ISO 9001:2015 Certified
Live Customer Support
4.5/5 on Trustpilot
100% Quality Guarantee

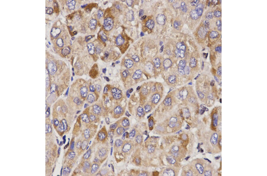
Anti-GAS2 Antibody (A13344)

Rabbit polyclonal antibody to GAS2 for WB and IHC.

Shipping Information

$40
Dispatched from St. Louis, MO.
Lead Time: 7-10 business days.
Name
Anti-GAS2 Antibody
Description
Rabbit polyclonal antibody to GAS2.
Applications
WB, IHC
Dilutions
WB: 1:500-1:2,000, IHC: 1:50-1:200
Reactivity
Human, Mouse
Immunogen
Recombinant fusion protein containing a sequence corresponding to amino acids 1-100 of human GAS2 (NP_005247.1).
Sequence
MCTALSPKVRSGPGLSDMHQYSQWLASRHEANLLPMKEDLALWLTNLLGKEITAETFMEKLDNGALLCQLAETMQEKFKESMDANKPTKNLPLKKIPCKT
Host
Rabbit
Clonality
Polyclonal
Isotype
IgG
Conjugate

Unconjugated

Purification
Affinity purification.
Concentration
Lot Specific
Molecular Weight
37 kDa
Product Form
Liquid
Formulation
Supplied in Phosphate Buffered Saline, pH 7.3, with 50% Glycerol and 0.02% Sodium Azide.
Storage
Shipped at 4°C. Upon delivery aliquot and store at -20°C. Avoid freeze/thaw cycles.
Synonyms
GAS-2, Growth arrest-specific protein 2
Disclaimer
This product is for research use only. It is not intended for diagnostic or therapeutic use.
Publishing research using Anti-GAS2 Antibody (A13344)? Please let us know so that we can list the citation on this page.

Alternative products to Anti-GAS2 Antibody (A13344)

Proteins predicted to interact with GAS2

Predicted protein interactions based upon String database. Revelancy score correlates with probability of interaction.
92.9% Relevancy Score
83.6% Relevancy Score
82.3% Relevancy Score
76.2% Relevancy Score
71.2% Relevancy Score
67.9% Relevancy Score
66.4% Relevancy Score
59.7% Relevancy Score
59.4% Relevancy Score