ISO 9001:2015 Certified
Live Customer Support
4.5/5 on Trustpilot
100% Quality Guarantee

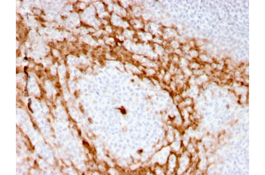
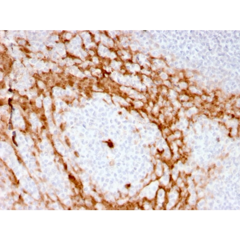
Recombinant Anti-G-CSF Antibody [CSF3/3166R] - BSA and Azide free (A251460)

Recombinant rabbit monoclonal [CSF3/3166R] antibody to G-CSF for IHC-P.

Alternative Formats and ConjugatesAlternative Formats

Shipping Information

$40
Dispatched from St. Louis, MO.
Lead Time: 5-8 business days.
Name
Anti-G-CSF Antibody [CSF3/3166R] - BSA and Azide free
Description
Recombinant rabbit monoclonal [CSF3/3166R] antibody to G-CSF.
Specificity
This antibody recognizes granulocyte-colony stimulating factor (G-CSF) in the cytoplasm of mature granulocytes. It shows no reactivity with any other cell types. Markers of myeloid cells are useful in the identification of different levels of cellular differentiation. It reacts with early precursor and mature forms of myeloid cells. It is useful for the detection of myeloid leukemias and granulocytic sarcomas. It can be used as a marker of granulocytes in normal tissues or inflammatory processes. G-CSF is a pleiotropic cytokine that influences differentiation, proliferation and activation of the neutrophilic granulocyte lineage. The human G-CSF cDNA encodes a 207 amino acid precursor containing a 29 amino acid signal peptide that is proteolytically cleaved to form a 178 amino acid residue mature protein. Two G-CSF s, which are identical except for a three amino acid deletion in the amino-terminus of one form of the protein have been isolated from human cells. Murine and human G-CSF s share 73% sequence identity at the amino acid level.
Applications
IHC-P
Dilutions
IHC-P: 1-2 µg/ml
Reactivity
Human, Macaque Monkey
Immunogen
Recombinant full-length human CSF3 protein.
Host
Rabbit
Clonality
Monoclonal
Clone ID
CSF3/3166R
Isotype
IgG
Conjugate

Unconjugated

Purification
Protein A/G chromatography.
Concentration
1 mg/ml
Molecular Weight
19 kDa
Product Form
Liquid
Formulation
Supplied in 10mM Phosphate Buffered Saline; without Sodium Azide and carrier free.
Storage
Shipped at 4°C. Upon delivery aliquot and store at -20°C. Avoid freeze / thaw cycles.
General Notes
This monoclonal antibody is also available in a different formulation with BSA and Sodium Azide - Anti-G-CSF Antibody [CSF3/3166R] (A248278).
Synonyms
C17orf33, CSF3, GCSF, Granulocyte colony-stimulating factor, Pluripoietin
Disclaimer
This product is for research use only. It is not intended for diagnostic or therapeutic use.
Publishing research using Recombinant Anti-G-CSF Antibody [CSF3/3166R] - BSA and Azide free (A251460)? Please let us know so that we can list the citation on this page.

Alternative products to Anti-G-CSF Antibody [CSF3/3166R] - BSA and Azide free (A251460)

Proteins predicted to interact with G-CSF

Predicted protein interactions based upon String database. Revelancy score correlates with probability of interaction.
99.9% Relevancy Score
99.9% Relevancy Score
99.6% Relevancy Score
99.5% Relevancy Score
99.1% Relevancy Score
99% Relevancy Score
98.9% Relevancy Score
98.8% Relevancy Score
98.8% Relevancy Score