ISO 9001:2015 Certified
Live Customer Support
4.5/5 on Trustpilot
100% Quality Guarantee

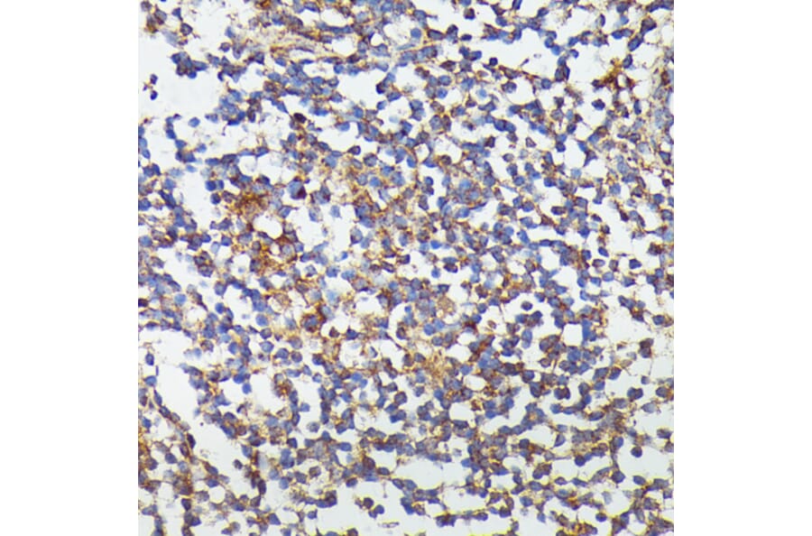
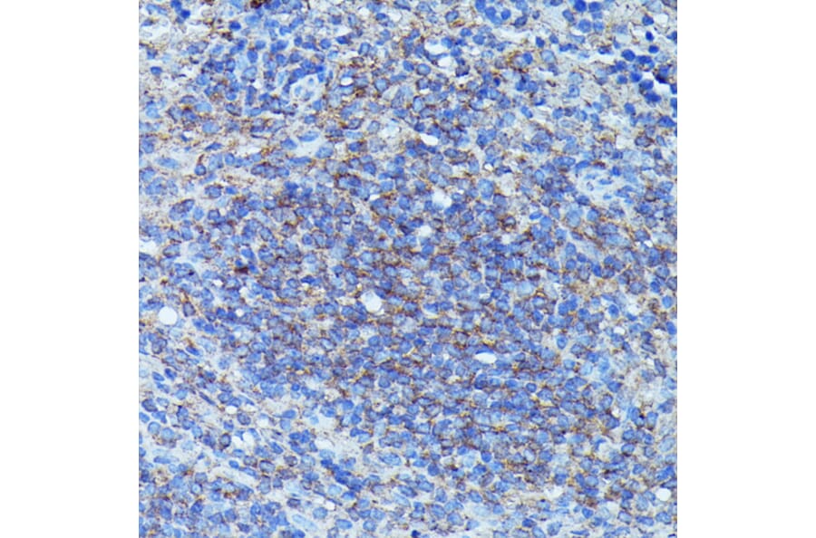
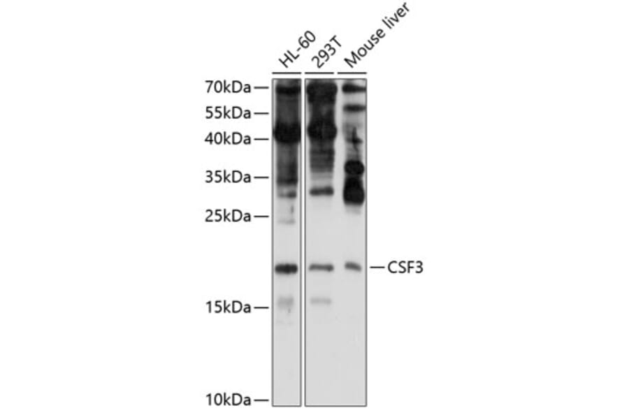
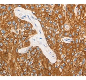
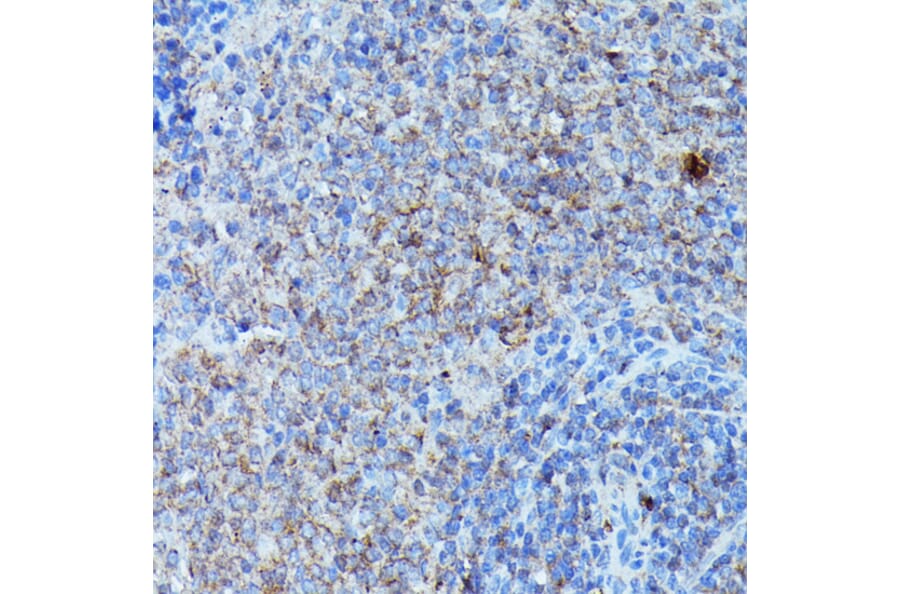
Anti-G-CSF Antibody (A15095)

Rabbit polyclonal antibody to G-CSF for WB and IHC.

Shipping Information

$40
Dispatched from St. Louis, MO.
Lead Time: 7-10 business days.
Name
Anti-G-CSF Antibody
Description
Rabbit polyclonal antibody to G-CSF.
Applications
WB, IHC
Dilutions
WB: 1:500-1:1,000, IHC: 1:50-1:200
Reactivity
Human, Mouse, Rat
Immunogen
Recombinant fusion protein containing a sequence corresponding to amino acids 30-207 of human CSF3 (NP_000750.1).
Sequence
ATPLGPASSLPQSFLLKCLEQVRKIQGDGAALQEKLVSECATYKLCHPEELVLLGHSLGIPWAPLSSCPSQALQLAGCLSQLHSGLFLYQGLLQALEGISPELGPTLDTLQLDVADFATTIWQQMEELGMAPALQPTQGAMPAFASAFQRRAGGVLVASHLQSFLEVSYRVLRHLAQP
Host
Rabbit
Clonality
Polyclonal
Isotype
IgG
Conjugate

Unconjugated

Purification
Affinity purification.
Concentration
Lot Specific
Molecular Weight
22 kDa
Product Form
Liquid
Formulation
Supplied in Phosphate Buffered Saline, pH 7.3, with 50% Glycerol and 0.02% Sodium Azide.
Storage
Shipped at 4°C. Upon delivery aliquot and store at -20°C. Avoid freeze/thaw cycles.
Synonyms
C17orf33, CSF3, GCSF, Granulocyte colony-stimulating factor, Pluripoietin
Disclaimer
This product is for research use only. It is not intended for diagnostic or therapeutic use.
Publishing research using Anti-G-CSF Antibody (A15095)? Please let us know so that we can list the citation on this page.

Alternative products to Anti-G-CSF Antibody (A15095)

Proteins predicted to interact with G-CSF

Predicted protein interactions based upon String database. Revelancy score correlates with probability of interaction.
99.9% Relevancy Score
99.9% Relevancy Score
99.6% Relevancy Score
99.5% Relevancy Score
99.1% Relevancy Score
99% Relevancy Score
98.9% Relevancy Score
98.8% Relevancy Score
98.8% Relevancy Score