ISO 9001:2015 Certified
Live Customer Support
4.5/5 on Trustpilot
100% Quality Guarantee

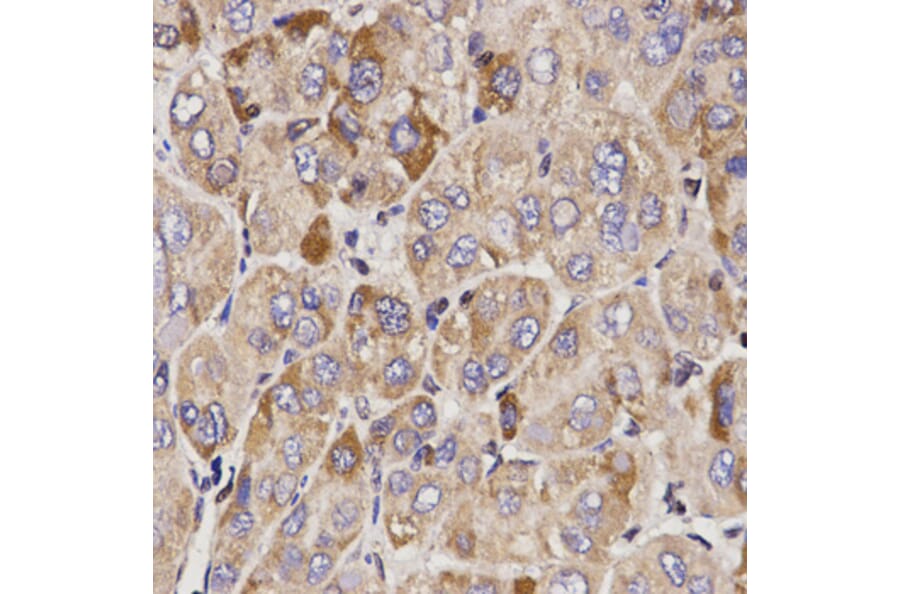
Anti-GAS2 Antibody (A29376)

$435

Rabbit polyclonal antibody to GAS2 for WB, IHC and IF.

Shipping Information

$40
Dispatched from St. Louis, MO.
Lead Time: 7-10 business days.
Name
Anti-GAS2 Antibody
Description
Rabbit polyclonal antibody to GAS2
Specificity
GAS2 pAb detects endogenous levels of GAS2 protein.
Applications
WB, IHC, IF
Reactivity
Human, Mouse, Rat
Immunogen
Recombinant full length Human GAS2.
Host
Rabbit
Clonality
Polyclonal
Conjugate

Unconjugated

Molecular Weight
~ 35 kDa
Purity
The antibody was affinity-purified from rabbit antiserum by affinity-chromatography using epitope-specific immunogen and the purity is > 95% (by SDS-PAGE).
Product Form
1mg/ml in PBS with 0.1% Sodium Azide, 50% Glycerol.
Synonyms
GAS-2, Growth arrest-specific protein 2
Disclaimer
This product is for research use only. It is not intended for diagnostic or therapeutic use.
Publishing research using Anti-GAS2 Antibody (A29376)? Please let us know so that we can list the citation on this page.

Alternative products to Anti-GAS2 Antibody (A29376)

Proteins predicted to interact with GAS2

Predicted protein interactions based upon String database. Revelancy score correlates with probability of interaction.
92.9% Relevancy Score
83.6% Relevancy Score
82.3% Relevancy Score
76.2% Relevancy Score
71.2% Relevancy Score
67.9% Relevancy Score
66.4% Relevancy Score
59.7% Relevancy Score
59.4% Relevancy Score