ISO 9001:2015 Certified
Live Customer Support
4.5/5 on Trustpilot
100% Quality Guarantee

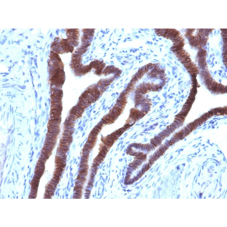
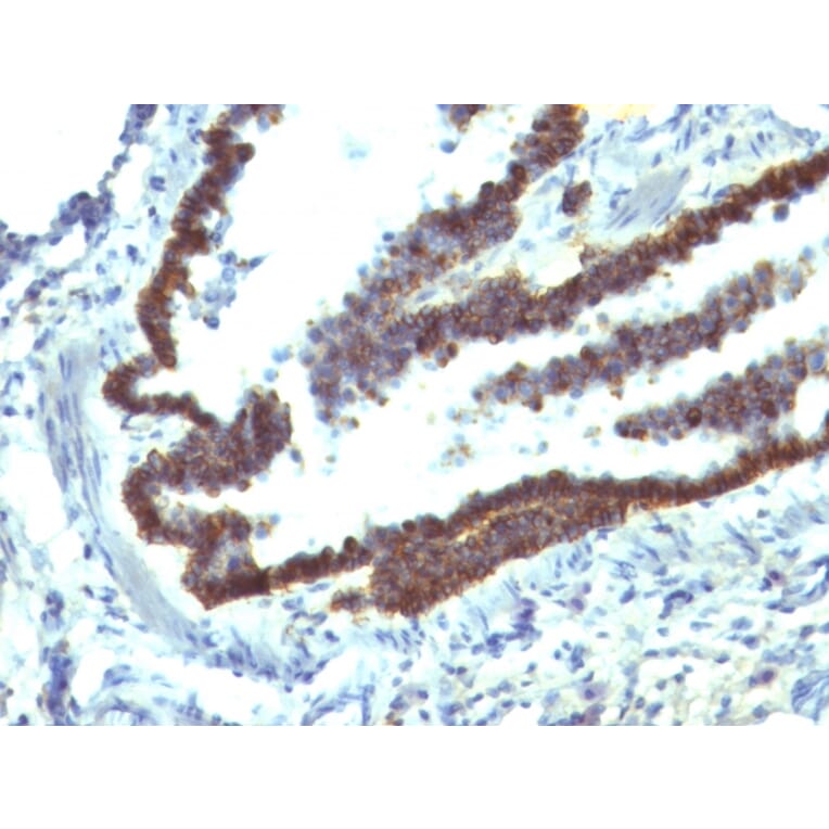
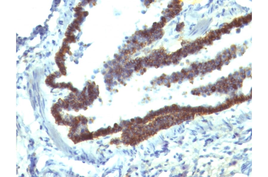
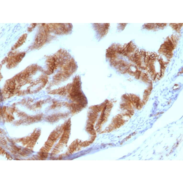
Anti-EpCAM Antibody [EGP40/1110] - BSA and Azide free (A252423)

Mouse monoclonal [EGP40/1110] antibody to EpCAM for IHC-P.

Alternative Formats and ConjugatesAlternative Formats

Shipping Information

$40
Dispatched from St. Louis, MO.
Lead Time: 5-8 business days.
Name
Anti-EpCAM Antibody [EGP40/1110] - BSA and Azide free
Description
Mouse monoclonal [EGP40/1110] antibody to EpCAM.
Applications
IHC-P
Dilutions
IHC-P: 1-2 µg/ml
Reactivity
Human, Mouse, Rat
Immunogen
Recombinant fragment from the cytoplasmic domain, within amino acids 280-350, of human EpCAM. The exact sequence is proprietary.
Host
Mouse
Clonality
Monoclonal
Clone ID
EGP40/1110
Isotype
IgG2b
Light Chains
kappa
Conjugate

Unconjugated

Purification
Protein A/G chromatography.
Concentration
1 mg/ml
Molecular Weight
40-43 kDa
Product Form
Liquid
Formulation
Supplied in 10mM Phosphate Buffered Saline; without Sodium Azide and carrier free.
Storage
Shipped at 4°C. Upon delivery aliquot and store at -20°C. Avoid freeze / thaw cycles.
General Notes
This monoclonal antibody is also available in a different formulation with BSA and Sodium Azide - Anti-EpCAM Antibody [EGP40/1110] (A249243).
Synonyms
Adenocarcinoma-associated antigen, CD326, Cell surface glycoprotein Trop-1, EGP, EGP314, Ep-CAM, Epithelial cell adhesion molecule, Epithelial cell surface antigen, Epithelial glycoprotein, Epithelial glycoprotein 314, GA733-2, hEGP314, M1S2, M4S1, MIC18, TACSTD1, TROP1
Disclaimer
This product is for research use only. It is not intended for diagnostic or therapeutic use.
Publishing research using Anti-EpCAM Antibody [EGP40/1110] - BSA and Azide free (A252423)? Please let us know so that we can list the citation on this page.

Alternative products to Anti-EpCAM Antibody [EGP40/1110] - BSA and Azide free (A252423)

Proteins predicted to interact with EpCAM

Predicted protein interactions based upon String database. Revelancy score correlates with probability of interaction.
99.3% Relevancy Score
97.1% Relevancy Score
94.3% Relevancy Score
92.7% Relevancy Score
92.3% Relevancy Score
92% Relevancy Score
91.4% Relevancy Score
91% Relevancy Score
90.5% Relevancy Score