ISO 9001:2015 Certified
Live Customer Support
4.5/5 on Trustpilot
100% Quality Guarantee

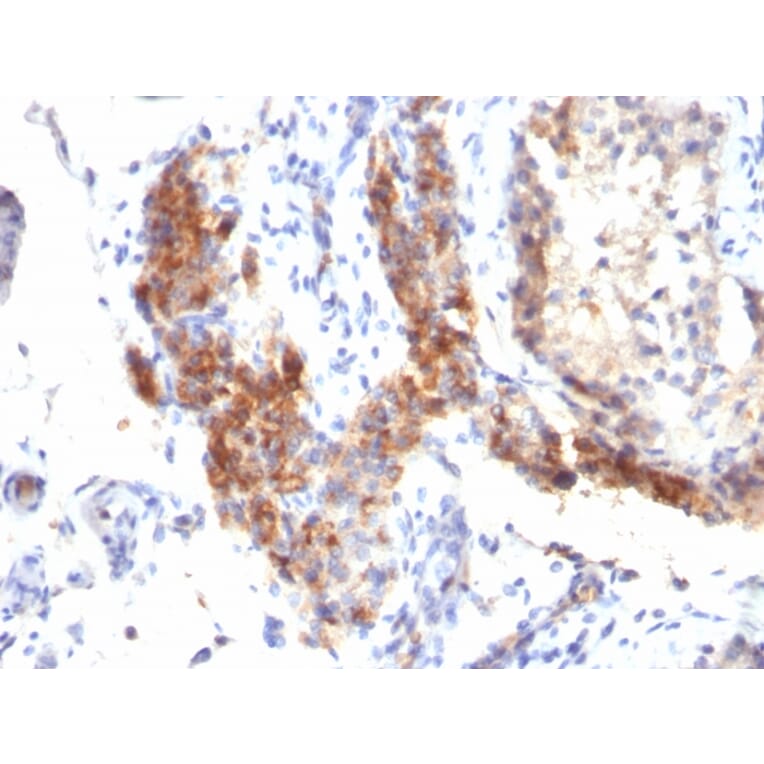
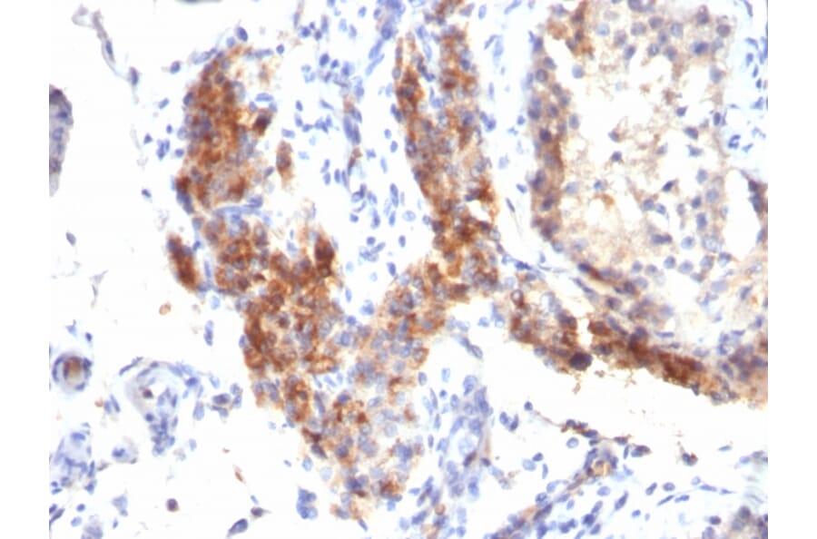
Anti-FOXP3 Antibody [SPM579] - BSA and Azide free (A252754)

Mouse monoclonal [SPM579] antibody to FOXP3 for Flow Cytometry, WB and IHC-P.

Alternative Formats and ConjugatesAlternative Formats

Shipping Information

$40
Dispatched from St. Louis, MO.
Lead Time: 5-8 business days.
Name
Anti-FOXP3 Antibody [SPM579] - BSA and Azide free
Description
Mouse monoclonal [SPM579] antibody to FOXP3.
Specificity
This antibody recognizes a protein of 47-55kDa, which is identified as FOXP3. Its precise epitope is not known, but it has been mapped to the N-terminal portion of the protein. The FOX family of transcription factors is a large group of proteins that share a common DNA binding domain termed a winged-helix or forkhead domain. During early development, FOXP1 and FOXP2 are expressed abundantly in the lung, with lower levels of expression in neural, intestinal and cardiovascular tissues, where they act as transcription repressors. FOXP1 is widely expressed in adult tissues, while neoplastic cells often exhibit a dramatic change in expression level or localization of FOXP1. Mutations in FOXP3 gene cause IPEX, a fatal, X-linked inherited disorder characterized by immune dysregulation. The FOXP3 protein is essential for normal immune homeostasis. Specifically, FOXP3 represses transcription through a DNA binding forkhead domain, thereby regulating T cell activation.
Applications
Flow Cytometry, WB, IHC-P
Dilutions
Flow Cytometry: 1-2 µg/million cells, WB: 1-2 µg/ml, IHC-P: 1-2 µg/ml
Reactivity
Human, Monkey, Mouse
Immunogen
full-length human FOXP3 protein.
Host
Mouse
Clonality
Monoclonal
Clone ID
SPM579
Isotype
IgG1
Light Chains
kappa
Conjugate

Unconjugated

Purification
Protein A/G chromatography.
Concentration
1 mg/ml
Molecular Weight
47-55 kDa
Product Form
Liquid
Formulation
Supplied in 10mM Phosphate Buffered Saline; without Sodium Azide and carrier free.
Storage
Shipped at 4°C. Upon delivery aliquot and store at -20°C. Avoid freeze / thaw cycles.
General Notes
This monoclonal antibody is also available in a different formulation with BSA and Sodium Azide - Anti-FOXP3 Antibody [SPM579] (A249574).
Synonyms
Forkhead box protein P3, IPEX, Scurfin
Disclaimer
This product is for research use only. It is not intended for diagnostic or therapeutic use.
Publishing research using Anti-FOXP3 Antibody [SPM579] - BSA and Azide free (A252754)? Please let us know so that we can list the citation on this page.

Most popular Anti-FOXP3 Antibodies

Alternative products to Anti-FOXP3 Antibody [SPM579] - BSA and Azide free (A252754)

Proteins predicted to interact with FOXP3

Predicted protein interactions based upon String database. Revelancy score correlates with probability of interaction.
99.9% Relevancy Score
99.5% Relevancy Score
99.2% Relevancy Score
99.1% Relevancy Score
98.8% Relevancy Score
98.7% Relevancy Score
98.4% Relevancy Score
98.2% Relevancy Score
97.9% Relevancy Score