ISO 9001:2015 Certified
Live Customer Support
4.5/5 on Trustpilot
100% Quality Guarantee

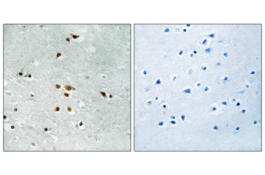
Anti-FER (Phospho-Tyr402) Antibody (A50501)

Rabbit polyclonal antibody to FER (Phospho-Tyr402) for WB and IHC.

Shipping Information

$40
Dispatched from St. Louis, MO.
Lead Time: 6-9 business days.
Name
Anti-FER (Phospho-Tyr402) Antibody
Description
Rabbit polyclonal antibody to FER (Phospho-Tyr402)
Specificity
The antibody detects endogenous levels of FER only when phosphorylated at tyrosine 402.
Applications
WB, IHC
Dilutions
Western blotting: 1:500~1:1000 Immunohistochemistry: 1:50~1:100
Reactivity
Human, Mouse
Immunogen
Peptide sequence around phosphorylation site of tyrosine 402(V-N-Y(p)-E-E) derived from Human FER .
Host
Rabbit
Clonality
Polyclonal
Conjugate

Unconjugated

Purification
Antibodies were produced by immunizing rabbits with synthetic phosphopeptide and KLH conjugates. Antibodies were purified by affinity-chromatography using epitope-specific phosphopeptide. Non-phospho specific antibodies were removed by chromatogramphy using non-phosphopeptide.
Concentration
1.0 mg/mL
Formulation
Supplied in phosphate-buffered saline (without Mg²? and Ca²?), pH 7.4, containing 150 mM NaCl, 0.02% sodium azide, and 50% glycerol.
Storage
Shipped at 4°C. Upon delivery aliquot and store at -20°C. Avoid freeze/thaw cycles.
Synonyms
Feline encephalitis virus-related kinase FER, Fujinami poultry sarcoma/Feline sarcoma-related protein Fer, p94-Fer, Proto-oncogene c-Fer, TYK3, Tyrosine kinase 3, Tyrosine-protein kinase Fer
Disclaimer
This product is for research use only. It is not intended for diagnostic or therapeutic use.
Publishing research using Anti-FER (Phospho-Tyr402) Antibody (A50501)? Please let us know so that we can list the citation on this page.

Alternative products to Anti-FER (Phospho-Tyr402) Antibody (A50501)

Proteins predicted to interact with FER

Predicted protein interactions based upon String database. Revelancy score correlates with probability of interaction.
95.2% Relevancy Score
94.5% Relevancy Score
91.4% Relevancy Score
73.8% Relevancy Score
68.4% Relevancy Score
67.5% Relevancy Score
64.4% Relevancy Score
63.5% Relevancy Score
55.9% Relevancy Score