ISO 9001:2015 Certified
Live Customer Support
4.5/5 on Trustpilot
100% Quality Guarantee

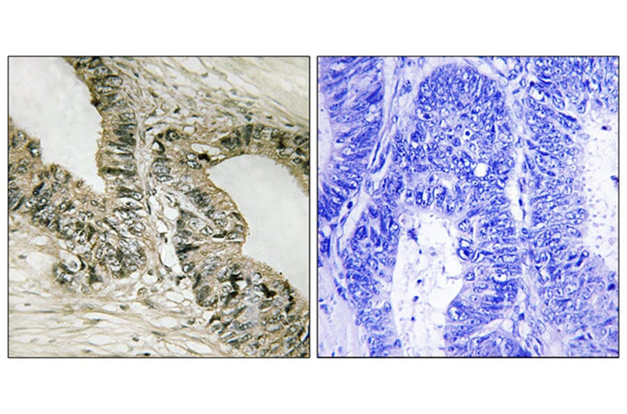
Anti-Gab2 Antibody (A96200)

Rabbit polyclonal antibody to Gab2 for WB, IHC and ELISA.

Shipping Information

$40
Dispatched from St. Louis, MO.
Lead Time: 6-8 business days.
Name
Anti-Gab2 Antibody
Description
Rabbit polyclonal antibody to Gab2.
Applications
WB, IHC, ELISA
Dilutions
WB: 1:500-1:1000, IHC: 1:50-1:100, ELISA: 1:40000
Reactivity
Human, Mouse, Rat
Immunogen
Synthetic peptide derived from human Gab2 (amino acids 125-174).
Host
Rabbit
Clonality
Polyclonal
Isotype
IgG
Conjugate

Unconjugated

Purification
Purified from rabbit serum by antigen affinity chromatography using the immunizing peptide.
Molecular Weight
74kDa
Product Form
Liquid
Formulation
Supplied in Phosphate Buffered Saline (without Mg2+ and Ca2+), pH 7.4, with 150mM NaCl, 0.02% Sodium Azide, and 50% Glycerol.
Storage
Shipped at 4°C. Upon delivery aliquot and store at -20°C. Avoid freeze / thaw cycles.
Synonyms
GRB2-associated binder 2, GRB2-associated-binding protein 2, Growth factor receptor bound protein 2-associated protein 2, KIAA0571, pp100
Disclaimer
This product is for research use only. It is not intended for diagnostic or therapeutic use.
Publishing research using Anti-Gab2 Antibody (A96200)? Please let us know so that we can list the citation on this page.

Alternative products to Anti-Gab2 Antibody (A96200)

Proteins predicted to interact with GAB2

Predicted protein interactions based upon String database. Revelancy score correlates with probability of interaction.
99.9% Relevancy Score
99.9% Relevancy Score
99.7% Relevancy Score
99.6% Relevancy Score
99.1% Relevancy Score
99.1% Relevancy Score
98.4% Relevancy Score
97.7% Relevancy Score
97.5% Relevancy Score