ISO 9001:2015 Certified
Live Customer Support
4.5/5 on Trustpilot
100% Quality Guarantee

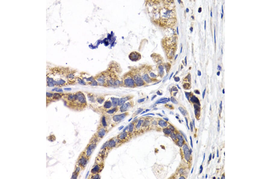
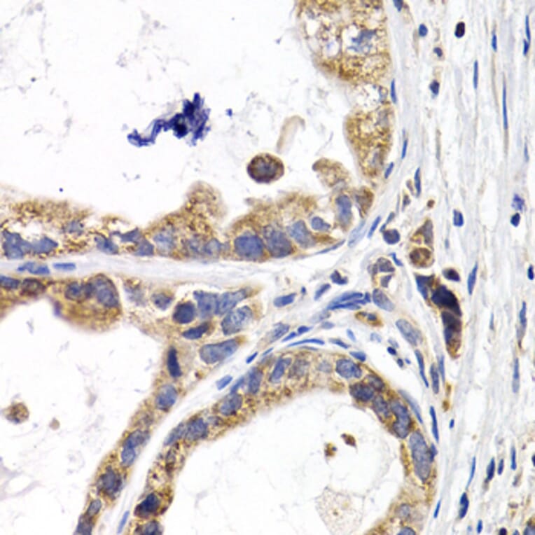
Anti-H-FABP Antibody (A14659)

Rabbit polyclonal antibody to H-FABP for WB, IHC and ICC/IF.

Shipping Information

$40
Dispatched from St. Louis, MO.
Lead Time: 7-10 business days.
Name
Anti-H-FABP Antibody
Description
Rabbit polyclonal antibody to H-FABP.
Applications
WB, IHC, ICC/IF
Dilutions
WB: 1:500-1:1,000, IHC: 1:50-1:200, ICC/IF: 1:50-1:200
Reactivity
Human, Mouse
Immunogen
Recombinant fusion protein containing a sequence corresponding to amino acids 1-133 of human FABP3 (NP_004093.1).
Sequence
MVDAFLGTWKLVDSKNFDDYMKSLGVGFATRQVASMTKPTTIIEKNGDILTLKTHSTFKNTEISFKLGVEFDETTADDRKVKSIVTLDGGKLVHLQKWDGQETTLVRELIDGKLILTLTHGTAVCTRTYEKEA
Host
Rabbit
Clonality
Polyclonal
Isotype
IgG
Conjugate

Unconjugated

Purification
Affinity purification.
Concentration
Lot Specific
Molecular Weight
14 kDa
Product Form
Liquid
Formulation
Supplied in Phosphate Buffered Saline, pH 7.3, with 50% Glycerol and 0.02% Sodium Azide.
Storage
Shipped at 4°C. Upon delivery aliquot and store at -20°C. Avoid freeze/thaw cycles.
Synonyms
FABP11, Fatty acid-binding protein 3, Fatty acid-binding protein, heart, Heart-type fatty acid-binding protein, M-FABP, Mammary-derived growth inhibitor, MDGI, Muscle fatty acid-binding protein
Disclaimer
This product is for research use only. It is not intended for diagnostic or therapeutic use.
Publishing research using Anti-H-FABP Antibody (A14659)? Please let us know so that we can list the citation on this page.

Alternative products to Anti-H-FABP Antibody (A14659)

Proteins predicted to interact with FABP3

Predicted protein interactions based upon String database. Revelancy score correlates with probability of interaction.
94.9% Relevancy Score
92.9% Relevancy Score
82.6% Relevancy Score
78.6% Relevancy Score
75.8% Relevancy Score
75.7% Relevancy Score
75.1% Relevancy Score
70.8% Relevancy Score
70.3% Relevancy Score