ISO 9001:2015 Certified
Live Customer Support
4.5/5 on Trustpilot
100% Quality Guarantee

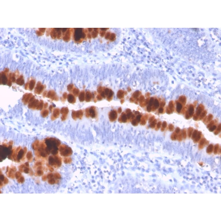
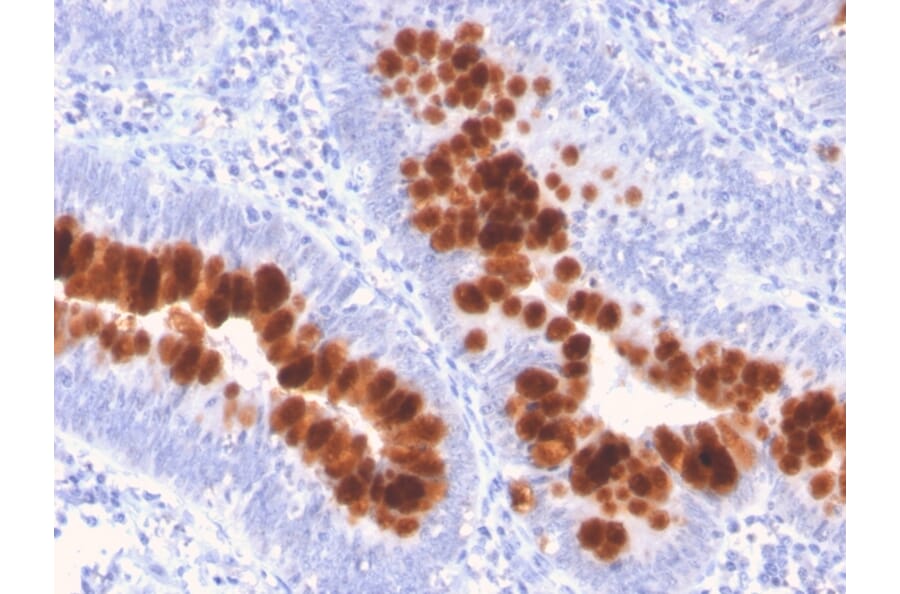
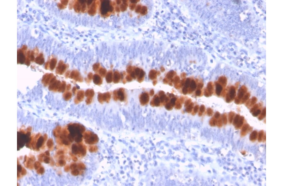
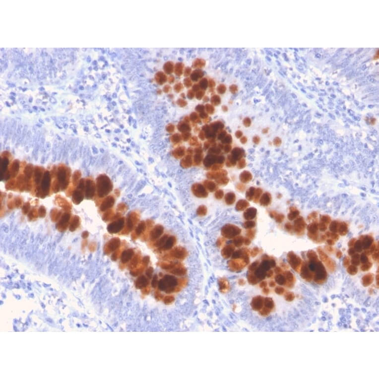
Anti-Fas Antibody [FAS/3112] - BSA and Azide free (A252200)

Mouse monoclonal [FAS/3112] antibody to Fas for ELISA and IHC-P.

Alternative Formats and ConjugatesAlternative Formats

Shipping Information

$40
Dispatched from St. Louis, MO.
Lead Time: 5-8 business days.
Name
Anti-Fas Antibody [FAS/3112] - BSA and Azide free
Description
Mouse monoclonal [FAS/3112] antibody to Fas.
Specificity
This antibody specifically recognizes CD95, also known as Fas, a transmembrane glycoprotein with a MW of 40-45kDa, containing 8kDa of N-glycoside-linked polysaccharide. It is a receptor for TNFSF6/FASLG, a member of the nerve growth factor receptor/tumor necrosis factor superfamily, mediating receptor-triggered apoptosis. The adapter molecule FADD recruits caspase-8 to the activated receptor. The resulting death-inducing signaling complex (DISC) performs caspase-8 proteolytic activation, which initiates the subsequent cascade of caspases (aspartate-specific cysteine proteases) mediating apoptosis. FAS-mediated apoptosis may have a role in the induction of peripheral tolerance, in the antigen-stimulated suicide of mature T-cells, or both. The secreted isoforms 2 to 6 block apoptosis (in vitro). CD95 antigen is expressed on the surface of various cell types, preferentially on the CD45RAlow CD45ROhigh subset of memory T lymphocytes.
Applications
ELISA, IHC-P
Dilutions
IHC-P: 1-2 µg/ml
Reactivity
Human
Immunogen
Recombinant fragment, around amino acids 26-96, of human CD95 protein. The exact sequence is proprietary.
Host
Mouse
Clonality
Monoclonal
Clone ID
FAS/3112
Isotype
IgG2b
Light Chains
kappa
Conjugate

Unconjugated

Purification
Protein A/G chromatography.
Concentration
1 mg/ml
Molecular Weight
38-50 kDa
Product Form
Liquid
Formulation
Supplied in 10mM Phosphate Buffered Saline; without Sodium Azide and carrier free.
Storage
Shipped at 4°C. Upon delivery aliquot and store at -20°C. Avoid freeze / thaw cycles.
General Notes
This monoclonal antibody is also available in a different formulation with BSA and Sodium Azide - Anti-Fas Antibody [FAS/3112] (A249020).
Synonyms
Apo-1 antigen, Apoptosis-mediating surface antigen FAS, APT1, CD95, FAS1, FASLG receptor, TNFRSF6, Tumor necrosis factor receptor superfamily member 6
Disclaimer
This product is for research use only. It is not intended for diagnostic or therapeutic use.
Publishing research using Anti-Fas Antibody [FAS/3112] - BSA and Azide free (A252200)? Please let us know so that we can list the citation on this page.

Alternative products to Anti-Fas Antibody [FAS/3112] - BSA and Azide free (A252200)

Proteins predicted to interact with Fas

Predicted protein interactions based upon String database. Revelancy score correlates with probability of interaction.
99.9% Relevancy Score
99.9% Relevancy Score
99.9% Relevancy Score
99.9% Relevancy Score
99.9% Relevancy Score
99.7% Relevancy Score
99.7% Relevancy Score
99.6% Relevancy Score
99.6% Relevancy Score