ISO 9001:2015 Certified
Live Customer Support
4.5/5 on Trustpilot
100% Quality Guarantee

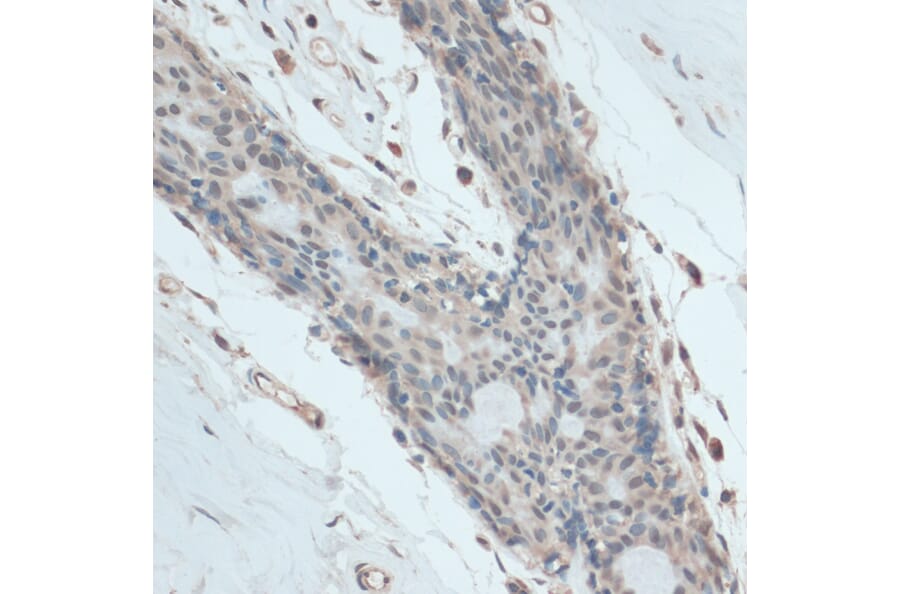
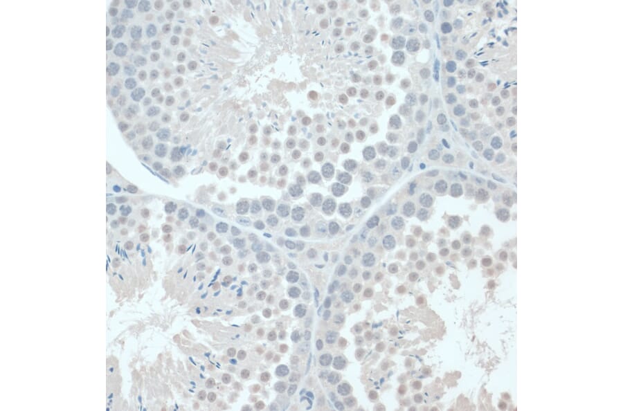
Anti-GAPDS Antibody (A11323)

This product is discontinued

Anti-GAPDS Antibody (A11323) has been discontinued and is no longer available.

View all GAPDS Antibodies.

Name
Anti-GAPDS Antibody
Description
Rabbit polyclonal antibody to GAPDS.
Applications
WB, IHC, ICC/IF
Dilutions
WB: 1:500-1:2,000, IHC: 1:50-1:200, ICC/IF: 1:50-1:200
Reactivity
Human, Mouse, Rat
Immunogen
Recombinant fusion protein containing a sequence corresponding to amino acids 179-408 of human GAPDHS (NP_055179.1).
Sequence
ASDHISAGAQRVVISAPSPDAPMFVMGVNENDYNPGSMNIVSNASCTTNCLAPLAKVIHERFGIVEGLMTTVHSYTATQKTVDGPSRKAWRDGRGAHQNIIPASTGAAKAVTKVIPELKGKLTGMAFRVPTPDVSVVDLTCRLAQPAPYSAIKEAVKAAAKGPMAGILAYTEDEVVSTDFLGDTHSSIFDAKAGIALNDNFVKLISWYDNEYGYSHRVVDLLRYMFSRDK
Host
Rabbit
Clonality
Polyclonal
Isotype
IgG
Conjugate

Unconjugated

Purification
Affinity purification.
Molecular Weight
60 kDa
Product Form
Liquid
Formulation
Supplied in Phosphate Buffered Saline, pH 7.3, with 50% Glycerol and 0.02% Sodium Azide.
Storage
Shipped at 4°C. Upon delivery aliquot and store at -20°C. Avoid freeze / thaw cycles.
Synonyms
GAPD2, GAPDH-2, GAPDH2, Glyceraldehyde-3-phosphate dehydrogenase, testis-specific, Spermatogenic cell-specific glyceraldehyde 3-phosphate dehydrogenase 2, Spermatogenic glyceraldehyde-3-phosphate dehydrogenase
Disclaimer
This product is for research use only. It is not intended for diagnostic or therapeutic use.

Alternative products to Anti-GAPDS Antibody (A11323)

Proteins predicted to interact with GAPDHS

Predicted protein interactions based upon String database. Revelancy score correlates with probability of interaction.
99.9% Relevancy Score
99.4% Relevancy Score
99.1% Relevancy Score
97.7% Relevancy Score
97.2% Relevancy Score
97% Relevancy Score
96.9% Relevancy Score
96.2% Relevancy Score
95.4% Relevancy Score