ISO 9001:2015 Certified
Live Customer Support
4.5/5 on Trustpilot
100% Quality Guarantee

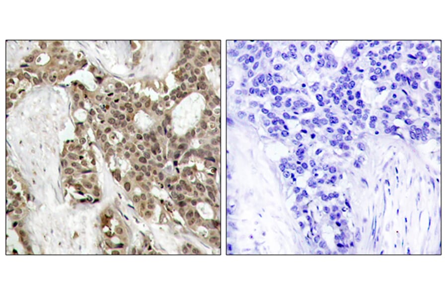
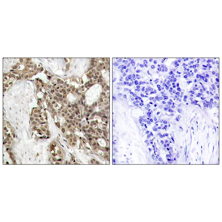
Anti-p44/42 MAP Kinase (phospho Tyr204) Antibody (A93725)

Rabbit polyclonal antibody to p44/42 MAP Kinase (phospho Tyr204) for WB, IHC, IF and ELISA.

Shipping Information

$40
Dispatched from St. Louis, MO.
Lead Time: 6-8 business days.
Name
Anti-p44/42 MAP Kinase (phospho Tyr204) Antibody
Description
Rabbit polyclonal antibody to p44/42 MAP Kinase (phospho Tyr204).
Specificity
This antibody detects endogenous levels of p44/42 MAP Kinase only when phosphorylated at Tyr204.
Applications
WB, IHC, IF, ELISA
Dilutions
WB: 1:500~1:1000, IHC: 1:50~1:100, ELISA: 1:20000
Reactivity
Human, Mouse, Rat
Cross Reactivity
No reported cross-reactivity.
Immunogen
Synthetic peptide derived from human p44/42 MAP Kinase around the phosphorylation site of Tyr204 (amino acids 170-219).
Host
Rabbit
Clonality
Polyclonal
Isotype
IgG
Conjugate

Unconjugated

Purification
Purified from rabbit serum by antigen affinity chromatography using the immunizing phospho peptide.
Molecular Weight
43kDa
Product Form
Liquid
Formulation
Supplied in Phosphate Buffered Saline (without Mg2+ and Ca2+), pH 7.4, with 150mM NaCl, 0.02% Sodium Azide, and 50% Glycerol.
Storage
Shipped at 4°C. Upon delivery aliquot and store at -20°C. Avoid freeze / thaw cycles.
Synonyms
ERK 1, ERK 2, ERK-2, ERK1, erk1/2, ERK2, ERT1, ERT2, Extracellular signal regulated kinase 1, Extracellular signal-regulated kinase 2, MAP kinase 1, MAP kinase 2, MAP kinase isoform p42, MAP kinase isoform p44, MAPK 1, MAPK 2, MAPK 3, Mapk1, MAPK2, MAPK3, Mitogen-activated protein kinase 1, Mitogen-activated protein kinase 2, MK01_HUMAN, p38, p40, p41, p42-MAPK, PRKM 2
Disclaimer
This product is for research use only. It is not intended for diagnostic or therapeutic use.
Publishing research using Anti-p44/42 MAP Kinase (phospho Tyr204) Antibody (A93725)? Please let us know so that we can list the citation on this page.

Alternative products to Anti-p44/42 MAP Kinase (phospho Tyr204) Antibody (A93725)