Primary Antibodies
Secondary Antibodies
Proteins & Peptides
ELISA Kits
About Us
Contact Us
Sign In/Register
0
ISO 9001:2015 Certified
Live Customer Support
4.5/5 on Trustpilot
100% Quality Guarantee
Home
Primary Antibodies
FABP3 Antibodies
Anti-Fatty acid-binding protein, heart Antibody (A36341)
Anti-Fatty acid-binding protein, heart Antibody (A36341)
Overview
Specifications
Images
Enlarge Image
Enlarge Image
$430
Rabbit polyclonal antibody to Fatty acid-binding protein, heart for WB and IHC.
100% Guarantee
Price Match Guarantee
Product Size:
100µg
Quantity:
1
2
3
4
5
6
7
8
9
10
Add To Cart
Request a Quotation
Custom or Bulk Request
Shipping Information
Freight/Packing Charges:
$40
Dispatched from St. Louis, MO.
Lead Time: 6-9 business days.
Tags:
Cardiomyocyte Marker
Specifications
Name
Anti-Fatty acid-binding protein, heart Antibody
Description
Rabbit polyclonal antibody to Fatty acid-binding protein, heart
Specificity
The antibody detects endogenous level of total Fatty acid-binding protein, heart polyclonal antibody.
Applications
WB
,
IHC
Reactivity
Human
Immunogen
Recombinant human Fatty acid-binding protein, heart protein
Host
Rabbit
Clonality
Polyclonal
Conjugate
Unconjugated
Purification
Caprylic Acid Ammonium Sulfate Precipitation purified
Concentration
1.0mg / mL
Formulation
Preservative: 0.03% Proclin 300 Constituents: 50% Glycerol, 0.01M PBS, PH 7.4
Storage
Store at -20˚C
Synonyms
FABP11, Fatty acid-binding protein 3, H-FABP, Heart-type fatty acid-binding protein, M-FABP, Mammary-derived growth inhibitor, MDGI, Muscle fatty acid-binding protein
Suitable Secondaries
Goat Anti-Rabbit IgG H&L Antibody (AP) (A294874)
Goat Anti-Rabbit IgG H&L Antibody (Biotin) (A294795)
Goat Anti-Rabbit IgG H&L Antibody (FITC) (A294887)
Goat Anti-Rabbit IgG H&L Antibody (HRP) (A294888)
See all Anti-Rabbit IgG Secondaries →
Disclaimer
This product is for research use only. It is not intended for diagnostic or therapeutic use.
Scientific Validation Data
Validation Data
(2)
Enlarge Image
Anti-Fatty acid-binding protein, heart Antibody (A36341)
All lanes: FABP3 Antibody at dilution of 1: 1000Lane 1: Rat heart tissue. Lane 2: Mouse heart tissue. Secondary Goat polyclonal to Rabbit IgG at 1/15000 dilution Predicted band size: 15 kDa Observed band size: 15 kDa
Enlarge Image
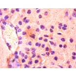
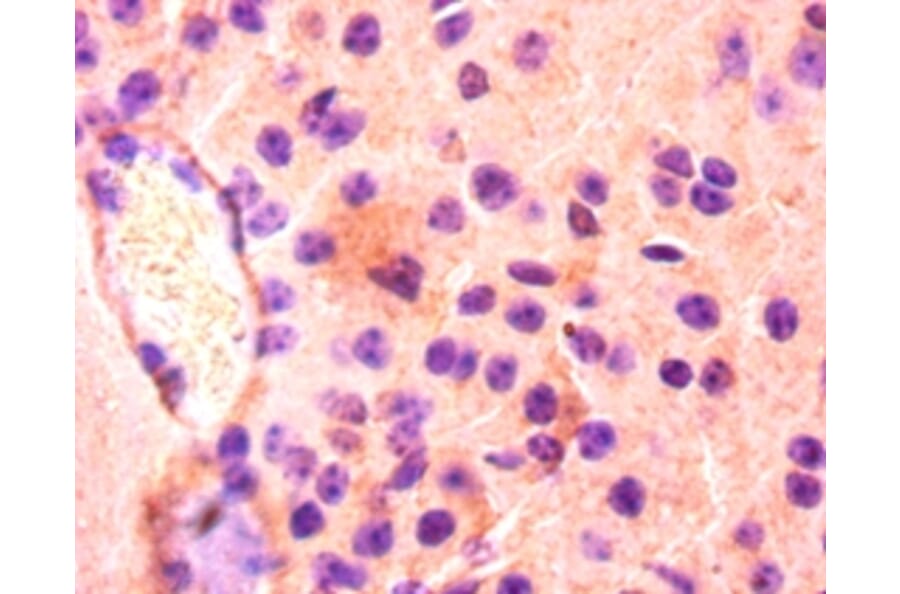
Immunohistochemistry - Anti-Fatty acid-binding protein, heart Antibody (A36341)
Immunohistochemical analysis of paraffin-embedded mouse kidney using #42492 at dilution of 1: 50.
Publishing research using Anti-Fatty acid-binding protein, heart Antibody (A36341)? Please
let us know
so that we can list the citation on this page.
Alternative products to Anti-Fatty acid-binding protein, heart Antibody (A36341)
(3)
A30941
Anti-FABP3 Antibody
Rabbit polyclonal antibody to FABP3 for WB, IHC and IF.
(3)
A35369
Anti-FABP3 Antibody
Rabbit polyclonal antibody to FABP3 for WB, IHC and IF.
(4)
A277593
Anti-H-FABP Antibody [FABP3/3430]
Mouse monoclonal [FABP3/3430] antibody to H-FABP for IHC-P.
(3)
A36321
Anti-FABP3 Antibody
Mouse monoclonal antibody to FABP3 for WB and IHC.
(4)
A278181
Anti-H-FABP Antibody [FABP3/3430] - BSA and Azide free
Mouse monoclonal [FABP3/3430] antibody to H-FABP for IHC-P.
(2)
A37971
Anti-FABP3 Antibody
Rabbit polyclonal antibody to FABP3 for WB and IHC.
A85112
Anti-H-FABP Antibody
Goat polyclonal antibody to H-FABP for ELISA and WB.
A113578
Anti-H-FABP Antibody [PAT9F10AT]
Mouse monoclonal [PAT9F10AT] antibody to H-FABP for ELISA and WB.
A315079
Anti-H-FABP Antibody [FABP3/8535R]
Recombinant rabbit monoclonal [FABP3/8535R] antibody to H-FABP for IHC-P.
A315078
Anti-H-FABP Antibody [rFABP3/8534]
Recombinant mouse monoclonal [rFABP3/8534] antibody to H-FABP for IHC-P.
A316461
Anti-H-FABP Antibody [FABP3/8443] - BSA and Azide free
Mouse monoclonal [FABP3/8443] antibody to H-FABP for IHC-P.
A316465
Anti-H-FABP Antibody [FABP3/8440] - BSA and Azide free
Mouse monoclonal [FABP3/8440] antibody to H-FABP for IHC-P.
(3)
A30941
Anti-FABP3 Antibody
Rabbit polyclonal antibody to FABP3 for WB, IHC and IF.
(3)
A35369
Anti-FABP3 Antibody
Rabbit polyclonal antibody to FABP3 for WB, IHC and IF.
(4)
A277593
Anti-H-FABP Antibody [FABP3/3430]
Mouse monoclonal [FABP3/3430] antibody to H-FABP for IHC-P.
(3)
A36321
Anti-FABP3 Antibody
Mouse monoclonal antibody to FABP3 for WB and IHC.
(4)
A278181
Anti-H-FABP Antibody [FABP3/3430] - BSA and Azide free
Mouse monoclonal [FABP3/3430] antibody to H-FABP for IHC-P.
(2)
A37971
Anti-FABP3 Antibody
Rabbit polyclonal antibody to FABP3 for WB and IHC.
A85112
Anti-H-FABP Antibody
Goat polyclonal antibody to H-FABP for ELISA and WB.
A113578
Anti-H-FABP Antibody [PAT9F10AT]
Mouse monoclonal [PAT9F10AT] antibody to H-FABP for ELISA and WB.
A315079
Anti-H-FABP Antibody [FABP3/8535R]
Recombinant rabbit monoclonal [FABP3/8535R] antibody to H-FABP for IHC-P.
A315078
Anti-H-FABP Antibody [rFABP3/8534]
Recombinant mouse monoclonal [rFABP3/8534] antibody to H-FABP for IHC-P.
A316461
Anti-H-FABP Antibody [FABP3/8443] - BSA and Azide free
Mouse monoclonal [FABP3/8443] antibody to H-FABP for IHC-P.
A316465
Anti-H-FABP Antibody [FABP3/8440] - BSA and Azide free
Mouse monoclonal [FABP3/8440] antibody to H-FABP for IHC-P.
See all Fatty acid-binding protein, heart Antibodies
Proteins predicted to interact with FABP3
Predicted protein interactions based upon String database. Revelancy score correlates with probability of interaction.
GOT2 Antibodies
94.9% Relevancy Score
FABP1 Antibodies
92.9% Relevancy Score
FAAH1 Antibodies
82.6% Relevancy Score
CD36 Antibodies
78.6% Relevancy Score
LIMPII Antibodies
75.8% Relevancy Score
HSL Antibodies
75.7% Relevancy Score
SR-BI Antibodies
75.1% Relevancy Score
Cardiac Troponin I Antibodies
70.8% Relevancy Score
Myoglobin Antibodies
70.3% Relevancy Score
Top