Western blot analysis of extracts of HepG2 cells, using Anti-Glypican 3 Antibody (A92339) at 1:1,000 dilution. The secondary antibody was Goat Anti-Rabbit IgG H&L Antibody (HRP) at 1:10,000 dilution. Lysates/proteins were present at 25µg per lane. The blocking buffer used was 3% non-fat dry milk in TBST. Detection was with a ECL Basic Kit. Exposure time: 3min.
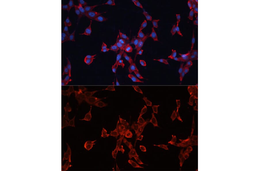
Immunofluorescence analysis of NIH-3T3 cells using Anti-Glypican 3 Antibody (A92339) at a dilution of 1:100 (40x lens). DAPI was used to stain the cell nuclei (blue).
Alternative products to Anti-Glypican 3 Antibody (A92339)