ISO 9001:2015 Certified
Live Customer Support
4.5/5 on Trustpilot
100% Quality Guarantee

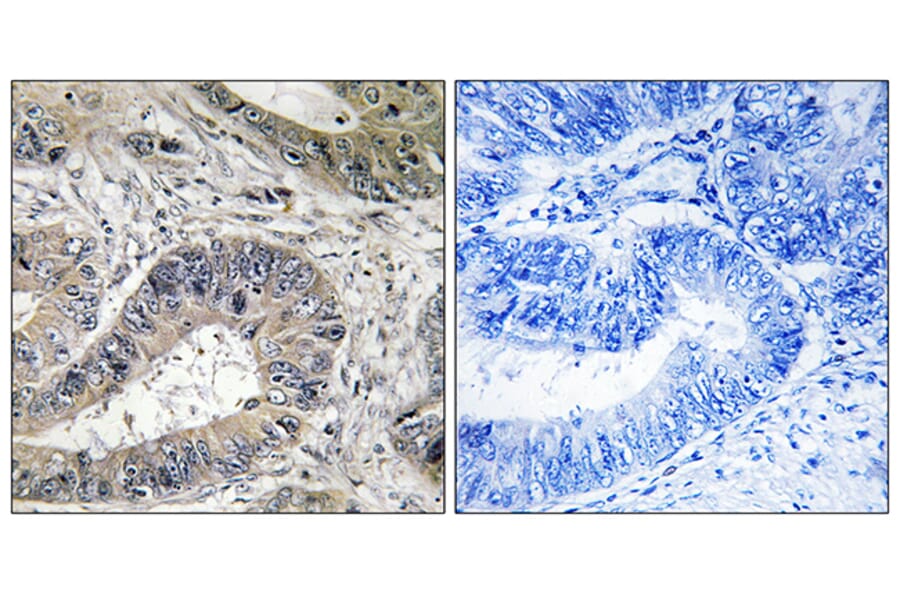
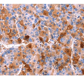
Anti-ERN2 Antibody (A98163)

Rabbit polyclonal antibody to ERN2 for IHC, IF and ELISA.

Shipping Information

$40
Dispatched from St. Louis, MO.
Lead Time: 6-8 business days.
Name
Anti-ERN2 Antibody
Description
Rabbit polyclonal antibody to ERN2.
Applications
IHC, IF, ELISA
Dilutions
IHC: 1:50~1:100, IF: 1:100~1:500, ELISA: 1:10000
Reactivity
Human, Mouse
Cross Reactivity
No reported cross-reactivity.
Immunogen
Synthetic peptide derived from human ERN2 (amino acids 841-890).
Host
Rabbit
Clonality
Polyclonal
Isotype
IgG
Conjugate

Unconjugated

Purification
Purified from rabbit serum by antigen affinity chromatography using the immunizing peptide.
Molecular Weight
102kDa
Product Form
Liquid
Formulation
Supplied in Phosphate Buffered Saline (without Mg2+ and Ca2+), pH 7.4, with 150mM NaCl, 0.02% Sodium Azide, and 50% Glycerol.
Storage
Shipped at 4°C. Upon delivery aliquot and store at -20°C. Avoid freeze / thaw cycles.
Synonyms
Endoplasmic reticulum-to-nucleus signaling 2, hIRE2p, Inositol-requiring protein 2, Ire1-beta, IRE1b, IRE2, Serine/threonine-protein kinase/endoribonuclease IRE2
Disclaimer
This product is for research use only. It is not intended for diagnostic or therapeutic use.
Publishing research using Anti-ERN2 Antibody (A98163)? Please let us know so that we can list the citation on this page.

Alternative products to Anti-ERN2 Antibody (A98163)

Proteins predicted to interact with ERN2

Predicted protein interactions based upon String database. Revelancy score correlates with probability of interaction.
88.8% Relevancy Score
86.5% Relevancy Score
83.1% Relevancy Score
74.5% Relevancy Score
72.7% Relevancy Score
65.1% Relevancy Score
62% Relevancy Score
57.9% Relevancy Score
57.1% Relevancy Score