Recombinant fusion protein containing a sequence corresponding to amino acids 1-373 of human Glutamine Synthetase (Glutamine Synthetase (GLUL)) (NP_001028228.1).
Western Blot - Anti-Glutamine Synthetase Antibody (A14757)
Western blot analysis of extracts of various cell lines, using Anti-Glutamine Synthetase Antibody (A14757) at 1:1,000 dilution. The secondary antibody was Goat Anti-Rabbit IgG H&L Antibody (HRP) at 1:10,000 dilution. Lysates/proteins were present at 25µg per lane. The blocking buffer used was 3% non-fat dry milk in TBST. Detection was with a ECL Basic Kit. Exposure time: 5s.
Western Blot - Anti-Glutamine Synthetase Antibody (A14757)
Western blot analysis of extracts from normal (control) and Glutamine Synthetase (GLUL) knockout (KO) 293T cells, using Anti-Glutamine Synthetase Antibody (A14757) at 1:1,000 dilution. The secondary antibody was Goat Anti-Rabbit IgG H&L Antibody (HRP) at 1:10,000 dilution. Lysates/proteins were present at 25µg per lane. The blocking buffer used was 3% non-fat dry milk in TBST. Detection was with a ECL Basic Kit. Exposure time: 5s.
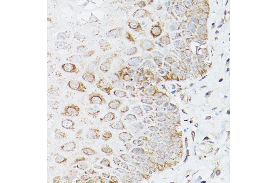
Immunohistochemistry analysis of paraffin-embedded human esophageal using Anti-Glutamine Synthetase Antibody (A14757) at a dilution of 1:100 (40x lens). Perform high pressure antigen retrieval with 10 mM citrate buffer pH 6.0 before commencing with IHC staining protocol.
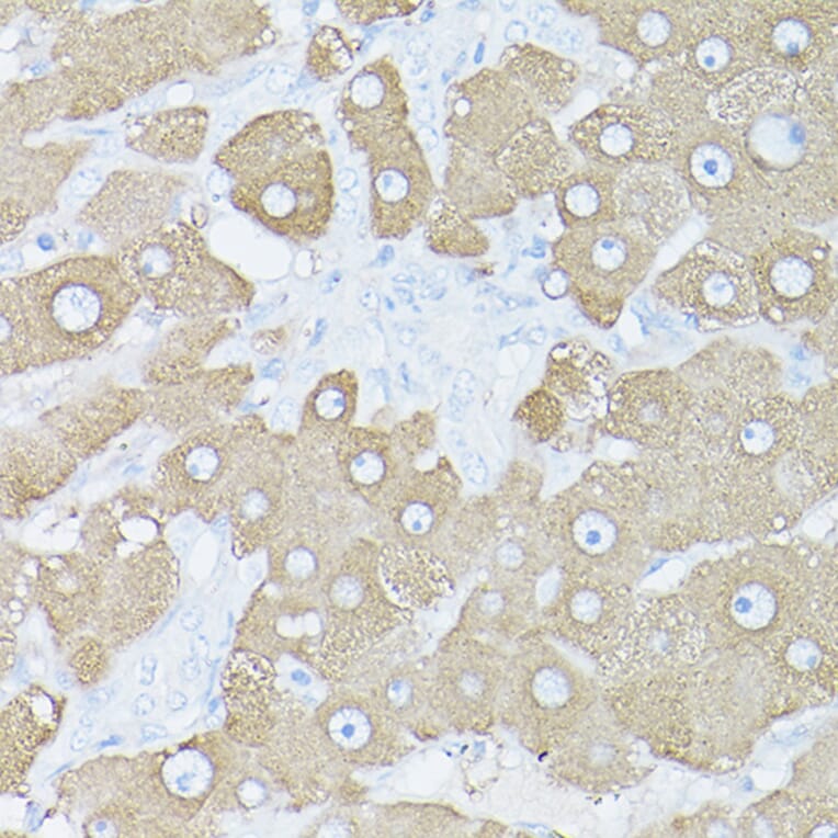
Immunohistochemistry analysis of paraffin-embedded human liver using Anti-Glutamine Synthetase Antibody (A14757) at a dilution of 1:100 (40x lens). Perform high pressure antigen retrieval with 10 mM citrate buffer pH 6.0 before commencing with IHC staining protocol.
Immunohistochemistry analysis of paraffin-embedded rat liver using Anti-Glutamine Synthetase Antibody (A14757) at a dilution of 1:100 (40x lens). Perform high pressure antigen retrieval with 10 mM citrate buffer pH 6.0 before commencing with IHC staining protocol.
Immunofluorescence analysis of NIH/3T3 cells using Anti-Glutamine Synthetase Antibody (A14757) at a dilution of 1:100 (40x lens). DAPI was used to stain the cell nuclei (blue).
Immunofluorescence analysis of PC-12 cells using Anti-Glutamine Synthetase Antibody (A14757) at a dilution of 1:100 (40x lens). DAPI was used to stain the cell nuclei (blue).