Discover our range of 33 highly validated ErbB3 antibodies suitable for Western Blot, Immunohistochemistry, Immunofluorescence, ELISA and Flow Cytometry. Including monoclonal, polyclonal and recombinant ErbB3 antibodies reactive with human, mouse and rat samples. Trial size antibodies are also available.
Synonyms: HER3, Proto-oncogene-like protein c-ErbB-3, Receptor tyrosine-protein kinase erbB-3 and Tyrosine kinase-type cell surface receptor HER3
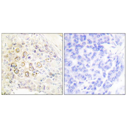
Anti-HER3 Antibody (A95105) | |
10µg - 100µg/$200 – $505 | |
| Description: | Rabbit polyclonal antibody to HER3. |
| Applications: | WB, IHC, IF, ELISA |
| Reactivity: | Human, Human, Human |
| Conjugate: | Unconjugated |
Anti-HER3 (phospho Tyr1222) Antibody (A94911) | |
10µg - 100µg/$200 – $505 | |
| Description: | Rabbit polyclonal antibody to HER3 (phospho Tyr1222). |
| Applications: | WB, IHC, IF, ELISA |
| Reactivity: | Human, Human, Human |
| Conjugate: | Unconjugated |
Anti-Her3 / ErbB3 (phospho-Tyr1328) Antibody (A50139) | |
50µl - 100µl/$290 – $430 | |
| Description: | Rabbit polyclonal antibody to Her3 / ErbB3 (phospho-Tyr1328) |
| Applications: | WB, IHC, IF |
| Reactivity: | Human, Mouse, Rat |
| Conjugate: | Unconjugated |
Lumretuzumab Biosimilar - Anti-ErbB3 Antibody - BSA and Azide free (A338763) | |
100µg - 1mg/$290 – $730 | |
| Description: | Humanized monoclonal antibody to ErbB3. Research grade Lumretuzumab biosimilar. |
| Applications: | ELISA, Flow Cytometry, Functional Studies, in vivo Research |
| Reactivity: | Human |
| Conjugate: | Unconjugated |
Anti-ErbB-3 (Phospho-Tyr1289) Antibody (A50091) | |
50µl - 100µl/$290 – $430 | |
| Description: | Rabbit polyclonal antibody to ErbB-3 (Phospho-Tyr1289) |
| Applications: | WB, IHC, IF, ELISA |
| Reactivity: | Human, Mouse, Rat |
| Conjugate: | Unconjugated |
Nezutatug Biosimilar - Anti-ErbB3 Antibody - BSA and Azide free (A340473) | |
100µg - 1mg/$455 – $1,380 | |
| Description: | Human monoclonal antibody to ErbB3. Research grade Nezutatug biosimilar. |
| Applications: | ELISA, Flow Cytometry, Functional Studies, in vivo Research |
| Reactivity: | Human |
| Conjugate: | Unconjugated |
Duligotuzumab Biosimilar - Anti-ErbB3 Antibody - BSA and Azide free (A338764) | |
100µg - 1mg/$290 – $730 | |
| Description: | Humanized monoclonal antibody to ErbB3. Research grade Duligotuzumab biosimilar. |
| Applications: | ELISA, Flow Cytometry, Functional Studies, in vivo Research |
| Reactivity: | Human |
| Conjugate: | Unconjugated |
Anti-HER3 (phospho Tyr1197) Antibody (A93840) | |
10µg - 100µg/$200 – $505 | |
| Description: | Rabbit polyclonal antibody to HER3 (phospho Tyr1197). |
| Applications: | WB, ELISA |
| Reactivity: | Human, Mouse, Rat |
| Conjugate: | Unconjugated |
Anti-HER3 (phospho Tyr1289) Antibody (A93839) | |
10µg - 100µg/$200 – $505 | |
| Description: | Rabbit polyclonal antibody to HER3 (phospho Tyr1289). |
| Applications: | IF, ELISA |
| Reactivity: | Human, Mouse, Rat |
| Conjugate: | Unconjugated |
Seribantumab Biosimilar - Anti-ErbB3 Antibody - BSA and Azide free (A338766) | |
100µg - 1mg/$290 – $730 | |
| Description: | Human monoclonal antibody to ErbB3. Research grade Seribantumab biosimilar. |
| Applications: | ELISA, Flow Cytometry, Functional Studies, in vivo Research |
| Reactivity: | Human |
| Conjugate: | Unconjugated |
Anti-Her3 / ErbB3 (Ab-1328) Antibody (A36193) | |
50µl - 100µl/$290 – $430 | |
| Description: | Rabbit polyclonal antibody to Her3 / ErbB3 (Ab-1328) |
| Applications: | WB, IHC |
| Reactivity: | Human, Mouse, Rat |
| Conjugate: | Unconjugated |
Anti-HER3 (phospho Tyr1328) Antibody (A93698) | |
10µg - 100µg/$200 – $505 | |
| Description: | Rabbit polyclonal antibody to HER3 (phospho Tyr1328). |
| Applications: | IHC, ELISA |
| Reactivity: | Human, Mouse, Rat |
| Conjugate: | Unconjugated |
Anti-ErbB3 Antibody [MP-RM-1] Biosimilar - BSA and Azide free (A339979) | |
100µg - 1mg/$290 – $730 | |
| Description: | Human monoclonal antibody to ErbB3. Research grade MP-RM-1 biosimilar. |
| Applications: | ELISA, Flow Cytometry, Functional Studies, in vivo Research |
| Reactivity: | Human |
| Conjugate: | Unconjugated |
Patritumab Biosimilar - Anti-ErbB3 Antibody - BSA and Azide free (A338765) | |
100µg - 1mg/$290 – $730 | |
| Description: | Human monoclonal antibody to ErbB3. Research grade Patritumab biosimilar. |
| Applications: | ELISA, Flow Cytometry, Functional Studies, in vivo Research |
| Reactivity: | Human |
| Conjugate: | Unconjugated |
Anti-ErbB-3 Antibody (A35820) | |
50µl - 100µl/$290 – $430 | |
| Description: | Rabbit polyclonal antibody to ErbB-3 |
| Applications: | WB, IHC, ELISA |
| Reactivity: | Human |
| Conjugate: | Unconjugated |
Anti-ErbB-3 (Phospho-Tyr1197) Antibody (A50579) | |
50µl - 100µl/$290 – $430 | |
| Description: | Rabbit polyclonal antibody to ErbB-3 (Phospho-Tyr1197) |
| Applications: | WB, ELISA |
| Reactivity: | Human, Mouse, Rat |
| Conjugate: | Unconjugated |
Barecetamab Biosimilar - Anti-ErbB3 Antibody - BSA and Azide free (A339070) | |
100µg - 1mg/$290 – $730 | |
| Description: | Human monoclonal antibody to ErbB3. Research grade Barecetamab biosimilar. |
| Applications: | ELISA, Flow Cytometry, Functional Studies, in vivo Research |
| Reactivity: | Human |
| Conjugate: | Unconjugated |
Anti-ErbB3 Antibody [GSK284933] Biosimilar - BSA and Azide free (A339978) | |
100µg - 1mg/$455 – $1,380 | |
| Description: | Human monoclonal antibody to ErbB3. Research grade GSK2849330 biosimilar. |
| Applications: | ELISA, Flow Cytometry, Functional Studies, in vivo Research |
| Reactivity: | Human |
| Conjugate: | Unconjugated |
Anti-HER3 Antibody (A99888) | |
10µg - 100µg/$200 – $505 | |
| Description: | Rabbit polyclonal antibody to HER3. |
| Applications: | WB, IHC, ELISA |
| Reactivity: | Human |
| Conjugate: | Unconjugated |
Anti-ErbB3 Antibody [29Z6] Biosimilar - BSA and Azide free (A339977) | |
100µg - 1mg/$455 – $1,380 | |
| Description: | Human monoclonal antibody to ErbB3. Research grade 29Z6 biosimilar. |
| Applications: | ELISA, Flow Cytometry, Functional Studies, in vivo Research |
| Reactivity: | Human |
| Conjugate: | Unconjugated |
Anti-ErbB3 Antibody [SGP1] Biosimilar - BSA and Azide free (A339981) | |
100µg - 1mg/$455 – $1,380 | |
| Description: | Human monoclonal antibody to ErbB3. Research grade SGP1 biosimilar. |
| Applications: | ELISA, Flow Cytometry, Functional Studies, in vivo Research |
| Reactivity: | Human |
| Conjugate: | Unconjugated |
Anti-HER3 Antibody (A98098) | |
10µg - 100µg/$200 – $505 | |
| Description: | Rabbit polyclonal antibody to HER3. |
| Applications: | WB, ELISA |
| Reactivity: | Human, Mouse, Rat |
| Conjugate: | Unconjugated |
Anti-ErbB3 Antibody [CDX-3379] Biosimilar - BSA and Azide free (A339976) | |
100µg - 1mg/$455 – $1,380 | |
| Description: | Human monoclonal antibody to ErbB3. Research grade CDX-3379 biosimilar. |
| Applications: | ELISA, Flow Cytometry, Functional Studies, in vivo Research |
| Reactivity: | Human |
| Conjugate: | Unconjugated |
Anti-ErbB3 Antibody [REGN14] Biosimilar - BSA and Azide free (A339980) | |
100µg - 1mg/$455 – $1,380 | |
| Description: | Human monoclonal antibody to ErbB3. Research grade REGN1400 biosimilar. |
| Applications: | ELISA, Flow Cytometry, Functional Studies, in vivo Research |
| Reactivity: | Human |
| Conjugate: | Unconjugated |
Elgemtumab Biosimilar - Anti-ErbB3 Antibody - BSA and Azide free (A338762) | |
100µg - 1mg/$290 – $730 | |
| Description: | Human monoclonal antibody to ErbB3. Research grade Elgemtumab biosimilar. |
| Applications: | ELISA, Flow Cytometry, Functional Studies, in vivo Research |
| Reactivity: | Human |
| Conjugate: | Unconjugated |
Anti-ErbB3 Antibody [AV-23] Biosimilar - BSA and Azide free (A339975) | |
100µg - 1mg/$455 – $1,380 | |
| Description: | Human monoclonal antibody to ErbB3. Research grade AV-203 biosimilar. |
| Applications: | ELISA, Flow Cytometry, Functional Studies, in vivo Research |
| Reactivity: | Human |
| Conjugate: | Unconjugated |
ruzaltatug Biosimilar - Anti-ErbB3 Antibody - BSA and Azide free (A340956) | |
100µg - 1mg/$455 – $1,380 | |
| Description: | Human monoclonal antibody to ErbB3. Research grade ruzaltatug biosimilar. |
| Applications: | ELISA, Flow Cytometry, Functional Studies, in vivo Research |
| Reactivity: | Human |
| Conjugate: | Unconjugated |
Anti-ERBB3 Antibody (A43269) | |
50µl - 100µl/$415 – $595 | |
| Description: | Rabbit polyclonal antibody to ERBB3 |
| Applications: | WB |
| Reactivity: | Human, Mouse, Rat |
| Conjugate: | Unconjugated |
Anti-HER3 Antibody (A38589) | |
50µl - 100µl/$290 – $430 | |
| Description: | Rabbit polyclonal antibody to HER3 |
| Applications: | WB, IHC |
| Reactivity: | Human |
| Conjugate: | Unconjugated |
Anti-ERBB3 (phospho-Y1328) Antibody (A29666) | |
50µl - 100µl/$415 – $560 | |
| Description: | Rabbit polyclonal antibody to ERBB3 (phospho-Y1328) |
| Applications: | WB |
| Reactivity: | Human, Mouse |
| Conjugate: | Unconjugated |
Anti-ErbB3 Nanobody [SAA1309] (A337851) | |
50µg - 1mg/$305 – $1,690 | |
| Description: | Recombinant alpaca monoclonal [SAA1309] nanobody to ErbB3. |
| Applications: | ELISA, Flow Cytometry, SPR |
| Reactivity: | Human |
| Conjugate: | Unconjugated |
Anti-ERBB3 Antibody (A45884) | |
100µl/$430 | |
| Description: | Rabbit polyclonal antibody to ERBB3 |
| Applications: | IHC |
| Reactivity: | Human |
| Conjugate: | Unconjugated |
Anti-Her3 / ErbB3 (Ab-1289) Antibody (A47299) | |
50µl - 100µl/$290 – $430 | |
| Description: | Rabbit polyclonal antibody to Her3 / ErbB3 (Ab-1289) |
| Applications: | IF |
| Reactivity: | Human |
| Conjugate: | Unconjugated |
Showing 1-33 of 33 products