ISO 9001:2015 Certified
Live Customer Support
4.5/5 on Trustpilot
100% Quality Guarantee

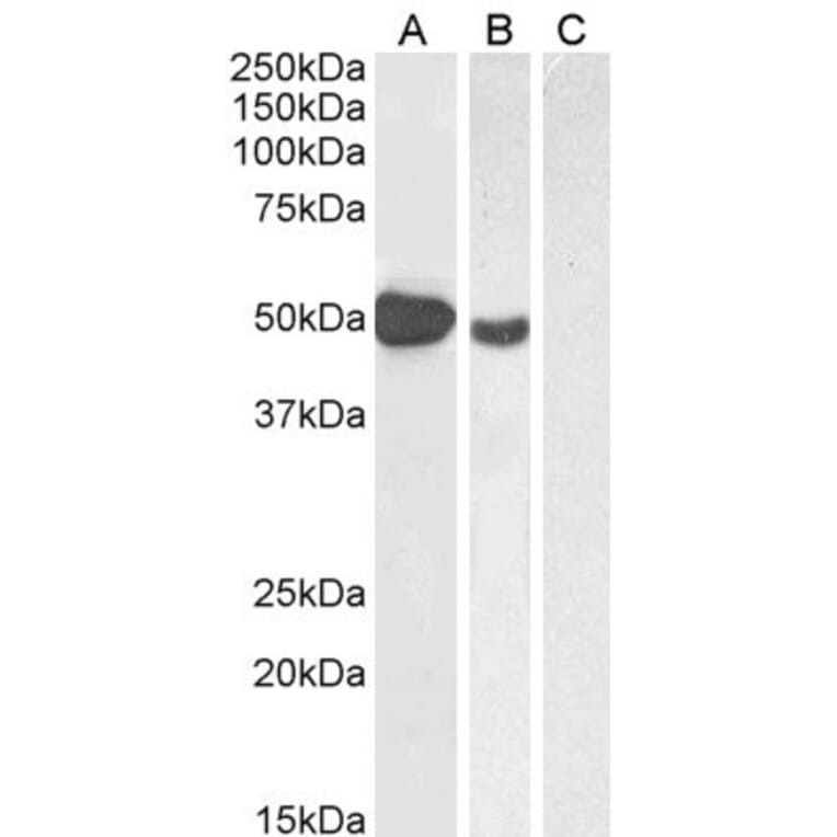
Anti-FOXP3 Antibody (A82808)

Goat polyclonal antibody to FOXP3 for ELISA, WB, IF, Flow Cytometry, ICC and IHC.

Shipping Information

$40
Dispatched from St. Louis, MO.
Lead Time: 7-10 business days.
Name
Anti-FOXP3 Antibody
Description
Goat polyclonal antibody to FOXP3.
Applications
ELISA, WB, IF, Flow Cytometry, ICC, IHC
Dilutions
ELISA: 1:8,000, WB: 1-3µg/ml, IHC: 6-8µg/ml, IF: 10µg/ml, Flow Cytometry: 10µg/ml, ICC: 2-4µg/ml
Reactivity
Human
Immunogen
Synthetic peptide corresponding to the C terminal region of human FOXP3.
Sequence
SQRPSRCSNPTPGP
Host
Goat
Clonality
Polyclonal
Isotype
IgG
Conjugate

Unconjugated

Purification
Purified from goat serum by ammonium sulphate precipitation followed by antigen affinity chromatography using the immunizing peptide.
Concentration
500 µg/ml
Molecular Weight
48-50 kDa
Predicted MW
47.2kDa
Product Form
Liquid
Formulation
Supplied in Tris Buffered Saline, pH 7.3, with 0.5% BSA and 0.02% Sodium Azide.
Storage
Shipped at 4°C. Upon delivery aliquot and store at -20°C. Avoid freeze/thaw cycles.
Synonyms
Forkhead box protein P3, IPEX, Scurfin
Isotype Controls
Disclaimer
This product is for research use only. It is not intended for diagnostic or therapeutic use.
Publishing research using Anti-FOXP3 Antibody (A82808)? Please let us know so that we can list the citation on this page.

Other best seller Anti-FOXP3 Antibodies

Alternative products to Anti-FOXP3 Antibody (A82808)

Proteins predicted to interact with FOXP3

Predicted protein interactions based upon String database. Revelancy score correlates with probability of interaction.
99.9% Relevancy Score
99.5% Relevancy Score
99.2% Relevancy Score
99.1% Relevancy Score
98.8% Relevancy Score
98.7% Relevancy Score
98.4% Relevancy Score
98.2% Relevancy Score
97.9% Relevancy Score