ISO 9001:2015 Certified
Live Customer Support
4.5/5 on Trustpilot
100% Quality Guarantee

Recombinant Anti-Estrogen Receptor alpha Antibody [ESR1/4039R] - BSA and Azide free (A278564)

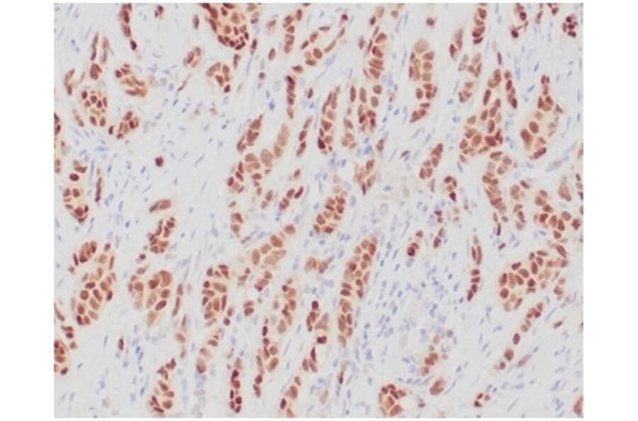
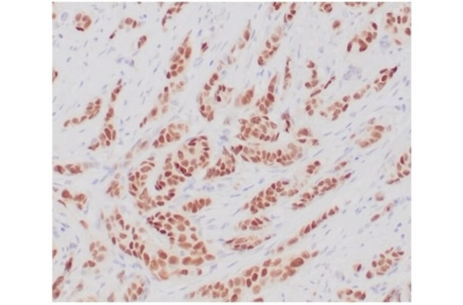
Recombinant rabbit monoclonal [ESR1/4039R] antibody to Estrogen Receptor alpha for IHC-P.

Alternative Formats and ConjugatesAlternative Formats

Shipping Information

$40
Dispatched from St. Louis, MO.
Lead Time: 5-8 business days.
Name
Anti-Estrogen Receptor alpha Antibody [ESR1/4039R] - BSA and Azide free
Description
Recombinant rabbit monoclonal [ESR1/4039R] antibody to Estrogen Receptor alpha.
Specificity
This antibody recognizes a protein of 67kDa, which is identified as estrogen receptor (ER) alpha. The ER gene consists of more than 140kb of genomic DNA divided into 8 exons, being translated into a protein with six functionally discrete domains, labeled A through F. This antibody strongly stains the nucleus of epithelial cells in breast carcinomas. The ER is an important regulator of growth and differentiation in the mammary gland. Presence of ER in breast tumors indicates an increased likelihood of response to antiestrogen (e.g. tamoxifen) therapy.
Applications
IHC-P
Dilutions
IHC-P: 1-2 µg/ml
Reactivity
Human
Immunogen
Recombinant fragment corresponding to the C terminus of human Estrogen Receptor alpha.
Host
Rabbit
Clonality
Monoclonal
Clone ID
ESR1/4039R
Isotype
IgG
Light Chains
kappa
Conjugate

Unconjugated

Purification
Protein A/G chromatography.
Concentration
1 mg/ml
Molecular Weight
~67 kDa
Product Form
Liquid
Formulation
Supplied in 10mM Phosphate Buffered Saline; without Sodium Azide and carrier free.
Storage
Shipped at 4°C. Upon delivery aliquot and store at -20°C. Avoid freeze / thaw cycles.
General Notes
This monoclonal antibody is also available in a different formulation with BSA and Sodium Azide - Anti-Estrogen Receptor alpha Antibody [ESR1/4039R] (A277976).
Synonyms
ER, ER-alpha, ESR, ESR1, Estradiol receptor, Estrogen receptor, NR3A1, Nuclear receptor subfamily 3 group A member 1
Disclaimer
This product is for research use only. It is not intended for diagnostic or therapeutic use.
Publishing research using Recombinant Anti-Estrogen Receptor alpha Antibody [ESR1/4039R] - BSA and Azide free (A278564)? Please let us know so that we can list the citation on this page.

Alternative products to Anti-Estrogen Receptor alpha Antibody [ESR1/4039R] - BSA and Azide free (A278564)

Proteins predicted to interact with Estrogen Receptor alpha

Predicted protein interactions based upon String database. Revelancy score correlates with probability of interaction.
99.9% Relevancy Score
99.9% Relevancy Score
99.9% Relevancy Score
99.9% Relevancy Score
99.9% Relevancy Score
99.9% Relevancy Score
99.9% Relevancy Score
99.9% Relevancy Score
99.9% Relevancy Score