ISO 9001:2015 Certified
Live Customer Support
4.5/5 on Trustpilot
100% Quality Guarantee

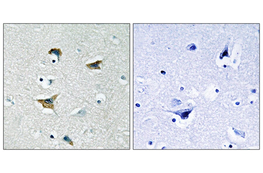
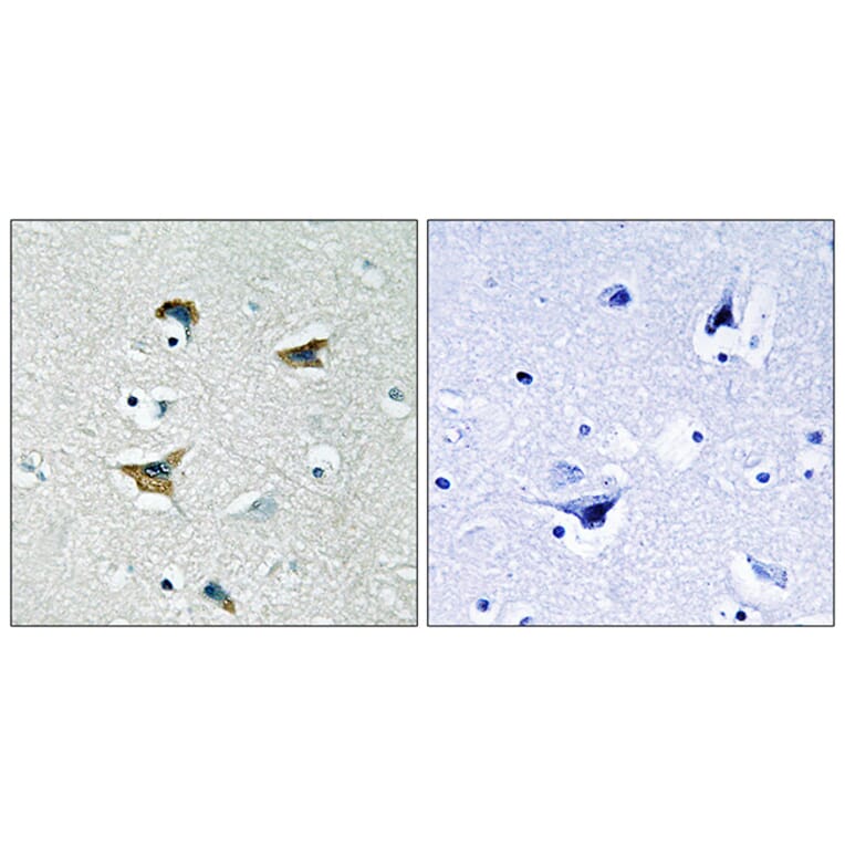
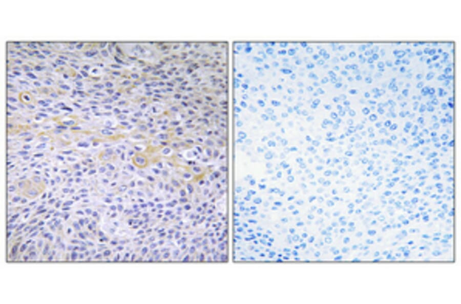
Anti-FAK Antibody (A95486)

Rabbit polyclonal antibody to FAK for WB,IHC-p,IF/ICC and ELISA.

Shipping Information

$40
Dispatched from St. Louis, MO.
Lead Time: 6-8 business days.
Name
Anti-FAK Antibody
Description
Rabbit polyclonal antibody to FAK.
Applications
WB,IHC-p,IF/ICC,ELISA
Dilutions
WB: 1:500~1:1000, IHC: 1:50~1:100, IF: 1:100~1:500, ELISA: 1:10000
Reactivity
Human,Mouse,Rat
Cross Reactivity
No reported cross-reactivity.
Immunogen
Synthetic peptide derived from human FAK (amino acids 363-412).
Host
Rabbit
Clonality
Polyclonal
Isotype
IgG
Conjugate

Unconjugated

Purification
Purified from rabbit serum by antigen affinity chromatography using the immunizing peptide.
Molecular Weight
119kDa
Product Form
Liquid
Formulation
Supplied in Phosphate Buffered Saline (without Mg2+ and Ca2+), pH 7.4, with 150mM NaCl, 0.02% Sodium Azide, and 50% Glycerol.
Storage
Shipped at 4°C. Upon delivery aliquot and store at -20°C. Avoid freeze / thaw cycles.
Synonyms
FADK 1, FAK1, Focal adhesion kinase 1, Focal adhesion kinase-related nonkinase, FRNK, p125FAK, pp125FAK, PPP1R71, Protein phosphatase 1 regulatory subunit 71, Protein-tyrosine kinase 2, PTK2
Disclaimer
This product is for research use only. It is not intended for diagnostic or therapeutic use.
Publishing research using Anti-FAK Antibody (A95486)? Please let us know so that we can list the citation on this page.

Alternative products to Anti-FAK Antibody (A95486)

Proteins predicted to interact with FAK

Predicted protein interactions based upon String database. Revelancy score correlates with probability of interaction.
99.9% Relevancy Score
99.9% Relevancy Score
99.9% Relevancy Score
99.9% Relevancy Score
99.9% Relevancy Score
99.9% Relevancy Score
99.9% Relevancy Score
99.9% Relevancy Score
99.8% Relevancy Score