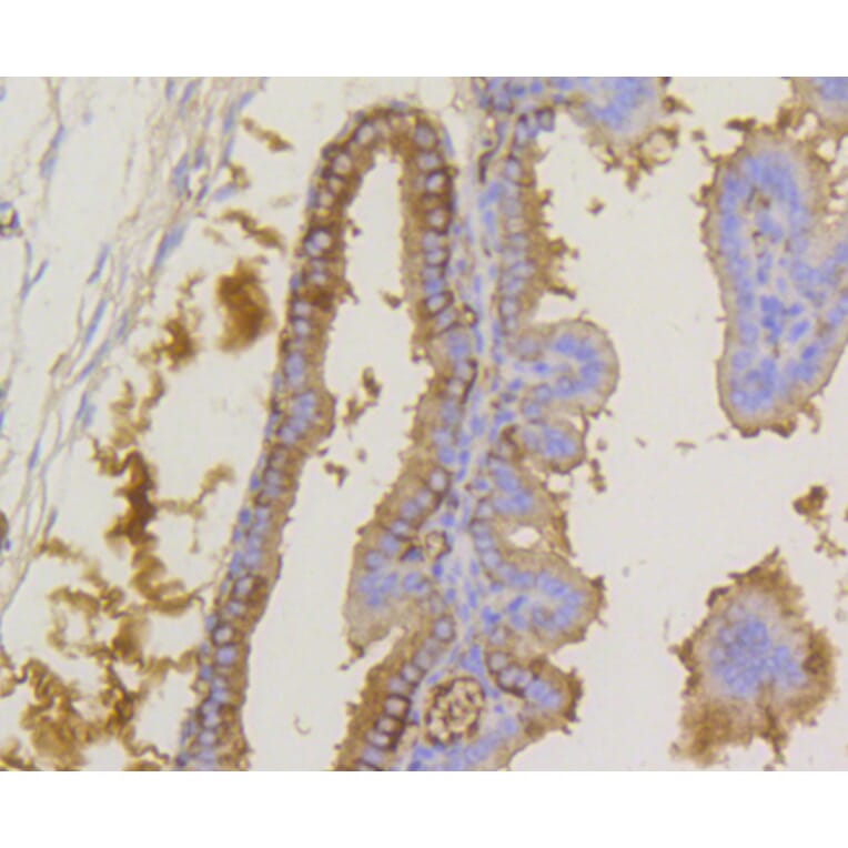
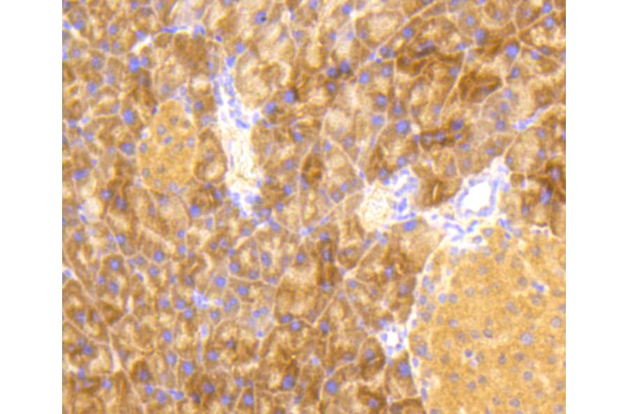
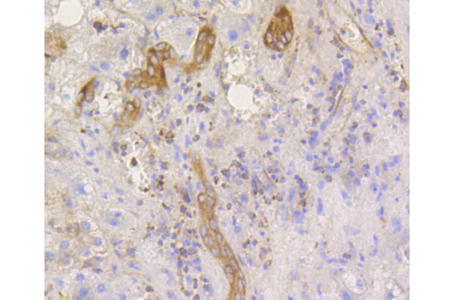
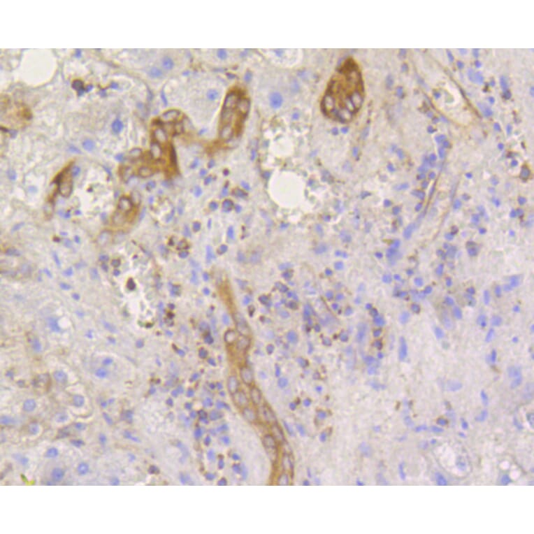
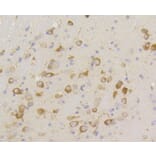
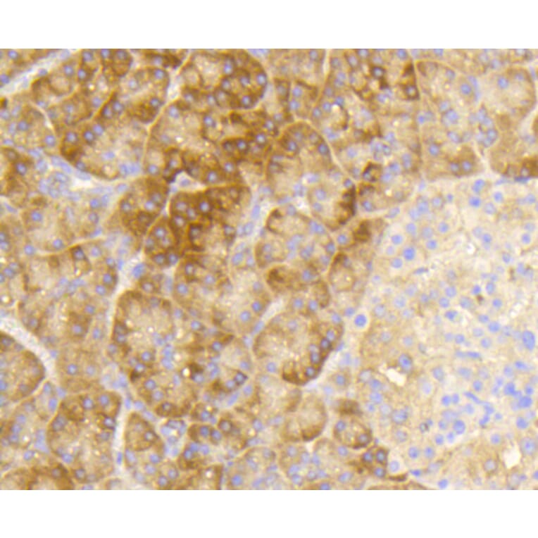
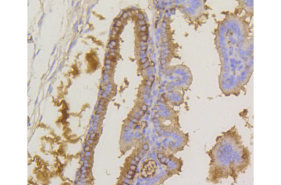
Anti-eIF2a (phospho S51) Antibody (A80454)

This product is discontinued

Anti-eIF2a (phospho S51) Antibody (A80454) has been discontinued and is no longer available.

View all eIF2a Antibodies.

Name
Anti-eIF2a (phospho S51) Antibody
Description
Rabbit polyclonal antibody to eIF2a (phospho S51).
Applications
WB, IHC, IF
Dilutions
WB: 1:500-1:2000, IHC: 1:50-1:200, IF: 1:50-1:200
Reactivity
Human, Mouse, Rat
Immunogen
A phospho specific peptide corresponding to residues surrounding S51 of human eIF2a.
Host
Rabbit
Clonality
Polyclonal
Isotype
IgG
Conjugate

Unconjugated

Purification
Affinity purification.
Molecular Weight
36kDa
Formulation
Supplied in Phosphate Buffered Saline, pH 7.30, with 0.02% Sodium Azide and 50% Glycerol.
Storage
Shipped at 4°C. Upon delivery aliquot and store at -20°C. Avoid freeze / thaw cycles.
Synonyms
65 kDa eukaryotic translation initiation factor 2A, eIF-2A, Eukaryotic translation initiation factor 2A
Disclaimer
This product is for research use only. It is not intended for diagnostic or therapeutic use.

Alternative products to Anti-eIF2a (phospho S51) Antibody (A80454)

Proteins predicted to interact with eIF2A

Predicted protein interactions based upon String database. Revelancy score correlates with probability of interaction.
97.8% Relevancy Score
96% Relevancy Score
92.5% Relevancy Score
81.5% Relevancy Score
78.9% Relevancy Score
77.9% Relevancy Score
77.5% Relevancy Score
74.8% Relevancy Score
70.8% Relevancy Score