Primary Antibodies
Secondary Antibodies
Proteins & Peptides
ELISA Kits
About Us
Contact Us
Sign In/Register
0
ISO 9001:2015 Certified
Live Customer Support
4.5/5 on Trustpilot
100% Quality Guarantee
Home
Primary Antibodies
ELAVL2 Antibodies
Anti-ELAV-like protein 2 Antibody (A36601)
Anti-ELAV-like protein 2 Antibody (A36601)
Overview
Specifications
Images
Enlarge Image
Enlarge Image
$430
Product Datasheet
Rabbit polyclonal antibody to ELAV-like protein 2 for WB and IHC.
100% Guarantee
Price Match Guarantee
Product Size:
100µg
Quantity:
1
2
3
4
5
6
7
8
9
10
Add To Cart
Request a Quotation
Custom or Bulk Request
Shipping Information
Freight/Packing Charges:
$40
Dispatched from St. Louis, MO.
Lead Time: 6-9 business days.
Specifications
Name
Anti-ELAV-like protein 2 Antibody
Description
Rabbit polyclonal antibody to ELAV-like protein 2
Specificity
The antibody detects endogenous level of total ELAV-like protein 2 polyclonal antibody.
Applications
WB
,
IHC
Reactivity
Human
Immunogen
Recombinant human ELAV-like protein 2 protein
Host
Rabbit
Clonality
Polyclonal
Conjugate
Unconjugated
Purification
Caprylic Acid Ammonium Sulfate Precipitation purified
Concentration
1.0 mg/mL
Formulation
Preservative: 0.03% Proclin 300 Constituents: 50% Glycerol, 0.01M PBS, PH 7.4
Storage
Shipped at 4°C. Upon delivery aliquot and store at -20°C. Avoid freeze/thaw cycles.
Synonyms
ELAV-like neuronal protein 1, Hu-antigen B, HUB, Nervous system-specific RNA-binding protein Hel-N1
Suitable Secondaries
Goat Anti-Rabbit IgG H&L Antibody (AP) (A294874)
Goat Anti-Rabbit IgG H&L Antibody (Biotin) (A294795)
Goat Anti-Rabbit IgG H&L Antibody (FITC) (A294887)
Goat Anti-Rabbit IgG H&L Antibody (HRP) (A294888)
See all Anti-Rabbit IgG Secondaries →
Disclaimer
This product is for research use only. It is not intended for diagnostic or therapeutic use.
Scientific Validation Data
Validation Data
(2)
Enlarge Image
Anti-ELAV-like protein 2 Antibody (A36601)
All lanes: ELAV-like protein 2 antibody at 2ug/ml+mouse brain tissue. Secondary Goat polyclonal to Rabbit IgG at 1/10000 dilution Predicted band size: 40 kDa. Observed band size: 40 kDa
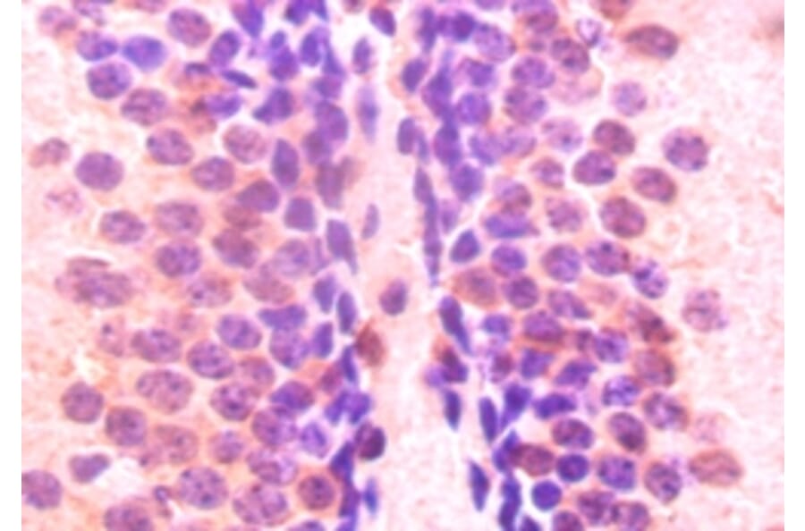
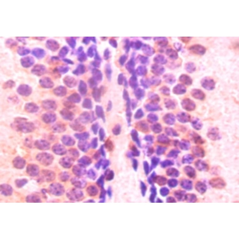
Enlarge Image
Immunohistochemistry - Anti-ELAV-like protein 2 Antibody (A36601)
Immunohistochemical analysis of paraffin-embedded mouse brain using #42158 at dilution of 1: 50.
Publishing research using Anti-ELAV-like protein 2 Antibody (A36601)? Please
let us know
so that we can list the citation on this page.
Alternative products to Anti-ELAV-like protein 2 Antibody (A36601)
(3)
A94858
Anti-ELAV2 + ELAV4 Antibody
Rabbit polyclonal antibody to ELAV2 + ELAV4 for WB, IHC, IF and ELISA.
(3)
A15051
Anti-HuB Antibody
Rabbit polyclonal antibody to HuB for WB and IHC.
A34440
Anti-HuB / D Antibody
Rabbit polyclonal antibody to HuB / D for ELISA, WB, ICC/IF and IHC.
(2)
A96904
Anti-ELAVL2 Antibody
Rabbit polyclonal antibody to ELAVL2 for WB and ELISA.
(2)
A45575
Anti-ELAVL2 Antibody
Rabbit polyclonal antibody to ELAVL2 for IHC.
(3)
A94858
Anti-ELAV2 + ELAV4 Antibody
Rabbit polyclonal antibody to ELAV2 + ELAV4 for WB, IHC, IF and ELISA.
(3)
A15051
Anti-HuB Antibody
Rabbit polyclonal antibody to HuB for WB and IHC.
A34440
Anti-HuB / D Antibody
Rabbit polyclonal antibody to HuB / D for ELISA, WB, ICC/IF and IHC.
(2)
A96904
Anti-ELAVL2 Antibody
Rabbit polyclonal antibody to ELAVL2 for WB and ELISA.
(2)
A45575
Anti-ELAVL2 Antibody
Rabbit polyclonal antibody to ELAVL2 for IHC.
See all ELAV-like protein 2 Antibodies
Proteins predicted to interact with ELAVL2
Predicted protein interactions based upon String database. Revelancy score correlates with probability of interaction.
HNRNPC Antibodies
76.9% Relevancy Score
PABP Antibodies
73.7% Relevancy Score
hnRNP K Antibodies
72.5% Relevancy Score
HuC Antibodies
72% Relevancy Score
TRA2A Antibodies
71.2% Relevancy Score
HNRNPUL2 Antibodies
70.3% Relevancy Score
IGF2BP2 Antibodies
69.4% Relevancy Score
A2BP1 Antibodies
69.1% Relevancy Score
IMP3 Antibodies
69.1% Relevancy Score
Top