ISO 9001:2015 Certified
Live Customer Support
4.5/5 on Trustpilot
100% Quality Guarantee

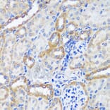
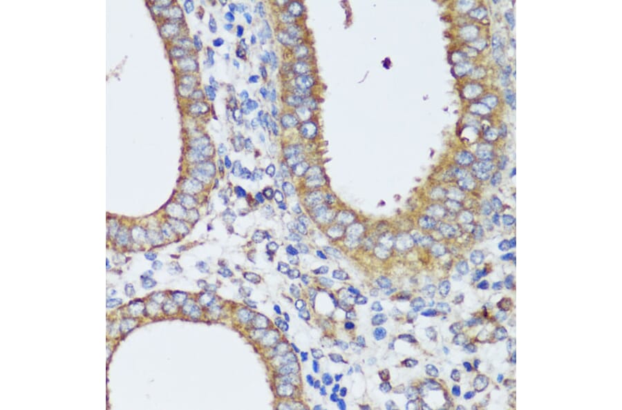
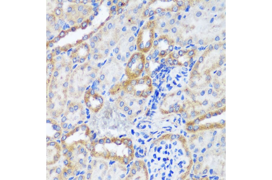
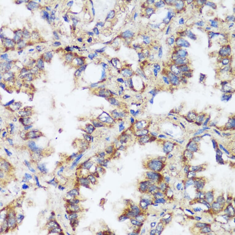
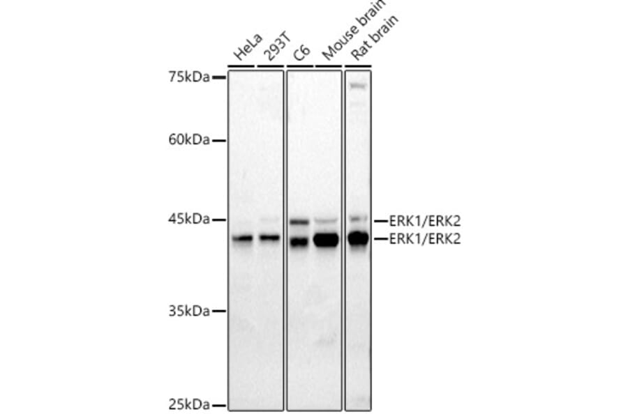
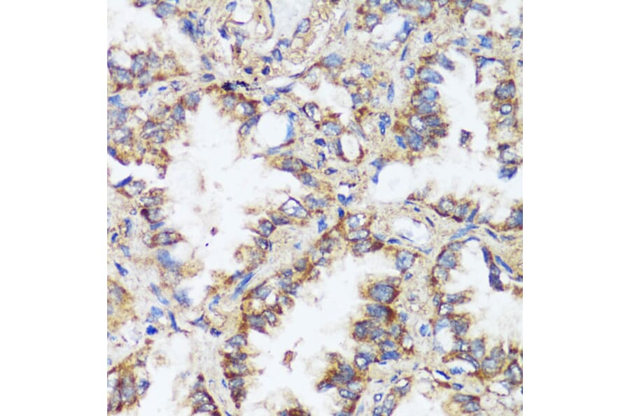
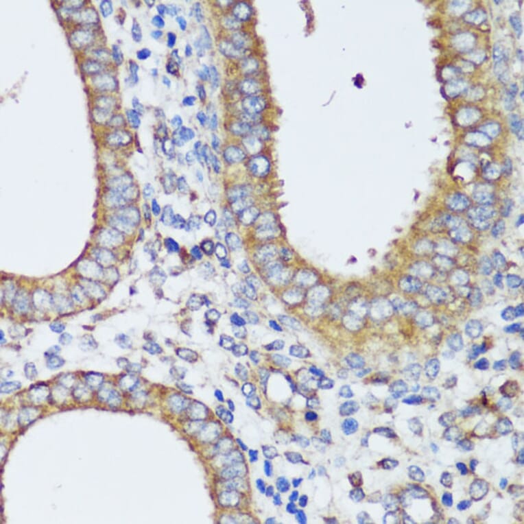
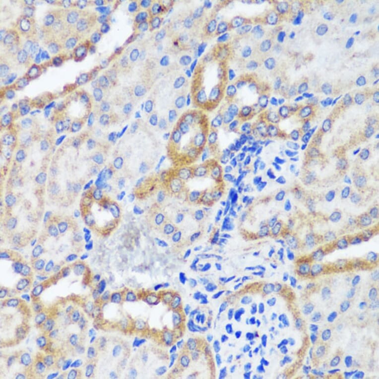
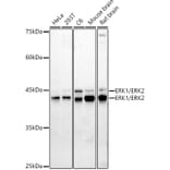
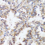
Anti-ERK1 + ERK2 Antibody (A87643)

Rabbit polyclonal antibody to ERK1 + ERK2 for WB, IHC and ICC/IF.

Shipping Information

$40
Dispatched from St. Louis, MO.
Lead Time: 7-10 business days.
Name
Anti-ERK1 + ERK2 Antibody
Description
Rabbit polyclonal antibody to ERK1 + ERK2.
Applications
WB, IHC, ICC/IF
Dilutions
WB: 1:500-1:1,000, IHC: 1:50-1:200, ICC/IF: 1:50-1:200
Reactivity
Human, Mouse, Rat
Immunogen
A synthetic peptide corresponding to a sequence within amino acids 200-300 of human ERK1/ERK2 (NP_620407.1/NP_002737.2).
Sequence
LNSKGYTKSIDIWSVGCILAEMLSNRPIFPGKHYLDQLNHILGILGSPSQEDLNCIINLKARNYLLSLPHKNKVPWNRLFPNADSKALDLLDKMLTFNPHK
Host
Rabbit
Clonality
Polyclonal
Isotype
IgG
Conjugate

Unconjugated

Purification
Affinity purification.
Concentration
Lot Specific
Molecular Weight
42 kDa / 44 kDa
Product Form
Liquid
Formulation
Supplied in Phosphate Buffered Saline, pH 7.3, with 50% Glycerol and 0.05% Proclin 300.
Storage
Shipped at 4°C. Upon delivery aliquot and store at -20°C. Avoid freeze/thaw cycles.
Synonyms
ERK 1, ERK 2, ERK-2, ERK1, erk1/2, ERK2, ERT1, ERT2, Extracellular signal regulated kinase 1, Extracellular signal-regulated kinase 2, MAP kinase 1, MAP kinase 2, MAP kinase isoform p42, MAP kinase isoform p44, MAPK 1, MAPK 2, MAPK 3, Mapk1, MAPK2, MAPK3, Mitogen-activated protein kinase 1, Mitogen-activated protein kinase 2, MK01_HUMAN, p38, p40, p41, p42-MAPK, PRKM 2
Disclaimer
This product is for research use only. It is not intended for diagnostic or therapeutic use.
Publishing research using Anti-ERK1 + ERK2 Antibody (A87643)? Please let us know so that we can list the citation on this page.

Alternative products to Anti-ERK1 + ERK2 Antibody (A87643)