ISO 9001:2015 Certified
Live Customer Support
4.5/5 on Trustpilot
100% Quality Guarantee

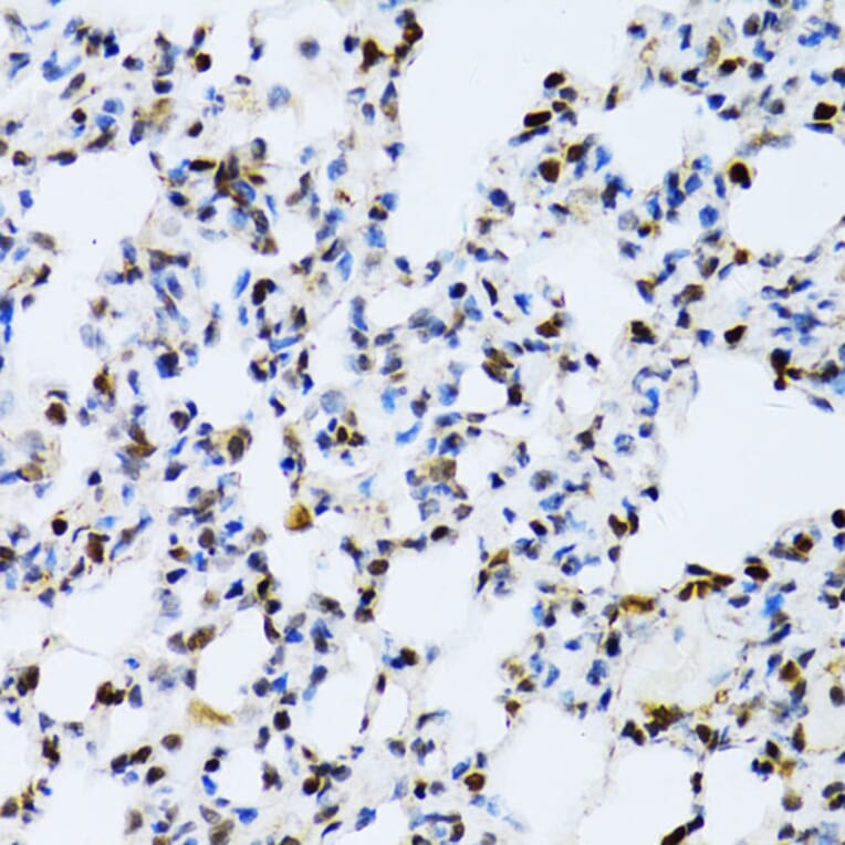
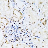
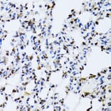
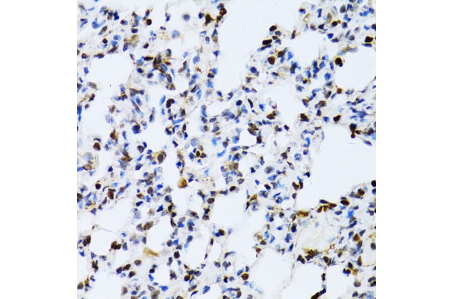
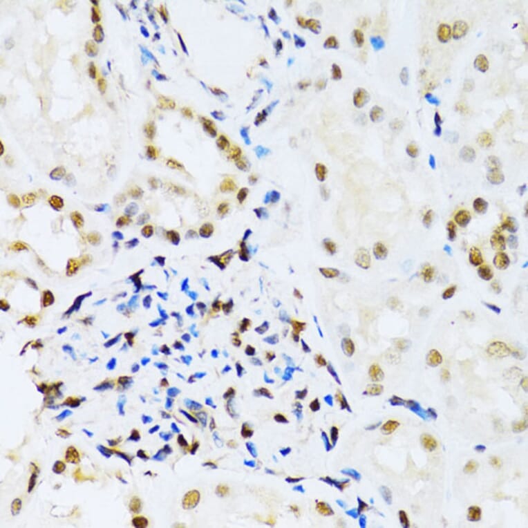
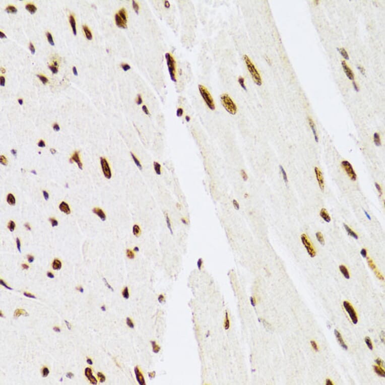
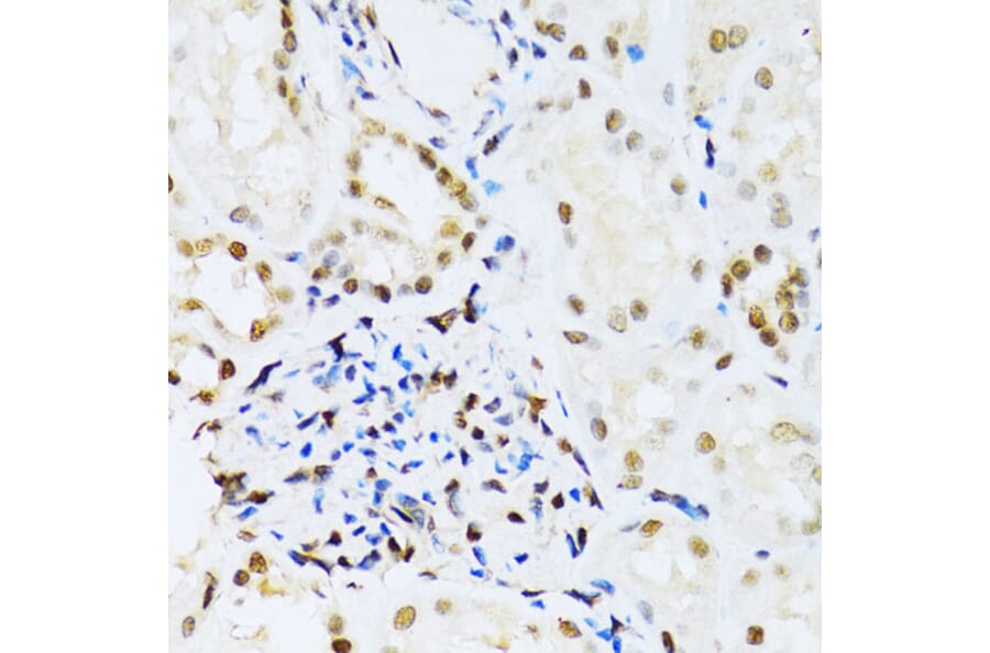
Anti-ERK1 Antibody (A12556)

Rabbit polyclonal antibody to ERK1 for WB, IHC and ICC/IF.

Shipping Information

$40
Dispatched from St. Louis, MO.
Lead Time: 7-10 business days.
Name
Anti-ERK1 Antibody
Description
Rabbit polyclonal antibody to ERK1.
Applications
WB, IHC, ICC/IF
Dilutions
WB: 1:500-1:2,000, IHC: 1:50-1:200, ICC/IF: 1:50-1:200
Reactivity
Human, Mouse, Rat
Immunogen
Recombinant fusion protein containing a sequence corresponding to amino acids 1-379 of human ERK1 (NP_002737.2).
Sequence
MAAAAAQGGGGGEPRRTEGVGPGVPGEVEMVKGQPFDVGPRYTQLQYIGEGAYGMVSSAYDHVRKTRVAIKKISPFEHQTYCQRTLREIQILLRFRHENVIGIRDILRASTLEAMRDVYIVQDLMETDLYKLLKSQQLSNDHICYFLYQILRGLKYIHSANVLHRDLKPSNLLINTTCDLKICDFGLARIADPEHDHTGFLTEYVATRWYRAPEIMLNSKGYTKSIDIWSVGCILAEMLSNRPIFPGKHYLDQLNHILGILGSPSQEDLNCIINMKARNYLQSLPSKTKVAWAKLFPKSDSKALDLLDRMLTFNPNKRITVEEALAHPYLEQYYDPTDEPVAEEPFTFAMELDDLPKERLKELIFQETARFQPGVLEAP
Host
Rabbit
Clonality
Polyclonal
Isotype
IgG
Conjugate

Unconjugated

Purification
Affinity purification.
Concentration
Lot Specific
Molecular Weight
40 kDa
Product Form
Liquid
Formulation
Supplied in Phosphate Buffered Saline, pH 7.3, with 50% Glycerol and 0.02% Sodium Azide.
Storage
Shipped at 4°C. Upon delivery aliquot and store at -20°C. Avoid freeze/thaw cycles.
Synonyms
ERK-1, ERT2, Extracellular signal-regulated kinase 1, Insulin-stimulated MAP2 kinase, MAP kinase 3, MAP kinase isoform p44, MAPK 3, MAPK3, Microtubule-associated protein 2 kinase, Mitogen-activated protein kinase 3, p44-ERK1, p44-MAPK, PRKM3
Disclaimer
This product is for research use only. It is not intended for diagnostic or therapeutic use.
Publishing research using Anti-ERK1 Antibody (A12556)? Please let us know so that we can list the citation on this page.

Alternative products to Anti-ERK1 Antibody (A12556)

Proteins predicted to interact with ERK1

Predicted protein interactions based upon String database. Revelancy score correlates with probability of interaction.
99.9% Relevancy Score
99.6% Relevancy Score
99.6% Relevancy Score
99.4% Relevancy Score
99.4% Relevancy Score
99.4% Relevancy Score
99.2% Relevancy Score
99.1% Relevancy Score
99% Relevancy Score