Primary Antibodies
Secondary Antibodies
Proteins & Peptides
ELISA Kits
About Us
Contact Us
Sign In/Register
0
ISO 9001:2015 Certified
Live Customer Support
4.5/5 on Trustpilot
100% Quality Guarantee
Home
Primary Antibodies
GDF11 Antibodies
Anti-GDF11 Antibody (A46194)
Anti-GDF11 Antibody (A46194)
Overview
Specifications
Images
Enlarge Image
Enlarge Image
$430
Product Datasheet
Rabbit polyclonal antibody to GDF11 for IHC.
100% Guarantee
Price Match Guarantee
Product Size:
100µl
Quantity:
1
2
3
4
5
6
7
8
9
10
Add To Cart
Request a Quotation
Custom or Bulk Request
Shipping Information
Freight/Packing Charges:
$40
Dispatched from St. Louis, MO.
Lead Time: 6-9 business days.
Specifications
Name
Anti-GDF11 Antibody
Description
Rabbit polyclonal antibody to GDF11
Specificity
The antibody detects endogenous levels of total GDF11 protein.
Applications
IHC
Reactivity
Human, Mouse
Immunogen
Synthetic peptide corresponding to residues near the C terminal of human growth differentiation factor 11
Host
Rabbit
Clonality
Polyclonal
Conjugate
Unconjugated
Purification
Antigen affinity purification.
Concentration
1.7 mg/mL
Formulation
Supplied in PBS, pH 7.3, containing 0.05% sodium azide and 50% glycerol.
Storage
Shipped at 4°C. Upon delivery aliquot and store at -20°C. Avoid freeze/thaw cycles.
Synonyms
BMP-11, BMP11, Bone morphogenetic protein 11, GDF-11, Growth/differentiation factor 11
Suitable Secondaries
Goat Anti-Rabbit IgG H&L Antibody (AP) (A294874)
Goat Anti-Rabbit IgG H&L Antibody (Biotin) (A294795)
Goat Anti-Rabbit IgG H&L Antibody (FITC) (A294887)
Goat Anti-Rabbit IgG H&L Antibody (HRP) (A294888)
See all Anti-Rabbit IgG Secondaries →
Disclaimer
This product is for research use only. It is not intended for diagnostic or therapeutic use.
Scientific Validation Data
Validation Data
(2)
Enlarge Image
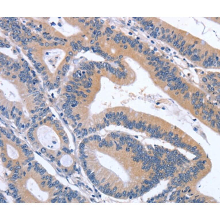
Immunohistochemistry - Anti-GDF11 Antibody (A46194)
Immunohistochemical analysis of paraffin-embedded Human colon cancer tissue using #37444 at dilution 1/30.
Enlarge Image
Immunohistochemistry - Anti-GDF11 Antibody (A46194)
Immunohistochemical analysis of paraffin-embedded Human lymphoma tissue using #37444 at dilution 1/30.
Publishing research using Anti-GDF11 Antibody (A46194)? Please
let us know
so that we can list the citation on this page.
Alternative products to Anti-GDF11 Antibody (A46194)
A54553
Anti-BMP11 Antibody
Rabbit polyclonal antibody to BMP11 for ELISA, IP and WB.
A339855
Luspatercept Biosimilar - Anti-GDF11 Antibody - BSA and Azide free
Recombinant antibody to GDF11 for use as a research grade Luspatercept biosimilar for ELISA, Functional Studies and in vivo Research.
A54553
Anti-BMP11 Antibody
Rabbit polyclonal antibody to BMP11 for ELISA, IP and WB.
A339855
Luspatercept Biosimilar - Anti-GDF11 Antibody - BSA and Azide free
Recombinant antibody to GDF11 for use as a research grade Luspatercept biosimilar for ELISA, Functional Studies and in vivo Research.
Proteins predicted to interact with GDF11
Predicted protein interactions based upon String database. Revelancy score correlates with probability of interaction.
ACVR2B Antibodies
99.9% Relevancy Score
TGF beta Receptor I Antibodies
99.9% Relevancy Score
Activin Receptor Type IIA Antibodies
99.9% Relevancy Score
Follistatin Antibodies
99.1% Relevancy Score
ALK-4 Antibodies
93.2% Relevancy Score
ALK-7 Antibodies
90.6% Relevancy Score
MATH5 Antibodies
90.5% Relevancy Score
Activin Receptor Type IA Antibodies
84.7% Relevancy Score
WIF1 Antibodies
83.3% Relevancy Score
Top