Western Blot - Anti-Fast Myosin Skeletal Heavy chain Antibody (A15435)
Western blot analysis of extracts of various cell lines, using Anti-Fast Myosin Skeletal Heavy chain Antibody (A15435) at 1:400 dilution. The secondary antibody was Goat Anti-Rabbit IgG H&L Antibody (HRP) at 1:10,000 dilution. Lysates/proteins were present at 25µg per lane. The blocking buffer used was 3% non-fat dry milk in TBST. Detection was with a ECL Basic Kit. Exposure time: 30s.
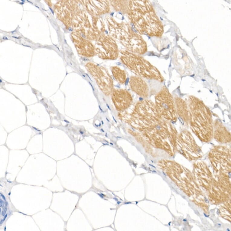
Immunohistochemistry - Anti-Fast Myosin Skeletal Heavy chain Antibody (A15435)
Immunohistochemistry analysis of paraffin-embedded human skeletal muscle using Anti-Fast Myosin Skeletal Heavy chain Antibody (A15435) at a dilution of 1:50 (40x lens). Perform high pressure antigen retrieval with 10 mM citrate buffer pH 6.0 before commencing with IHC staining protocol.
Immunofluorescence - Anti-Fast Myosin Skeletal Heavy chain Antibody (A15435)
Immunofluorescence analysis of human heart cells using Anti-Fast Myosin Skeletal Heavy chain Antibody (A15435) at a dilution of 1:100 (40x lens). DAPI was used to stain the cell nuclei (blue).
Immunofluorescence - Anti-Fast Myosin Skeletal Heavy chain Antibody (A15435)
Immunofluorescence analysis of mouse heart cells using Anti-Fast Myosin Skeletal Heavy chain Antibody (A15435) at a dilution of 1:100 (40x lens). DAPI was used to stain the cell nuclei (blue).
Immunofluorescence - Anti-Fast Myosin Skeletal Heavy chain Antibody (A15435)
Immunofluorescence analysis of rat heart cells using Anti-Fast Myosin Skeletal Heavy chain Antibody (A15435) at a dilution of 1:100 (40x lens). DAPI was used to stain the cell nuclei (blue).