Primary Antibodies
Secondary Antibodies
Proteins & Peptides
ELISA Kits
About Us
Contact Us
Sign In/Register
0
ISO 9001:2015 Certified
Live Customer Support
4.5/5 on Trustpilot
100% Quality Guarantee
Home
Primary Antibodies
EphA4 Antibodies
Anti-EPHA4 Antibody (A46071)
Anti-EPHA4 Antibody (A46071)
Overview
Specifications
Images
Enlarge Image
$405
Rabbit polyclonal antibody to EPHA4 for IHC.
100% Guarantee
Price Match Guarantee
Product Size:
100µl
Quantity:
1
2
3
4
5
6
7
8
9
10
Add To Cart
Request a Quotation
Custom or Bulk Request
Shipping Information
Freight/Packing Charges:
$40
Dispatched from St. Louis, MO.
Lead Time: 6-9 business days.
Specifications
Name
Anti-EPHA4 Antibody
Description
Rabbit polyclonal antibody to EPHA4
Specificity
The antibody detects endogenous levels of total EPHA4 protein.
Applications
IHC
Reactivity
Human, Mouse
Immunogen
Synthetic peptide corresponding to residues near the C terminal of human EPH receptor A4
Host
Rabbit
Clonality
Polyclonal
Conjugate
Unconjugated
Purification
Antigen affinity purification.
Concentration
700 µg/ml
Formulation
Rabbit IgG in pH7.3 PBS, 0.05% NaN3, 50% Glycerol.
Storage
Store at -20˚C
Synonyms
EK8, EPH-like kinase 8, Ephrin type-A receptor 4, HEK8, SEK, TYRO1, Tyrosine-protein kinase receptor SEK, Tyrosine-protein kinase TYRO1
Suitable Secondaries
Goat Anti-Rabbit IgG H&L Antibody (AP) (A294874)
Goat Anti-Rabbit IgG H&L Antibody (Biotin) (A294795)
Goat Anti-Rabbit IgG H&L Antibody (FITC) (A294887)
Goat Anti-Rabbit IgG H&L Antibody (HRP) (A294888)
See all Anti-Rabbit IgG Secondaries →
Disclaimer
This product is for research use only. It is not intended for diagnostic or therapeutic use.
Scientific Validation Data
Validation Data
(1)
Enlarge Image
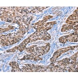
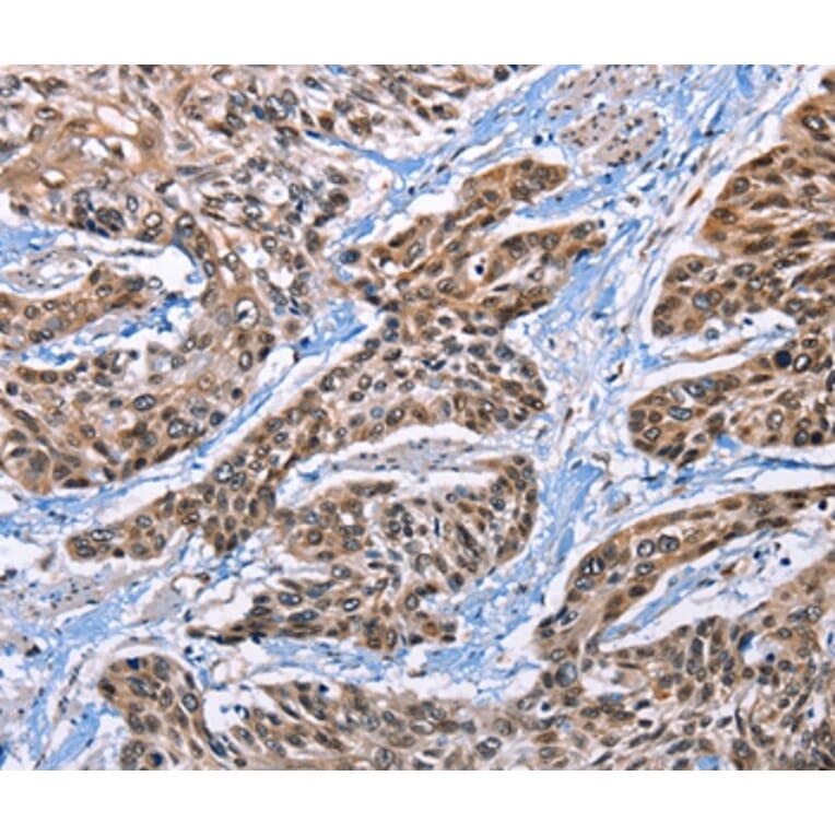
Immunohistochemistry - Anti-EPHA4 Antibody (A46071)
Immunohistochemical analysis of paraffin-embedded Human oesophagus cancer tissue using #36845 at dilution 1/15.
Publishing research using Anti-EPHA4 Antibody (A46071)? Please
let us know
so that we can list the citation on this page.
Alternative products to Anti-EPHA4 Antibody (A46071)
A50974
Anti-EPHA4 (Phospho-Tyr596) Antibody
Rabbit polyclonal antibody to EPHA4 (Phospho-Tyr596) for WB.
A50974
Anti-EPHA4 (Phospho-Tyr596) Antibody
Rabbit polyclonal antibody to EPHA4 (Phospho-Tyr596) for WB.
Proteins predicted to interact with EphA4
Predicted protein interactions based upon String database. Revelancy score correlates with probability of interaction.
Ephrin A1 Antibodies
99.9% Relevancy Score
Ephrin A2 Antibodies
99.9% Relevancy Score
Ephrin B3 Antibodies
99.9% Relevancy Score
Ephrin A5 Antibodies
99.9% Relevancy Score
Ephrin A4 Antibodies
99.9% Relevancy Score
Ephrin A3 Antibodies
99.9% Relevancy Score
Ephrin B2 Antibodies
99.9% Relevancy Score
Ephrin B1 Antibodies
99.8% Relevancy Score
Ephexin-1 Antibodies
98.4% Relevancy Score
Top