Primary Antibodies
Secondary Antibodies
Proteins & Peptides
ELISA Kits
About Us
Contact Us
Sign In/Register
0
ISO 9001:2015 Certified
Live Customer Support
4.5/5 on Trustpilot
100% Quality Guarantee
Home
Primary Antibodies
Fas Antibodies
Anti-FAS Antibody (A39052)
Anti-FAS Antibody (A39052)
Overview
Specifications
Images
Enlarge Image
Enlarge Image
Enlarge Image
Enlarge Image
$415
Rabbit polyclonal antibody to FAS for WB and IHC.
100% Guarantee
Price Match Guarantee
Product Size:
50µl
100µl
Quantity:
1
2
3
4
5
6
7
8
9
10
Add To Cart
Request a Quotation
Custom or Bulk Request
Shipping Information
Freight/Packing Charges:
$40
Dispatched from St. Louis, MO.
Lead Time: 6-9 business days.
Tags:
B Cell Marker
Memory B Cell Marker
Memory T Cell Marker
Plasma Membrane Marker
Specifications
Name
Anti-FAS Antibody
Description
Rabbit polyclonal antibody to FAS
Specificity
The antibody detects endogenous level of total FAS protein.
Applications
WB
,
IHC
Reactivity
Human
Immunogen
Recombinant protein of human FAS.
Host
Rabbit
Clonality
Polyclonal
Conjugate
Unconjugated
Purification
Antibodies were purified by affinity purification using immunogen.
Concentration
1 mg/ml
Formulation
Supplied at 1.0mg / mL in phosphate buffered saline (without Mg2+ and Ca2+), pH 7.4, 150mM NaCl, 0.02% sodium azide and 50% glycerol.
Storage
Store at -20˚C
Synonyms
Apo-1 antigen, Apoptosis-mediating surface antigen FAS, APT1, CD95, FAS1, FASLG receptor, TNFRSF6, Tumor necrosis factor receptor superfamily member 6
Suitable Secondaries
Goat Anti-Rabbit IgG H&L Antibody (AP) (A294874)
Goat Anti-Rabbit IgG H&L Antibody (Biotin) (A294795)
Goat Anti-Rabbit IgG H&L Antibody (FITC) (A294887)
Goat Anti-Rabbit IgG H&L Antibody (HRP) (A294888)
See all Anti-Rabbit IgG Secondaries →
Disclaimer
This product is for research use only. It is not intended for diagnostic or therapeutic use.
Scientific Validation Data
Validation Data
(4)
Enlarge Image
Anti-FAS Antibody (A39052)
Western blot analysis of extracts of SW480 cell lines, using FAS antibody.
Enlarge Image
Immunohistochemistry - Anti-FAS Antibody (A39052)
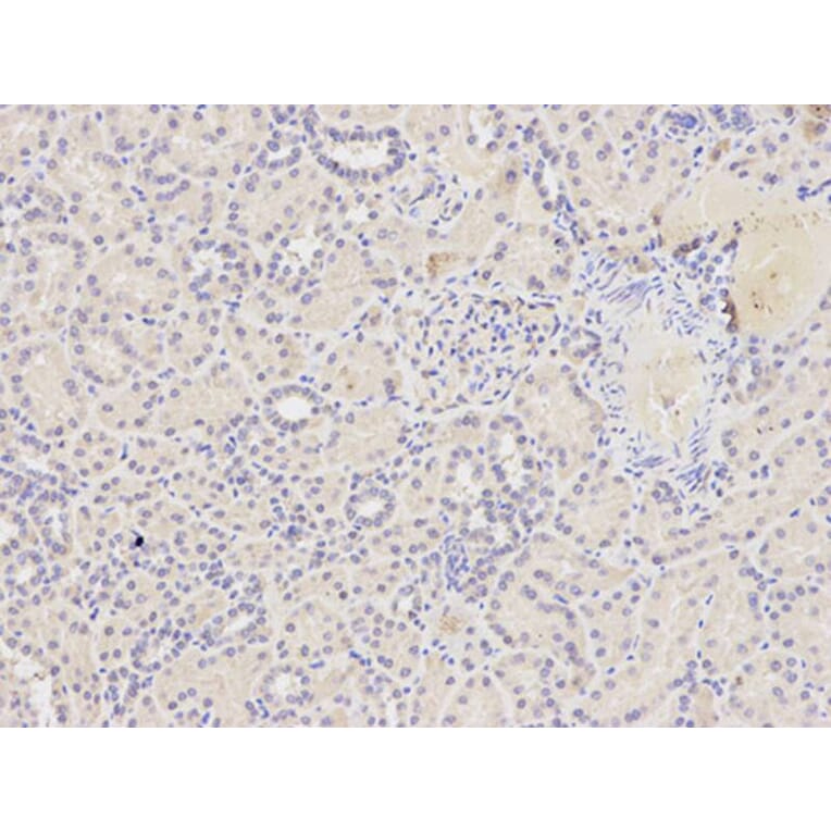
Immunohistochemical analysis of paraffin-embedded human kidney using FAS antibody at dilution of 1: 400 (200x lens).
Enlarge Image
Immunohistochemistry - Anti-FAS Antibody (A39052)
Immunohistochemical analysis of paraffin-embedded rat spleen using FAS antibody at dilution of 1: 400 (200x lens).
Enlarge Image
Immunohistochemistry - Anti-FAS Antibody (A39052)
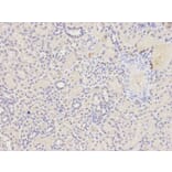
Immunohistochemical analysis of paraffin-embedded mouse kidney using FAS antibody at dilution of 1: 400 (200x lens).
Publishing research using Anti-FAS Antibody (A39052)? Please
let us know
so that we can list the citation on this page.
Alternative products to Anti-FAS Antibody (A39052)
(7)
A100249
Anti-FAS Antibody
Rabbit polyclonal antibody to FAS for WB, IF and ELISA.
(2)
A305713
Anti-Fas Antibody [ARC0061]
Rabbit monoclonal [ARC0061] antibody to Fas for WB and IHC.
(3)
A25486
Anti-CD95 (L315) Antibody
Rabbit polyclonal antibody to CD95 (L315) for WB and IHC.
(4)
A249020
Anti-Fas Antibody [FAS/3112]
Mouse monoclonal [FAS/3112] antibody to Fas for ELISA and IHC-P.
(2)
A100054
Anti-FAS Antibody
Rabbit polyclonal antibody to FAS for WB, IHC and ELISA.
(4)
A252200
Anti-Fas Antibody [FAS/3112] - BSA and Azide free
Mouse monoclonal [FAS/3112] antibody to Fas for ELISA and IHC-P.
(3)
A82554
Anti-Fas Antibody
Goat polyclonal antibody to Fas for ELISA, WB and IHC.
(2)
A36002
Anti-CD95 Antibody
Rabbit polyclonal antibody to CD95 for WB, IHC and ELISA.
A249019
Anti-Fas Antibody [B-R18]
Mouse monoclonal [B-R18] antibody to Fas for Functional Studies, Flow Cytometry, IF and IHC-Fr.
A252199
Anti-Fas Antibody [B-R18] - BSA and Azide free
Mouse monoclonal [B-R18] antibody to Fas for Functional Studies, Flow Cytometry, IF and IHC-Fr.
A25757
Anti-CD95/FAS (K287) Antibody
Rabbit polyclonal antibody to CD95/FAS (K287) for WB.
(2)
A36130
Anti-Tumor necrosis factor receptor superfamily member 6 Antibody
Rabbit polyclonal antibody to Tumor necrosis factor receptor superfamily member 6 for WB and IHC.
(7)
A100249
Anti-FAS Antibody
Rabbit polyclonal antibody to FAS for WB, IF and ELISA.
(2)
A305713
Anti-Fas Antibody [ARC0061]
Rabbit monoclonal [ARC0061] antibody to Fas for WB and IHC.
(3)
A25486
Anti-CD95 (L315) Antibody
Rabbit polyclonal antibody to CD95 (L315) for WB and IHC.
(4)
A249020
Anti-Fas Antibody [FAS/3112]
Mouse monoclonal [FAS/3112] antibody to Fas for ELISA and IHC-P.
(2)
A100054
Anti-FAS Antibody
Rabbit polyclonal antibody to FAS for WB, IHC and ELISA.
(4)
A252200
Anti-Fas Antibody [FAS/3112] - BSA and Azide free
Mouse monoclonal [FAS/3112] antibody to Fas for ELISA and IHC-P.
(3)
A82554
Anti-Fas Antibody
Goat polyclonal antibody to Fas for ELISA, WB and IHC.
(2)
A36002
Anti-CD95 Antibody
Rabbit polyclonal antibody to CD95 for WB, IHC and ELISA.
A249019
Anti-Fas Antibody [B-R18]
Mouse monoclonal [B-R18] antibody to Fas for Functional Studies, Flow Cytometry, IF and IHC-Fr.
A252199
Anti-Fas Antibody [B-R18] - BSA and Azide free
Mouse monoclonal [B-R18] antibody to Fas for Functional Studies, Flow Cytometry, IF and IHC-Fr.
A25757
Anti-CD95/FAS (K287) Antibody
Rabbit polyclonal antibody to CD95/FAS (K287) for WB.
(2)
A36130
Anti-Tumor necrosis factor receptor superfamily member 6 Antibody
Rabbit polyclonal antibody to Tumor necrosis factor receptor superfamily member 6 for WB and IHC.
See all FAS Antibodies
Proteins predicted to interact with Fas
Predicted protein interactions based upon String database. Revelancy score correlates with probability of interaction.
Caspase-8 Antibodies
99.9% Relevancy Score
Daxx Antibodies
99.9% Relevancy Score
Fas Ligand Antibodies
99.9% Relevancy Score
TNFR1 Antibodies
99.9% Relevancy Score
FADD Antibodies
99.9% Relevancy Score
TNF alpha Antibodies
99.7% Relevancy Score
FLIP Antibodies
99.7% Relevancy Score
Caspase-10 Antibodies
99.6% Relevancy Score
TRAIL Antibodies
99.6% Relevancy Score
Top