ISO 9001:2015 Certified
Live Customer Support
4.5/5 on Trustpilot
100% Quality Guarantee

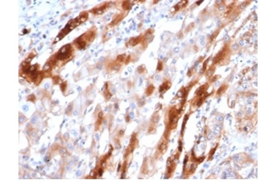
Anti-Glutamine Synthetase Antibody [GLUL/6604] - BSA and Azide free (A278220)

Mouse monoclonal [GLUL/6604] antibody to Glutamine Synthetase for WB and IHC-P.

Alternative Formats and ConjugatesAlternative Formats

Shipping Information

$40
Dispatched from St. Louis, MO.
Lead Time: 5-8 business days.
Name
Anti-Glutamine Synthetase Antibody [GLUL/6604] - BSA and Azide free
Description
Mouse monoclonal [GLUL/6604] antibody to Glutamine Synthetase.
Specificity
Glutamine synthetase (Gl Syn) forms a homo-octamer that serves as a catalyst for the amination of glutamic acid to form glutamine. This enzyme is a marker for astrocytes, which serve as the primary site of conversion of glutamic acid to glutamine in the brain. Induction of glutamine synthetase is seen upon astrocyte cell contact with neurons. Elevated expression of glutamine synthetase in glial cells has been shown to protect neurons from degeneration due to excess glutamate. Glutamine synthetase is also present in the liver and is involved in nitrogen homeostasis. Overexpression of glutamine synthetase has been shown in primary liver cancers, indicating a potential role for glutamine synthetase in hepatocyte transformation.
Applications
WB, IHC-P
Dilutions
WB: 1-2 µg/ml, IHC-P: 1-2 µg/ml
Reactivity
Human
Immunogen
Recombinant fragment, around amino acids 50-250, of human Glutamine Synthetase. The exact sequence is proprietary.
Host
Mouse
Clonality
Monoclonal
Clone ID
GLUL/6604
Isotype
IgG2b
Light Chains
kappa
Conjugate

Unconjugated

Purification
Protein A/G chromatography.
Concentration
1 mg/ml
Molecular Weight
42 kDa
Product Form
Liquid
Formulation
Supplied in 10mM Phosphate Buffered Saline; without Sodium Azide and carrier free.
Storage
Shipped at 4°C. Upon delivery aliquot and store at -20°C. Avoid freeze / thaw cycles.
General Notes
This monoclonal antibody is also available in a different formulation with BSA and Sodium Azide - Anti-Glutamine Synthetase Antibody [GLUL/6604] (A277632).
Synonyms
GLNS, GLUL, Glutamate--ammonia ligase, GS, Palmitoyltransferase GLUL
Disclaimer
This product is for research use only. It is not intended for diagnostic or therapeutic use.
Publishing research using Anti-Glutamine Synthetase Antibody [GLUL/6604] - BSA and Azide free (A278220)? Please let us know so that we can list the citation on this page.

Alternative products to Anti-Glutamine Synthetase Antibody [GLUL/6604] - BSA and Azide free (A278220)

Proteins predicted to interact with Glutamine Synthetase

Predicted protein interactions based upon String database. Revelancy score correlates with probability of interaction.
99.1% Relevancy Score
98.7% Relevancy Score
98.7% Relevancy Score
98.5% Relevancy Score
97.4% Relevancy Score
97.2% Relevancy Score
96.7% Relevancy Score
96.5% Relevancy Score
96.3% Relevancy Score