ISO 9001:2015 Certified
Live Customer Support
4.5/5 on Trustpilot
100% Quality Guarantee

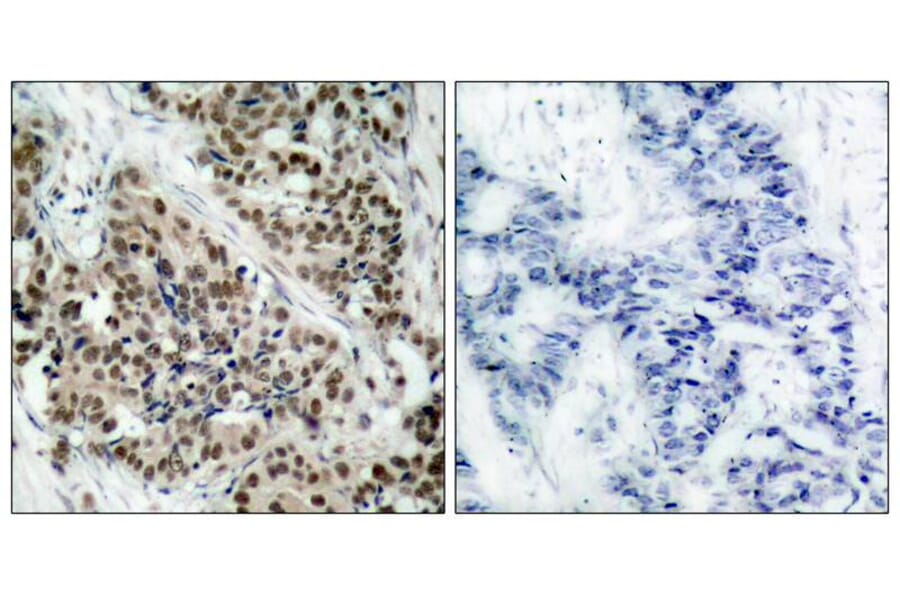
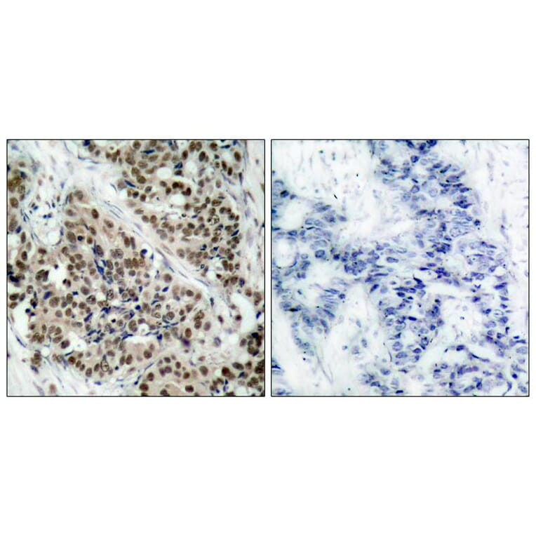
Anti-FKHR (Phospho-Ser256) Antibody (A50188)

Rabbit polyclonal antibody to FKHR (Phospho-Ser256) for WB, IHC, ICC/IF and IP.

Shipping Information

$40
Dispatched from St. Louis, MO.
Lead Time: 6-9 business days.
Name
Anti-FKHR (Phospho-Ser256) Antibody
Description
Rabbit polyclonal antibody to FKHR (Phospho-Ser256)
Specificity
The antibody detects endogenous level of FKHR only when phosphorylated at serine 256.
Applications
WB, IHC, ICC/IF, IP
Dilutions
Western blotting: 1:500~1:1000 Immunohistochemistry: 1:50~1:100 Immunofluorescence: 1:100~1:200
Reactivity
Human, Mouse, Rat
Immunogen
Peptide sequence around phosphorylation site of serine 256 (A-A-S(p)-M-D) derived from Human FKHR.
Host
Rabbit
Clonality
Polyclonal
Conjugate

Unconjugated

Purification
Antibodies were produced by immunizing rabbits with synthetic phosphopeptide and KLH conjugates. Antibodies were purified by affinity-chromatography using epitope-specific phosphopeptide. Non-phospho specific antibodies were removed by chromatogramphy using non-phosphopeptide.
Concentration
1.0 mg/mL
Predicted MW
78-82 kd
Formulation
Supplied in phosphate-buffered saline (without Mg²? and Ca²?), pH 7.4, containing 150 mM NaCl, 0.02% sodium azide, and 50% glycerol.
Storage
Shipped at 4°C. Upon delivery aliquot and store at -20°C. Avoid freeze/thaw cycles.
Synonyms
Forkhead box protein O1, Forkhead box protein O1A, Forkhead in rhabdomyosarcoma, FOXO1A
Disclaimer
This product is for research use only. It is not intended for diagnostic or therapeutic use.
Publishing research using Anti-FKHR (Phospho-Ser256) Antibody (A50188)? Please let us know so that we can list the citation on this page.

Alternative products to Anti-FKHR (Phospho-Ser256) Antibody (A50188)

Proteins predicted to interact with FOXO1

Predicted protein interactions based upon String database. Revelancy score correlates with probability of interaction.
99.9% Relevancy Score
99.9% Relevancy Score
99.9% Relevancy Score
99.8% Relevancy Score
99.3% Relevancy Score
99% Relevancy Score
98.6% Relevancy Score
98.5% Relevancy Score
98.4% Relevancy Score